症例詳細
Case detail
八重歯の抜歯矯正 インビザラインを用いて気になる歯並びを改善
治療症例の内容
- 診療科目
- 担当医
- 藤巻太一朗(ドクタープロフィール)
- 患者様
- 40代男性
- 矯正装置
- インビザライン
- 治療期間
- 3年4ヶ月
- 治療回数
- 10-30回
- 治療計画
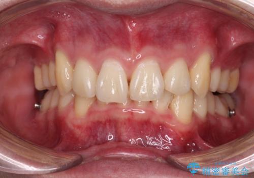
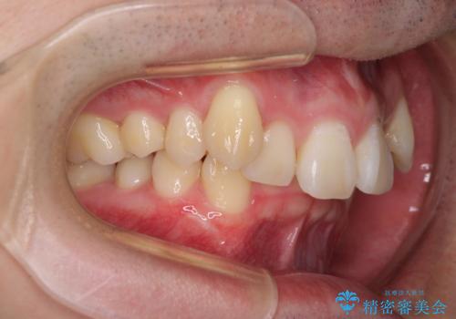
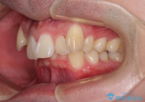
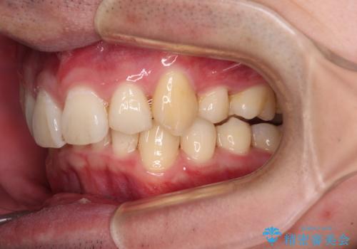
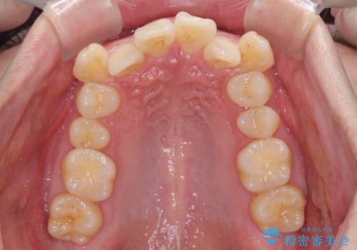
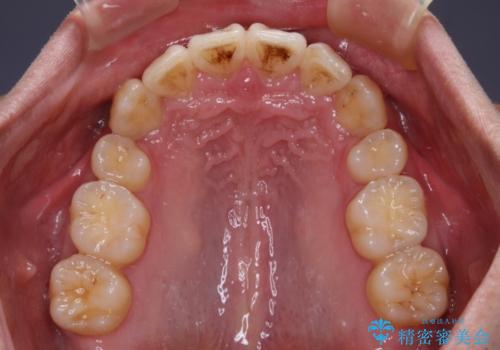
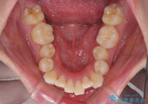
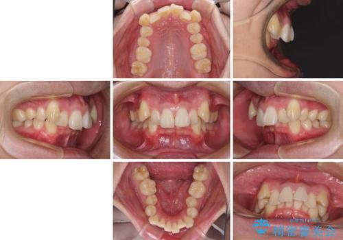
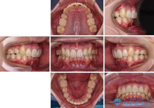
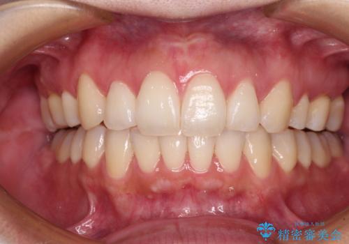
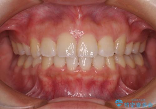
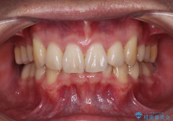
- 八重歯を気にして来院された患者様です。
顕著な上顎の八重歯とディープバイトであったため、上顎の左右第一小臼歯を抜歯することとしました。
犬歯歯根の位置や奥歯の咬み合わせから、ワイヤー装置での治療を強くおすすめいたしましたが、ご本人の強い希望により、妥協的な仕上がりとなることを了解いただき、インビザラインにて矯正治療を行うこととしました。
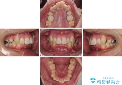
インビザライン単体で、左右ともに移動の難しい位置に歯根のある犬歯を整えるのは困難と判断し、補助装置を併用することとしました。
