症例詳細
Case detail
【根管治療】ラバーダムと顕微鏡を用いた治療
治療症例の内容
- 診療科目
- 担当医
- 河口智英(ドクタープロフィール)
- 患者様
- 20代女性
- 治療期間
- 1年
- 治療回数
- 2-5回
- 治療計画
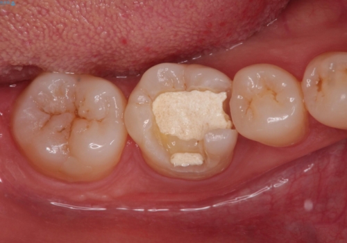
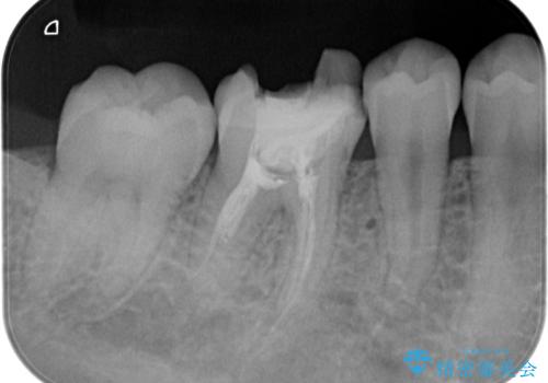
- 奥歯の治療の継続を主訴に来院された患者様です。
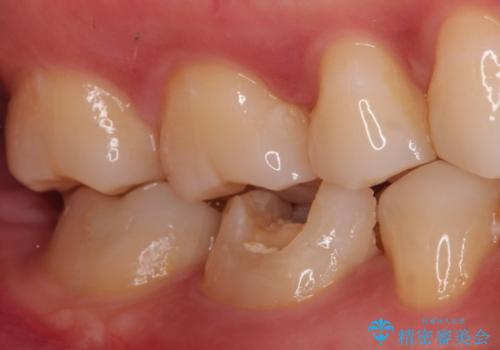
他院にて根管治療を行ったそうですが、ラバーダムを使用していなかったため、クラウン修復の前に当院の治療を希望され受診されました。
- 費用(概算)
- 29万円費用は治療当時の料金となります
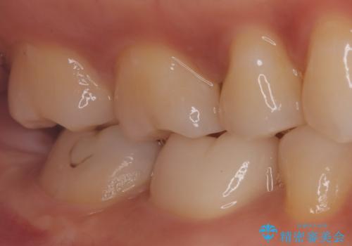
治療について
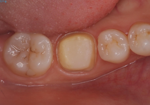
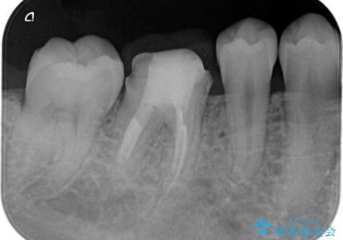
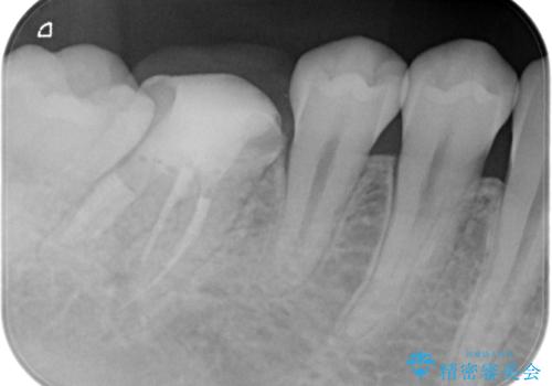
根管内に充填されている材料は、スカスカの状態で簡単に除去ができました。
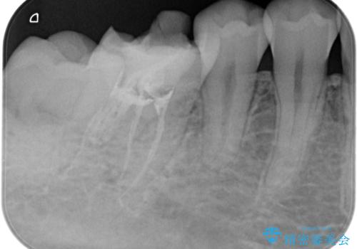
術後1年経過を見ていますが、問題なく良好な経過をたどっています。
▼治療費詳細
根管治療 15万円
ファイバーコア 2万円
仮歯 1万円
オールセラミッククラウン(スタンダード)11万円
セラミック治療の注意事項(リスク・副作用など)
- 天然歯を削ります
- 硬い素材は天然歯を傷つけてしまう場合があります
- かみ合わせや歯ぎしりが強すぎる方はセラミックが割れてしまう可能性があります
- 自費診療(保険適用外治療)となります
根管治療の注意事項(リスク・副作用など)
- 根管治療により類似の全ての症例の問題が解決するわけではなく、症例はあくまでも一例です
- 根管治療により痛みや腫れがひかない事や、術後に痛みや腫れが生じる事、治療によるファイル破折やパーフォレーションなどの偶発症、術後の歯根破折を生じる可能性もあります
- 自費診療(保険適用外)となります
当サイトの内容、テキスト、画像等の無断転載、複製、複写、盗用を固く禁じます。
















