症例詳細
Case detail
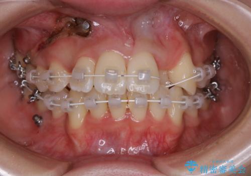
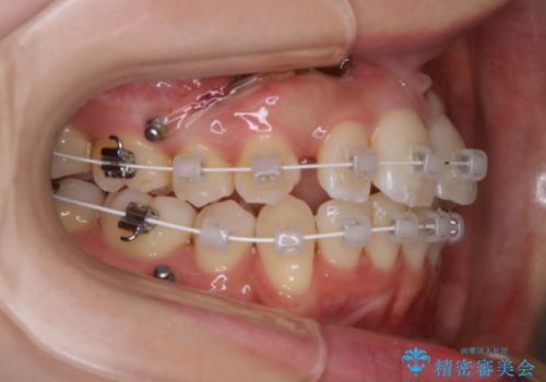
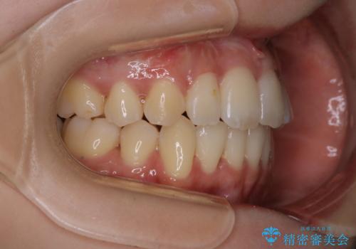
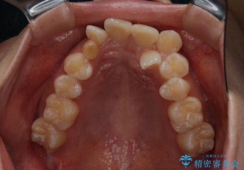
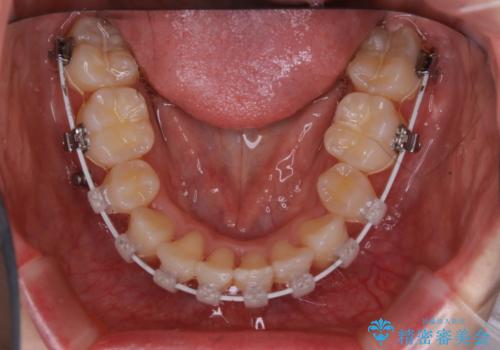
がたつきが強いガチャ歯。埋伏歯抜歯+矯正。すごいところに犬歯が埋まっていたのを抜いてワイヤー矯正治療
治療症例の内容
- 担当医
- 福本健生(ドクタープロフィール)
- 患者様
- 20代女性
- 矯正装置
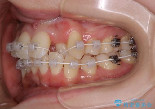
- ワイヤー矯正 審美装置
- 治療期間
- 1年6ヶ月
- 治療回数
- 10-30回
- 治療計画
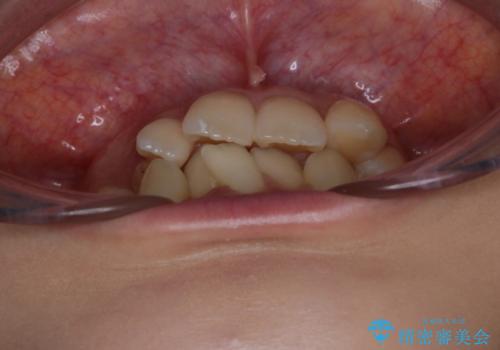
- 歯のがたつきを主訴に来院されました。
がたつきの強さから4本抜歯の必要性がありましたが、右上の歯は犬歯が一本埋まっており、乳歯がある状態でした。
右上については先に乳歯を抜歯して、犬歯が使えるようであれば第一小臼歯を抜歯することとして治療を開始しました。
- 費用(概算)
- 88万円費用は治療当時の料金となります
治療について
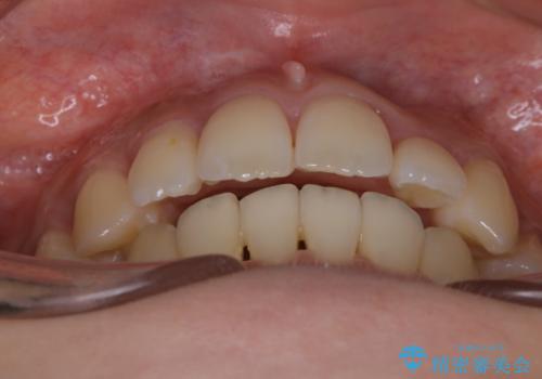
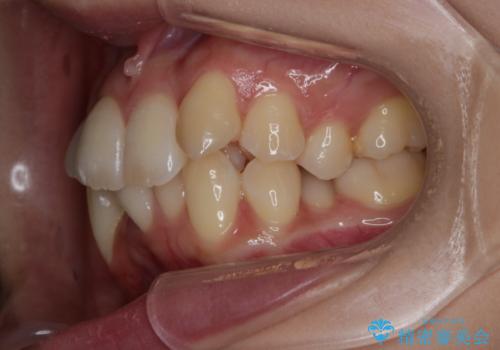