- 費用(概算)
- 治療費の目安: 100万円(税込)費用は治療当時の料金となります
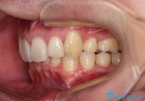
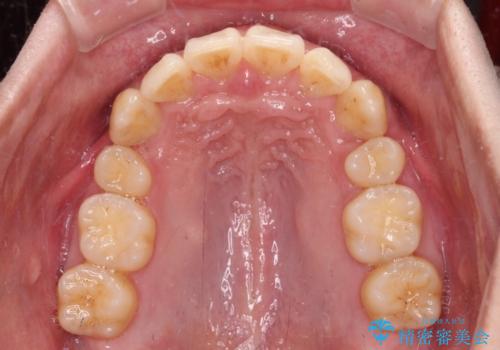
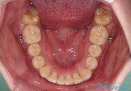
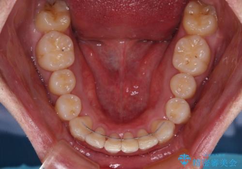
治療について
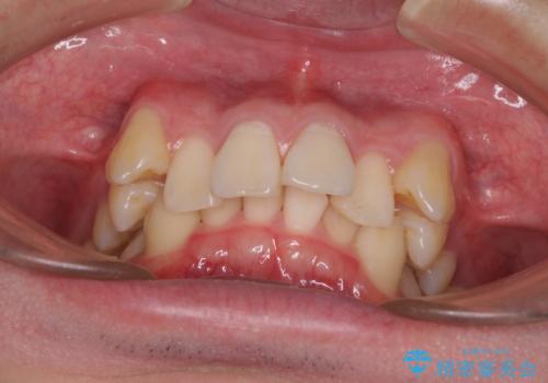
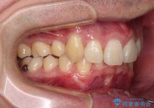
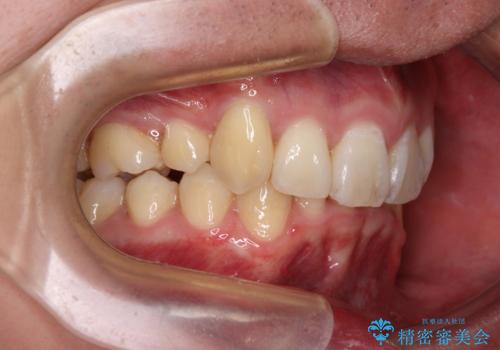
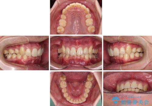
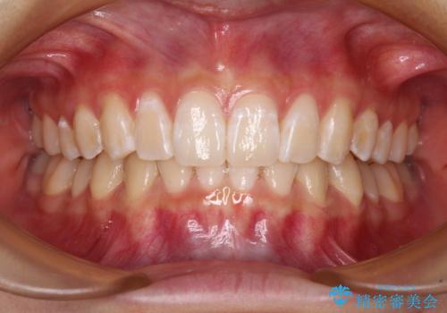
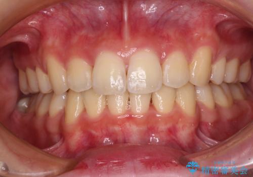
ディープバイトや奥歯の咬み合わせなど、インビザライン矯正では限界がありワイヤー装置での治療に及ばない仕上がりとなりました。
ただし、患者様としては八重歯や、それに伴う唇の閉じにくさが改善されたとのことで、納得いく状態での治療終了となりました。
マウスピース矯正の注意事項(リスク・副作用など)
- 口腔内・歯並びの状態によっては対応できない場合があります
- マウスピース型矯正装置の長時間装着(1日20時間以上)が必須です
- 治療計画通りに進めるためには、患者様の意志が重要になります
- 矯正治療後の保定が不十分だと後戻り(元の位置に戻ろうとする動き)をします
- 薬機法対象外の矯正歯科装置のため医薬品副作用被害救済制度の対象外となる場合があります
- 自費診療(保険適用外)となります
当サイトの内容、テキスト、画像等の無断転載、複製、複写、盗用を固く禁じます。




























