症例詳細
Case detail
人の印象は歯並びから! 実は…美容医療より効果抜群!! コスパ重視ならすきっ歯の矯正治療
治療症例の内容
- 患者様
 - 10代女性
 
- 矯正装置
 - インビザライン
 
- 治療期間
 - 2年
 
- 治療回数
 - 10-30回
 
- 治療計画
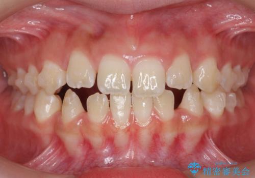
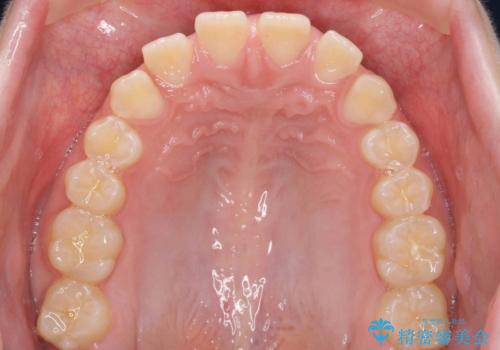
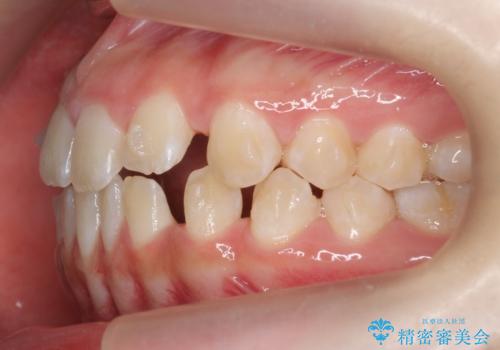
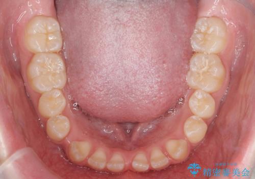
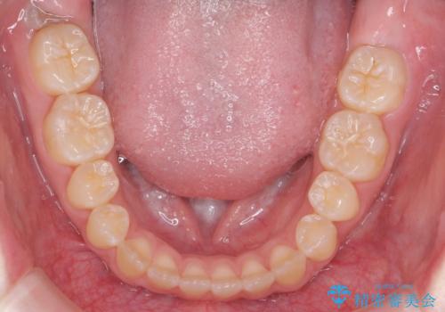
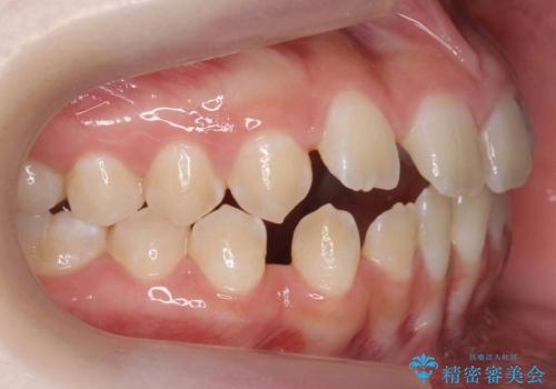
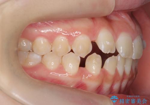
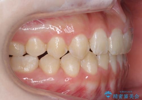
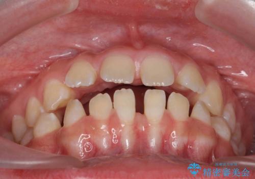
 - 前歯の隙間を主訴に来院。
顎の大きさに比べて歯が小さく、隙間が目立っていました。
マウスピース矯正で隙間を閉じる処置を行いました。
 
- 費用(概算)
 - 110万円費用は治療当時の料金となります
 
治療について
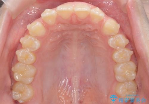
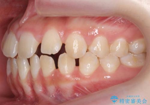
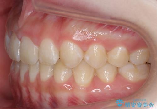
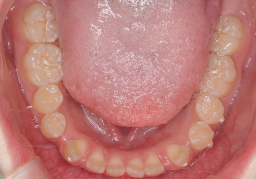
隙間を閉じる際、奥歯が倒れたため、途中ワイヤー矯正を併用しています。
上の前歯の隙間を閉じながら前歯を後方に下げているため、口元もひっこみ、口が閉じやすくなりました。
マウスピース矯正の注意事項(リスク・副作用など)
- 口腔内・歯並びの状態によっては対応できない場合があります
 - マウスピース型矯正装置の長時間装着(1日20時間以上)が必須です
 - 治療計画通りに進めるためには、患者様の意志が重要になります
 - 矯正治療後の保定が不十分だと後戻り(元の位置に戻ろうとする動き)をします
 - 薬機法対象外の矯正歯科装置のため医薬品副作用被害救済制度の対象外となる場合があります
 - 自費診療(保険適用外)となります
 
ワイヤー矯正の注意事項(リスク・副作用など)
- 治療中は違和感や痛みが起こることがあります
 - 症状により、抜歯が必要な場合があります
 - 治療中は歯磨きがしにくくなるため、虫歯や歯周病になりやすくなります
 - 矯正治療後の保定が不十分だと後戻り(元の位置に戻ろうとする動き)をします
 - 自費診療(保険適用外)となります
 
当サイトの内容、テキスト、画像等の無断転載、複製、複写、盗用を固く禁じます。

                      
                                                          


















