症例詳細
Case detail
すきっ歯 セラミックで治すか矯正で治すか相談したい
治療症例の内容
- 担当医
- 井上季実子(ドクタープロフィール)
- 患者様
- 20代男性
- 治療期間
- 1年6ヶ月
- 治療回数
- 10-30回
- 治療計画
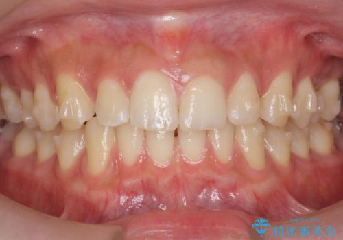
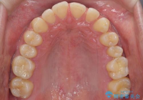
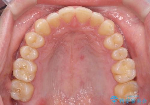
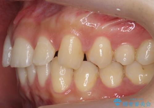
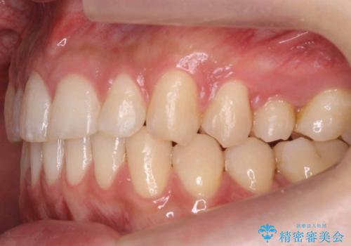
- 上下の歯のすき間を気にして来院。
当初はセラミックでかぶせて上だけ治そうかな、というご希望でした。
患者様の歯は咬耗といって削れて短くなっていたため、セラミックでかぶせると隙間をうめるため横長の歯になりそうでした。術後の見た目は矯正の方が自然にみえるとお伝えしました。
また、歯ぎしりがありそうなので、セラミックにしたときにセラミックが欠けてしまうリスクもありました。
料金としてはセラミックで上下ともかぶせた場合、矯正治療以上にかかってしまう可能性をお伝えしました。
時間はかかるが矯正治療で天然の歯の隙間をつめて歯を削らなくて済むというご案内をしたところ、セラミックでかぶせるのはやめて、矯正治療を行うことになりました。
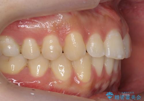
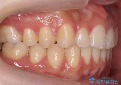
ただし矯正を選択した場合は、治療後またすき間があかないように保定が必要になります。
それぞれ特徴がありますので十分お考えの上選んでいただき、治療結果には満足していただけたと思います。
- 費用(概算)
- 93.5万円費用は治療当時の料金となります
治療について
インビザライン(マウスピース矯正)は小さな隙間を閉じるのは得意です。
ただし、上に隙間が余っている状態ですと、ただ閉じようとしても上の前歯が中に入らないと隙間が閉じないため、下の歯の位置によっては隙間が閉じ切れなくなります。
その場合は下の歯を上の前歯から離す方向に圧下したりする動きが必要になり、全体矯正が必要になります。
また、隙間を閉じる方法は矯正が一番いいわけではなく、矯正治療、セラミック治療それぞれ特徴があります。
当院では両治療のメリットデメリットを説明した上で選んでいただくことが可能です。
マウスピース矯正の注意事項(リスク・副作用など)
- 口腔内・歯並びの状態によっては対応できない場合があります
- マウスピース型矯正装置の長時間装着(1日20時間以上)が必須です
- 治療計画通りに進めるためには、患者様の意志が重要になります
- 矯正治療後の保定が不十分だと後戻り(元の位置に戻ろうとする動き)をします
- 薬機法対象外の矯正歯科装置のため医薬品副作用被害救済制度の対象外となる場合があります
- 自費診療(保険適用外)となります
当サイトの内容、テキスト、画像等の無断転載、複製、複写、盗用を固く禁じます。

















