症例詳細
Case detail
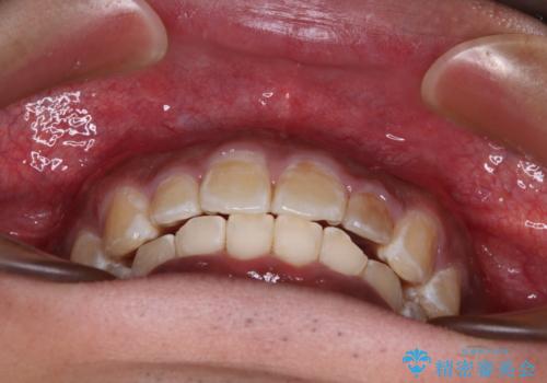
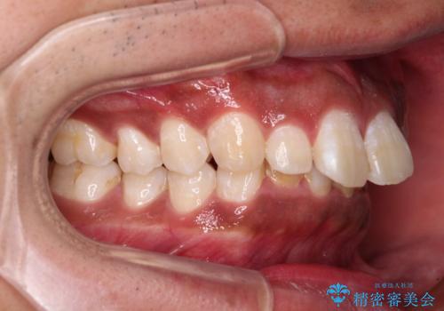
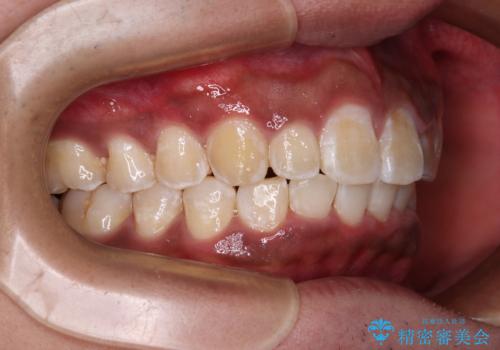
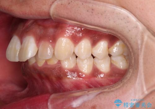
上顎前突とディープバイト ワイヤー矯正での確実に仕上げる
治療症例の内容
- 診療科目
- 担当医
- 藤巻太一朗(ドクタープロフィール)
- 患者様
- 30代男性
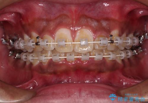
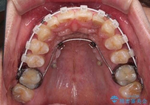
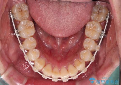
- 矯正装置
- 審美装置
- 治療期間
- 2年2ヶ月
- 治療回数
- 10-30回
- 治療計画
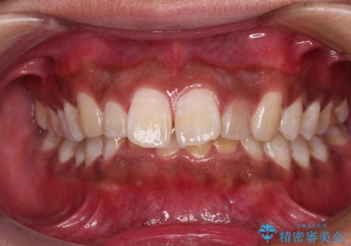
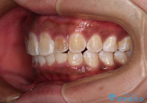
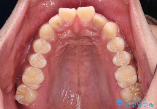
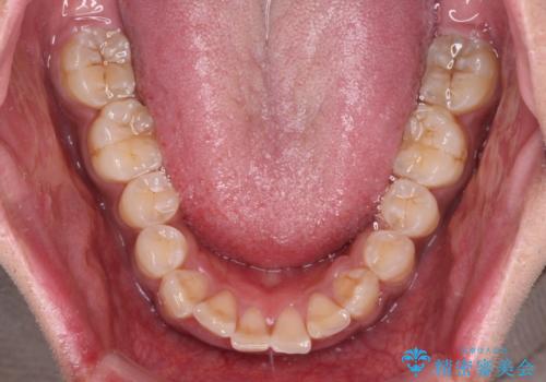
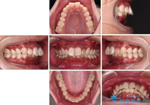
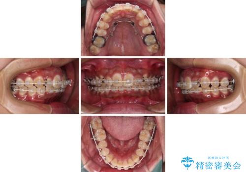
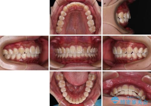
- 深く咬みこみ、前に飛び出した上顎前歯を気にして来院された患者様です。
口元の突出感はあまりありませんでしたが、上顎歯列が全体的に前方にあり、更には下顎歯列が深く咬みこんでいるために、上顎前歯が前方に突出している状態でした。
抜歯は行わず、補助装置を用いて上顎歯列全体を後方移動させ、ワイヤー装置にて奥歯の咬み合わせを改善していくこととしました。
- 費用(概算)
- 治療費の目安: 110万円(税込)費用は治療当時の料金となります
治療について
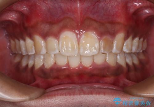
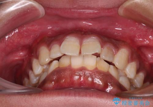
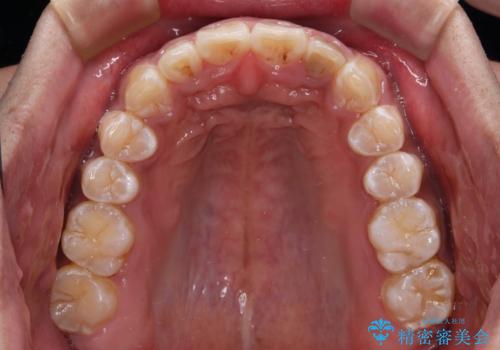
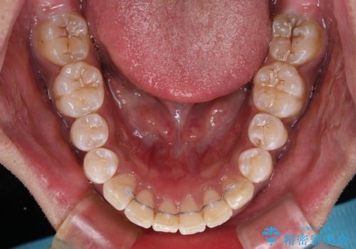
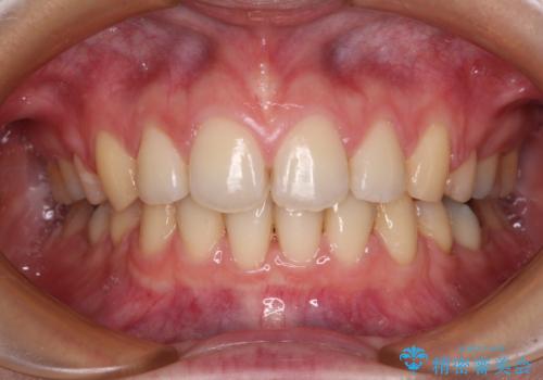
正面や横から見た印象が同じで用であっても、奥歯の咬み合わせが理想的であるかどうかによって、治療の難易度は大きく異なります。
こちらの方も難易度のやや高い状態で、2年以上の期間が予想されましたが、想定通りの2年強で治療を終えることができました。
ワイヤー矯正の注意事項(リスク・副作用など)
- 治療中は違和感や痛みが起こることがあります
- 症状により、抜歯が必要な場合があります
- 治療中は歯磨きがしにくくなるため、虫歯や歯周病になりやすくなります
- 矯正治療後の保定が不十分だと後戻り(元の位置に戻ろうとする動き)をします
- 自費診療(保険適用外)となります
当サイトの内容、テキスト、画像等の無断転載、複製、複写、盗用を固く禁じます。


