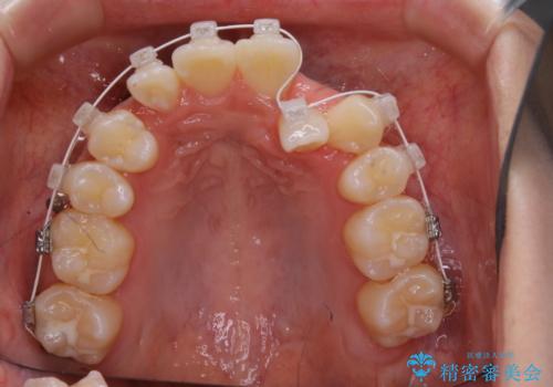
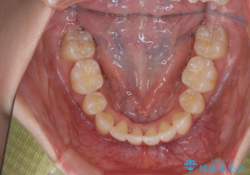
当初、犬歯が動くようであれば代わりに小臼歯を抜歯する予定でしたが、
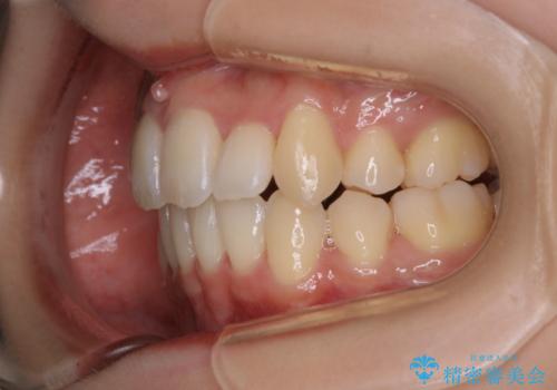
開窓して器具で力をかけても動く様子がなかったため抜歯とし、小臼歯を犬歯に見立てて治療を完了しました。
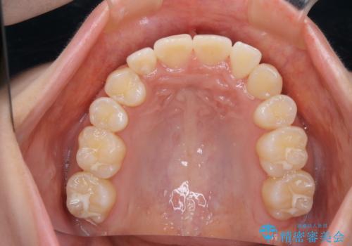
結果的に見た目の違和感もなく、期間の短縮にもつながりました。
埋伏歯の抜歯について
当院では外科も行っておりますので、特に大学病院等に行かなくても埋伏歯抜歯のような難易度の高い治療を行うことができます。
それにより患者様の別病院での診察を受けなければならないといった負担も軽減して差し上げることが可能です。
ワイヤー治療の利点について
今回のように不確定要素がある治療の場合、ワイヤー治療なら臨機応変に対応することが可能となります。
ワイヤー矯正の注意事項(リスク・副作用など)
- 治療中は違和感や痛みが起こることがあります
- 症状により、抜歯が必要な場合があります
- 治療中は歯磨きがしにくくなるため、虫歯や歯周病になりやすくなります
- 矯正治療後の保定が不十分だと後戻り(元の位置に戻ろうとする動き)をします
- 自費診療(保険適用外)となります
当サイトの内容、テキスト、画像等の無断転載、複製、複写、盗用を固く禁じます。
























