症例詳細
Case detail
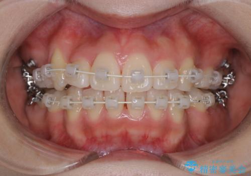
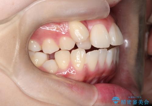
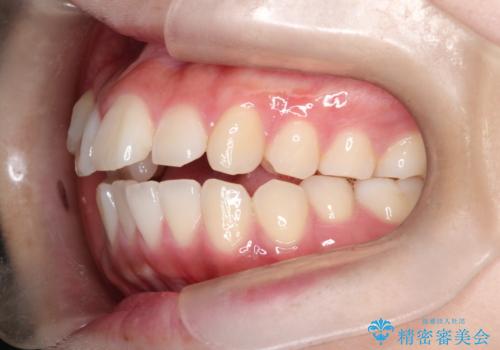
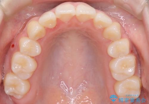
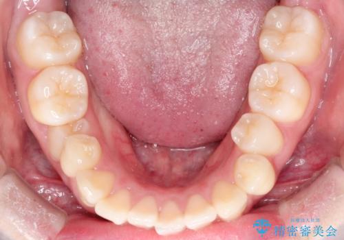
【ワイヤー矯正】オープンバイトを治したい
治療症例の内容
- 診療科目
- 担当医
- 菊地俊介(ドクタープロフィール)
- 患者様
- 20代女性
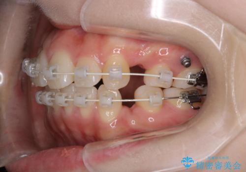
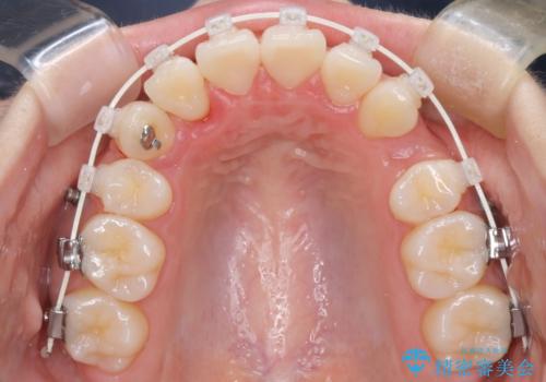
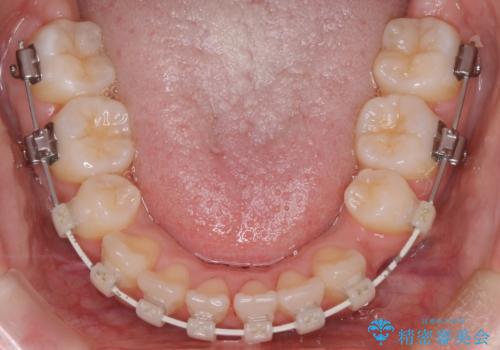
- 矯正装置
- 審美装置
- 治療期間
- 1年2ヶ月
- 治療回数
- 10-30回
- 治療計画
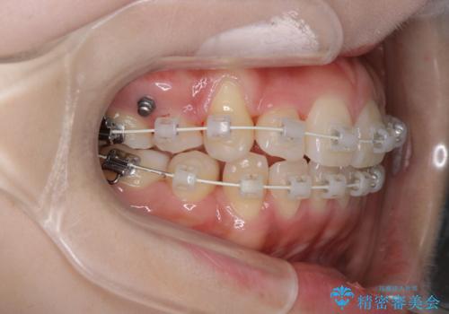
- 4番の歯を4本抜歯をし、上顎にマイクロインプラントを2本埋入し、遠心移動を行いました。
- 費用(概算)
- 110万円費用は治療当時の料金となります
治療について
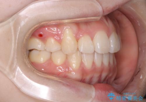
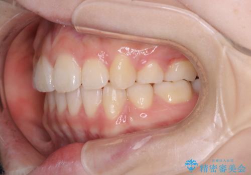
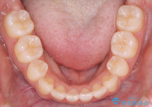
主訴のオープンバイトは改善し、抜歯をしたことで前歯が下がり綺麗になりました。抜歯矯正でしたが1年2か月という短い期間で終了しました。
ワイヤー矯正の注意事項(リスク・副作用など)
- 治療中は違和感や痛みが起こることがあります
- 症状により、抜歯が必要な場合があります
- 治療中は歯磨きがしにくくなるため、虫歯や歯周病になりやすくなります
- 矯正治療後の保定が不十分だと後戻り(元の位置に戻ろうとする動き)をします
- 自費診療(保険適用外)となります
当サイトの内容、テキスト、画像等の無断転載、複製、複写、盗用を固く禁じます。















