症例詳細
Case detail
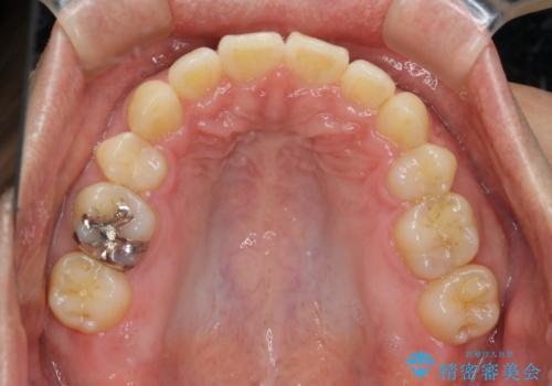
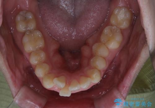
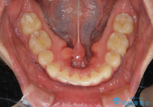
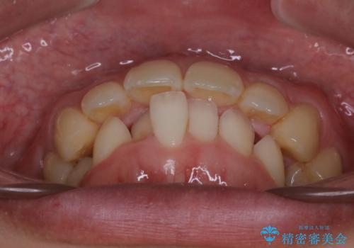
がたつき、口ゴボ(出っ歯)、真ん中のずれを抜歯矯正治療で治す。ワイヤー矯正治療
治療症例の内容
- 担当医
- 福本健生(ドクタープロフィール)
- 患者様
- 20代男性
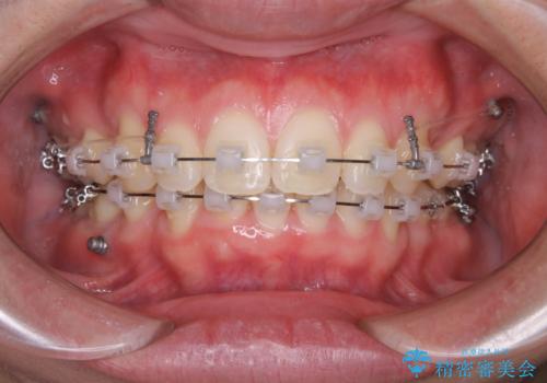
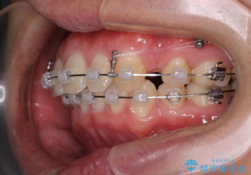
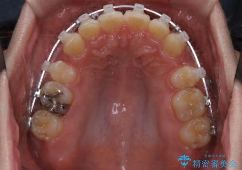
- 矯正装置
- ワイヤー矯正 審美装置
- 治療期間
- 3年
- 治療回数
- 10-30回
- 治療計画
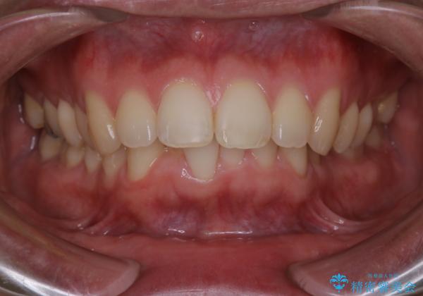
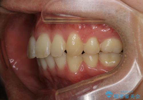
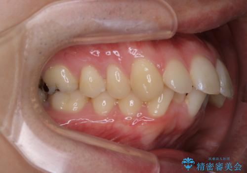
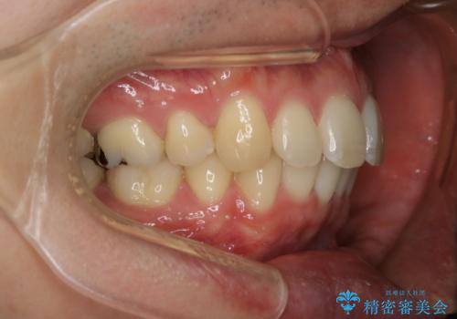
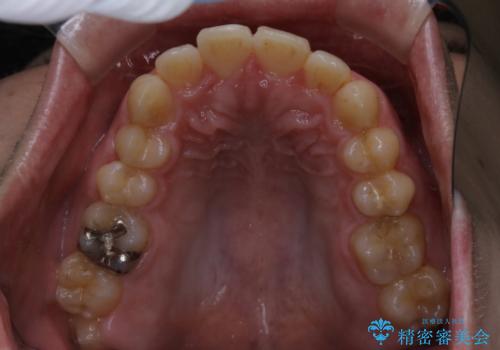
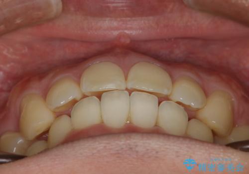
- 口元の突出感とがたつきを気にして来院されました。
 突出感とがたつきの改善を行うために大きなスペースが必要であったため、親知らず以外の歯を4本歯を抜歯する計画を立てました。
 移動量が大きいこと、また、患者さんの生活習慣的にマウスピース装着が難しそうとの理由から
 ワイヤー表側矯正装置で治療を行うことになりました。
- 費用(概算)
- 88万円費用は治療当時の料金となります
治療について
もともとの歯の根っこの位置の関係で、治療途中において上下の真ん中の位置がずれてしまいました。機能的には問題ありませんが患者様と相談し、期間を延ばした上で真ん中を合わせる治療を追加で行いました。
インビザライン治療とワイヤー治療の比較について
今回のように歯を大きく動かす場合、インビザライン治療ではどうしても歯が傾いてしまう場合があります。
また、かみ合わせが深い方の場合、インビザライン治療によってさらにかみ合わせが深くばってしまう場合があります。
ワイヤー治療では歯の傾きを抑えながら大きい距離の移動が可能で、かみ合わせが深くなるリスクも少ないです。
細かな動きはインビザライン治療の方が得意ですし、オープンバイト(開咬)と呼ばれる治療はかみ合わせを深くすることができるインビザラインの方が向いています。
それぞれの特性、得意な治療がありますので、患者様の状態に合わせた治療器具の選択が大事となります。
ワイヤー矯正の注意事項(リスク・副作用など)
- 治療中は違和感や痛みが起こることがあります
- 症状により、抜歯が必要な場合があります
- 治療中は歯磨きがしにくくなるため、虫歯や歯周病になりやすくなります
- 矯正治療後の保定が不十分だと後戻り(元の位置に戻ろうとする動き)をします
- 自費診療(保険適用外)となります
当サイトの内容、テキスト、画像等の無断転載、複製、複写、盗用を固く禁じます。








 
                       
                                                          






















 
                   
                   
                  