症例詳細
Case detail
下顎前歯の欠損歯列 ワイヤー装置での矯正治療
治療症例の内容
- 診療科目
 
- 担当医
 - 藤巻太一朗(ドクタープロフィール)
 
- 患者様
 - 20代女性
 
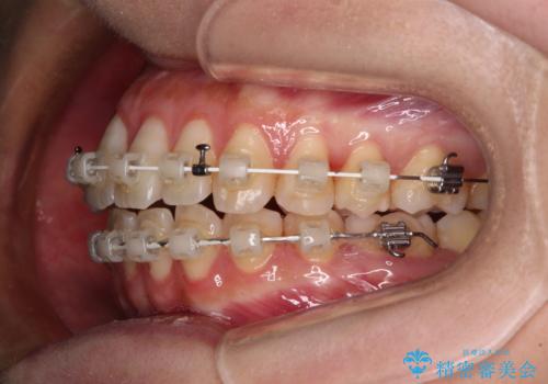
- 矯正装置
 - 審美装置
 
- 治療期間
 - 3年
 
- 治療回数
 - 10-30回
 
- 治療計画
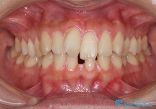
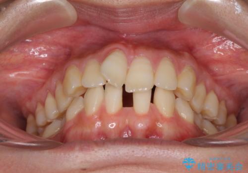
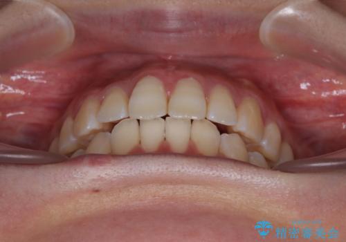
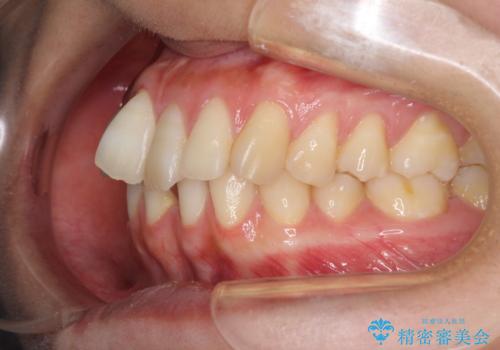
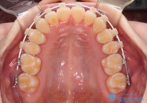
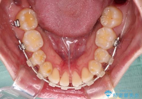
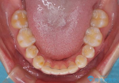
 - 下顎前歯の欠損により隙間ができていることを気にして来院された患者様です。
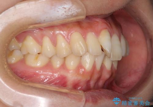
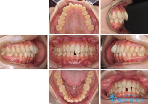
下顎前歯が2歯欠損しており、スペースになっており、上顎は叢生歯列となってしました。
奥歯の咬み合わせを考えると、理想的には2歯、最低でも1歯は下顎前歯の欠損部にインプラントやブリッジにより歯数を増やす必要がありました。
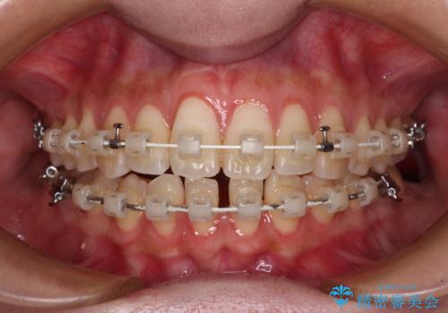
周囲の歯を削らないようにするためインプラントがおすすめとなりますが、歯根の移動が不十分な場合にはインプラントを埋入する幅が獲得できないため、その場合にはオールセラミックブリッジにより補綴治療を行うこととして、矯正治療を行うこととしました。
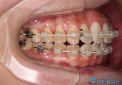
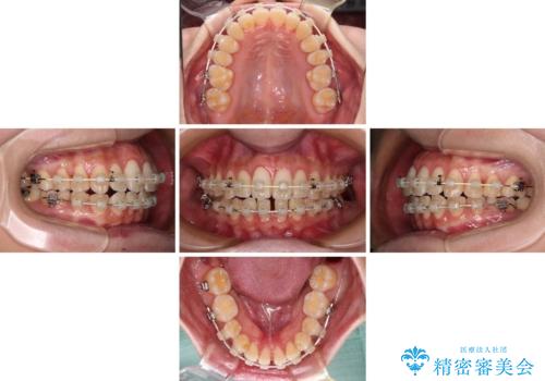
当初は上記計画でしたが、レントゲン撮影よりインプラント埋入は困難と判断され、患者様と相談の上、歯を削ってブリッジとするよりも、奥歯の咬み合わせを多少妥協することとなっても、スペースを閉じて仕上げていくこととしました。 
- 費用(概算)
 - 治療費の目安: 100万円(税込)費用は治療当時の料金となります
 
治療について
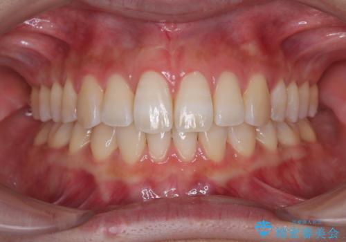
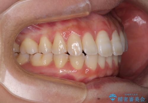
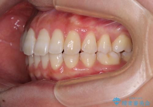
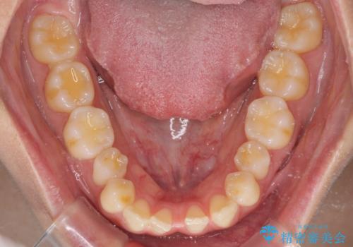
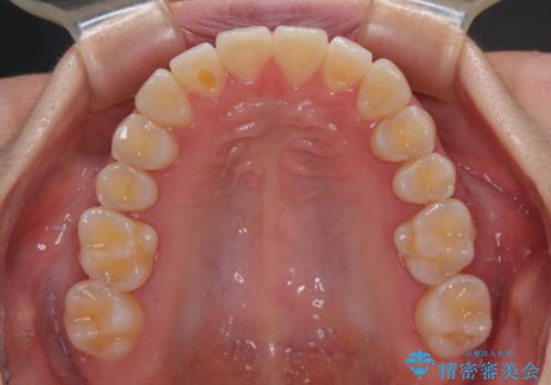
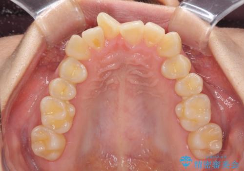
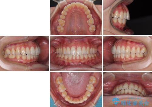
1年弱で治療方針を変更したため、治療期間は長くなりましたが、スペースは無事に閉じ、咬合の違和感なく仕上げることができました。
ただし、両方の臼歯部は理想的な咬合とは言えないため、咬合による歯の外傷を防ぐため、就寝時にはマウスピースを継続使用するようお願いしております。
ワイヤー矯正の注意事項(リスク・副作用など)
- 治療中は違和感や痛みが起こることがあります
 - 症状により、抜歯が必要な場合があります
 - 治療中は歯磨きがしにくくなるため、虫歯や歯周病になりやすくなります
 - 矯正治療後の保定が不十分だと後戻り(元の位置に戻ろうとする動き)をします
 - 自費診療(保険適用外)となります
 
当サイトの内容、テキスト、画像等の無断転載、複製、複写、盗用を固く禁じます。

                      
























