症例詳細
Case detail
叢生・ディープバイト・突出 ワイヤー装置での抜歯矯正で全てを解決
治療症例の内容
- 担当医
- 藤巻太一朗(ドクタープロフィール)
- 患者様
- 20代女性
- 矯正装置
- 審美装置
- 治療期間
- 2年2ヶ月
- 治療回数
- 10-30回
- 治療計画
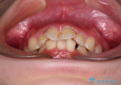
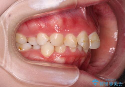
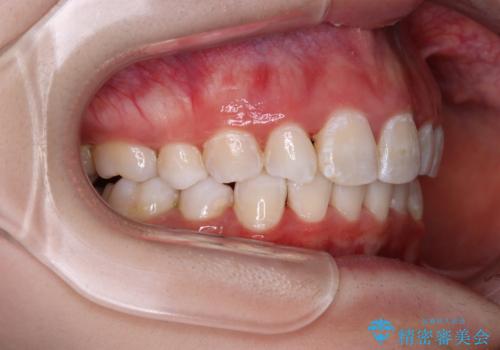
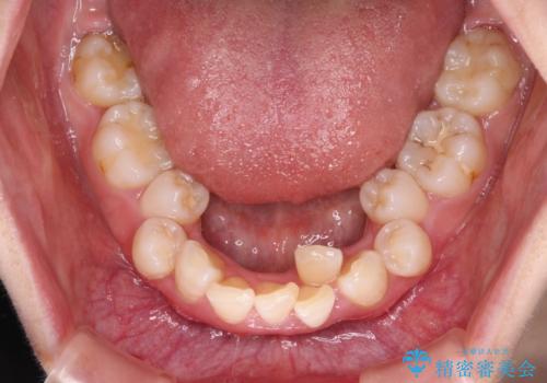
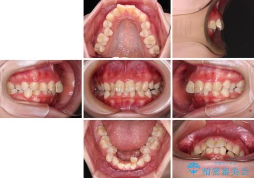
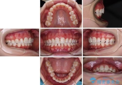
- 前歯のデコボコと唇の閉じにくさを気にして来院された患者様です。
極端な出っ歯という訳ではありませんでしたが、叢生が強かったため、上下左右の第一小臼歯4本を抜歯し、少しでも口元の突出感を改善できるよう治療計画を立案しました。
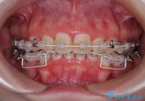
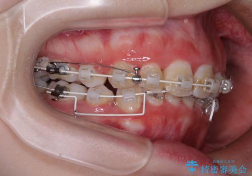
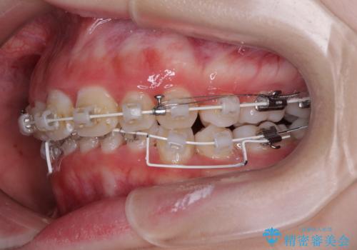
下顎前歯が隠れるほどのディープバイトであり、それによる顎の負担も大きかったため、ディープバイトもしっかりと改善できるよう、表側のワイヤー装置にて矯正治療を行うこととしました。
- 費用(概算)
- 治療費の目安: 105万円(税込)費用は治療当時の料金となります
治療について
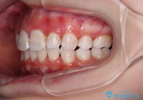
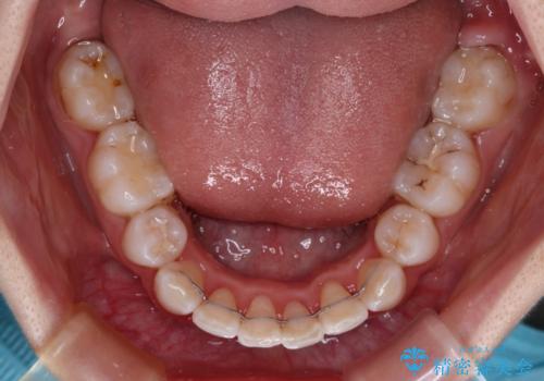
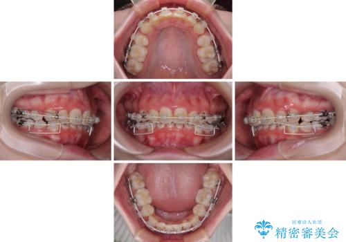
ディープバイトは、治療を行っていた我々も驚くほど、短期間で劇的に改善することができました。
骨格的に下顎骨が左側にシフトしていたため、上下正中の位置や左側臼歯部の咬合を理想的に仕上げることはできませんでしたが、非常に綺麗な口元を達成することができました。
ワイヤー矯正の注意事項(リスク・副作用など)
- 治療中は違和感や痛みが起こることがあります
- 症状により、抜歯が必要な場合があります
- 治療中は歯磨きがしにくくなるため、虫歯や歯周病になりやすくなります
- 矯正治療後の保定が不十分だと後戻り(元の位置に戻ろうとする動き)をします
- 自費診療(保険適用外)となります
当サイトの内容、テキスト、画像等の無断転載、複製、複写、盗用を固く禁じます。


























