症例詳細
Case detail
前歯のデコボコを治したい インビザライン矯正治療
治療症例の内容
- 担当医
- 藤巻太一朗(ドクタープロフィール)
- 患者様
- 20代女性
- 矯正装置
- インビザライン
- 治療期間
- 5年6ヶ月
- 治療回数
- 30回以上
- 治療計画
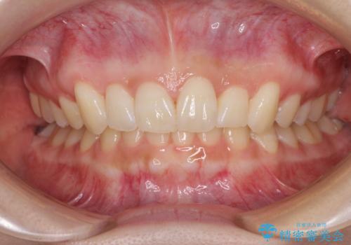
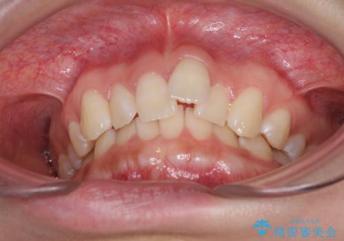
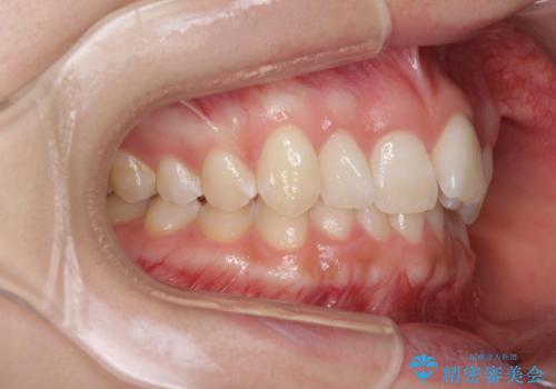
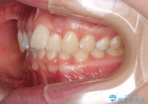
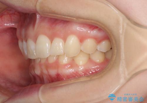
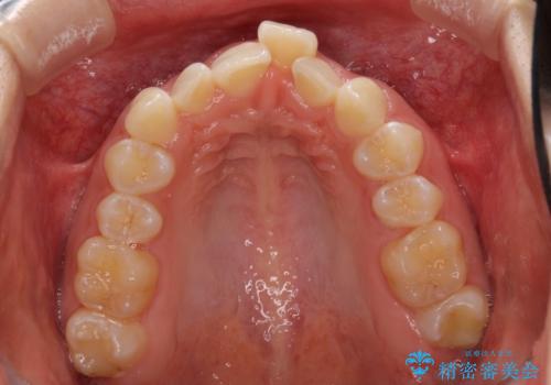
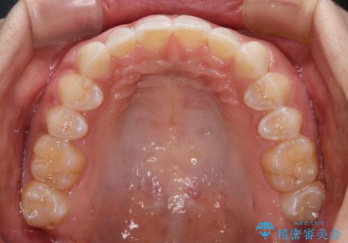
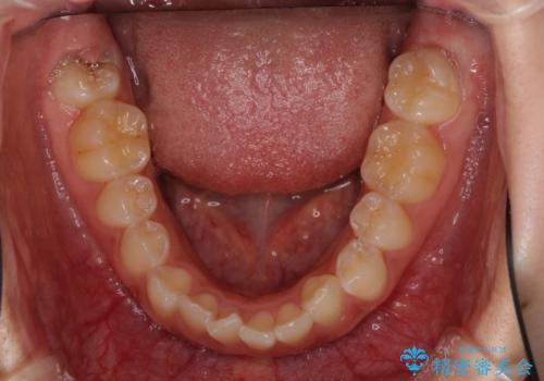
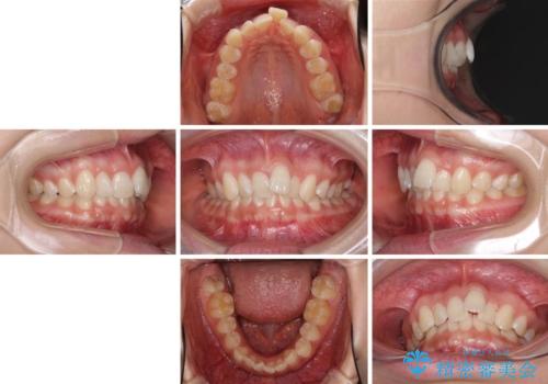
- 前歯のデコボコ気になるとのことで来院された患者様です。
下顎骨が上顎骨に対して右側にシフトしており、さらに下顎が後方に位置しているため、非常に強い咬合力で食いしばっている状態でした。
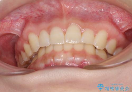
上下顎ともに歯列全体の後方移動とIPR(歯と歯の間を削る)によってデコボコが解消するように設計し、インビザラインにより治療を行うこととしました。
- 費用(概算)
- 治療費の目安: 90万円(税込)費用は治療当時の料金となります
治療について
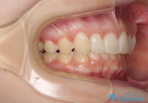
