症例詳細
Case detail
変色した前歯の詰め物 オールセラミッククラウンで本物の前歯のように
治療症例の内容
- 診療科目
- 治療カテゴリ
- 担当医
- 藤巻太一朗(ドクタープロフィール)
- 患者様
- 20代女性
- 治療期間
- 2ヶ月
- 治療回数
- 2-5回
- 治療計画
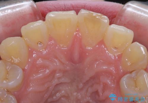
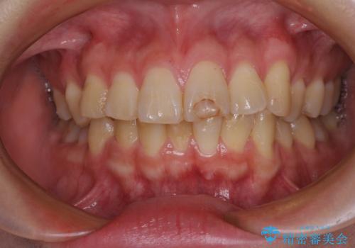
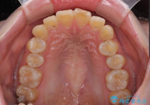
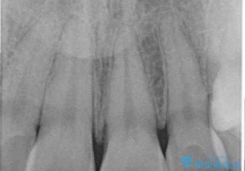
- ぶつけて欠けてしまった前歯を樹脂でつめていたものの、すり減りや変色が顕著とのことで来院された患者様です。
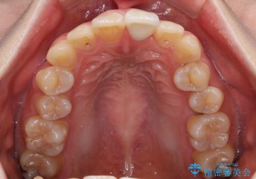
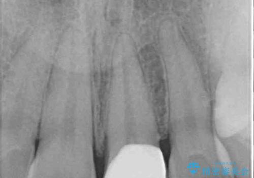
詰め物の詰め直しとオールセラミッククラウンの双方をご提案し、患者様ご希望によりオールセラミッククラウンにて補綴治療を行うこととしました。
- 費用(概算)
- 治療費の目安: 16万円(税込)費用は治療当時の料金となります
治療について
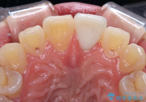
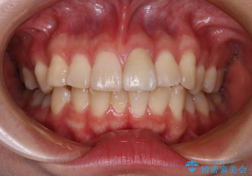
歯列全体に表面の着色があったため、クリーニングとホワイトニングを事前に行い、ホワイトニング後1ヶ月ほどおいて、色の落ち着いたところで色合わせを行いました。
本物の歯のような仕上がりとなりました。
セラミック治療の注意事項(リスク・副作用など)
- 天然歯を削ります
- 硬い素材は天然歯を傷つけてしまう場合があります
- かみ合わせや歯ぎしりが強すぎる方はセラミックが割れてしまう可能性があります
- 自費診療(保険適用外治療)となります
当サイトの内容、テキスト、画像等の無断転載、複製、複写、盗用を固く禁じます。










