症例詳細
Case detail
治療を開始したもののうまく噛めない 咬合改善のオールセラミック補綴治療
治療症例の内容
- 担当医
- 藤巻太一朗(ドクタープロフィール)
- 患者様
- 50代女性
- 治療期間
- 4ヶ月
- 治療回数
- 5-10回
- 治療計画
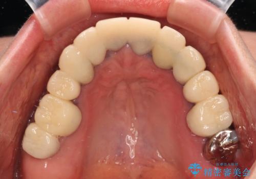
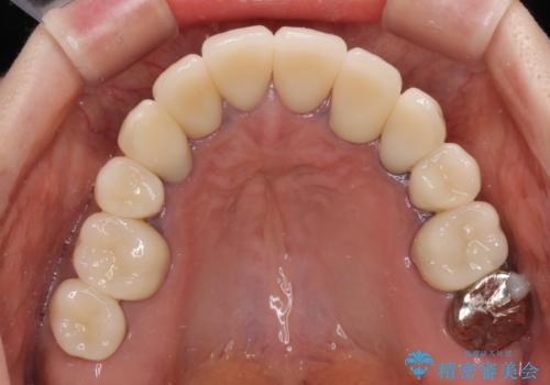
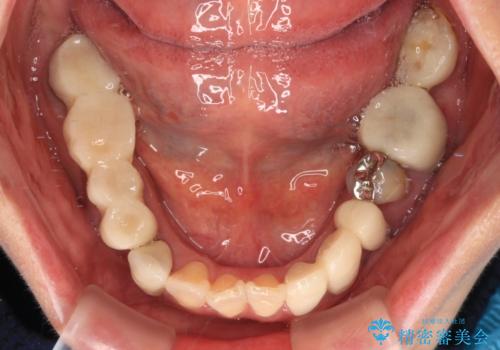
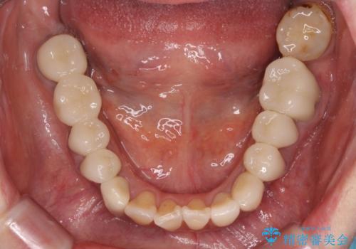
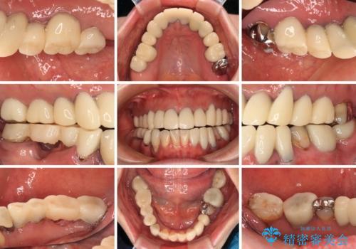
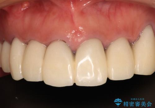
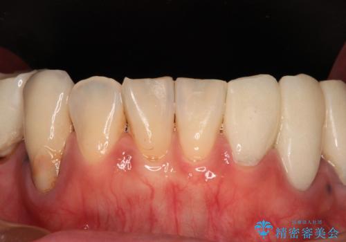
- 近医にて古いかぶせ物をセラミッククラウンにしようと治療を開始したものの、仮歯での咬み合わせが不安定とのことで、転院を希望して来院された患者様です。
骨格的に下顎骨が前方位に位置しており、上下前歯部の先端同士が接触する切端咬合でした。
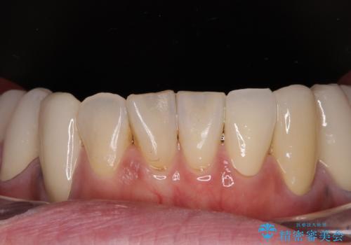
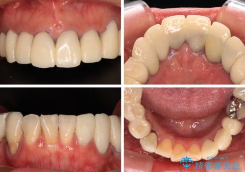
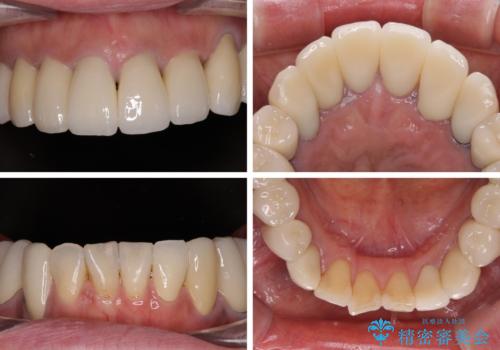
このような方は咬み合わせが大きく変わると不安定となるため、まずは装着されている仮歯で咬合調整を行い、安定した咬み合わせとした後に、新しい仮歯に置き換え、その後オールセラミッククラウンにて補綴治療を行うこととしました。
- 費用(概算)
- 治療費の目安: 300万円(税込)費用は治療当時の料金となります
治療について
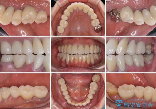
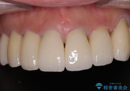
仮歯で咬み合わせの調整を行ってからは、特に不安定になることもなく、非常にスムーズに治療を進めて行くことができました。
前歯奥歯ともに望ましくない力がかかりやすい咬み合わせであるため、就寝時にはマウスピースを使用するようにお伝えしております。
セラミック治療の注意事項(リスク・副作用など)
- 天然歯を削ります
- 硬い素材は天然歯を傷つけてしまう場合があります
- かみ合わせや歯ぎしりが強すぎる方はセラミックが割れてしまう可能性があります
- 自費診療(保険適用外治療)となります
当サイトの内容、テキスト、画像等の無断転載、複製、複写、盗用を固く禁じます。


