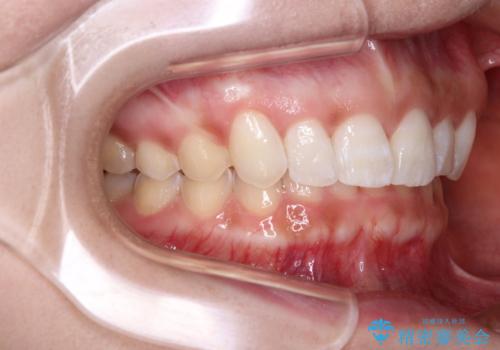
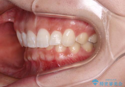
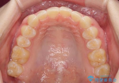
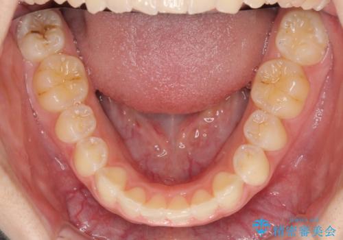
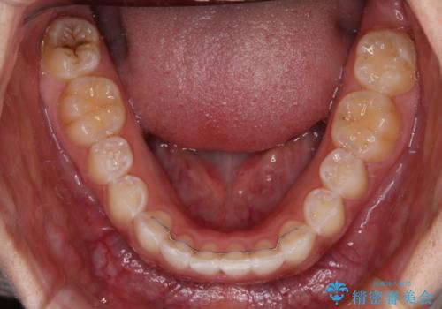
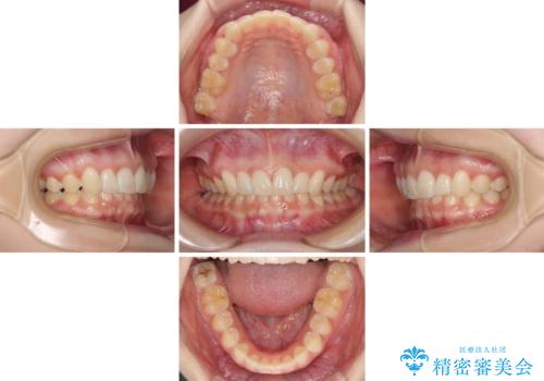
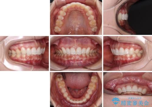
強い咬合力による臼歯部の噛みにくさと、それに伴う歯の移動の鈍さに悩まされ、非常に長い期間を要することとなりました。
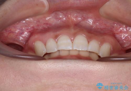
上下正中位置は、治療開始時よりは改善したものの、ここが限界であろうというところでのゴールとなりました。
下顎前歯の大半が隠れている状態ですが、左右への歯ぎしりはスムーズに行うことができ、就寝時には後戻り防止も兼ねて、食いしばり対策としてマウスピースの使用を継続するようお願いしております。
マウスピース矯正の注意事項(リスク・副作用など)
- 口腔内・歯並びの状態によっては対応できない場合があります
- マウスピース型矯正装置の長時間装着(1日20時間以上)が必須です
- 治療計画通りに進めるためには、患者様の意志が重要になります
- 矯正治療後の保定が不十分だと後戻り(元の位置に戻ろうとする動き)をします
- 薬機法対象外の矯正歯科装置のため医薬品副作用被害救済制度の対象外となる場合があります
- 自費診療(保険適用外)となります
当サイトの内容、テキスト、画像等の無断転載、複製、複写、盗用を固く禁じます。



























