症例詳細
Case detail
入れ歯を使いたくない 細い骨にインプラントを埋入した補綴治療
治療症例の内容
- 患者様
- 50代女性
- 治療期間
- 7ヶ月
- 治療回数
- 5-10回
- 治療計画
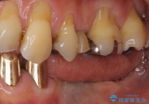
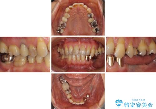
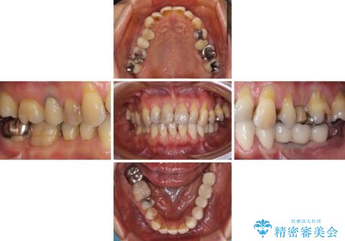
- 義歯を使いたくないものの、骨の幅が狭くインプラント治療を断られているとのことで来院された患者様です。
レントゲンやCTより、骨の高さと幅が不足しており、骨を増やす必要のある状態でした。
しかしながら、全身疾患により骨造成術の予後に不安があったため、デンサーバー(Densah ® Bur)という骨幅を増大することが可能なドリルを用いてインプラントを埋入することとしました。
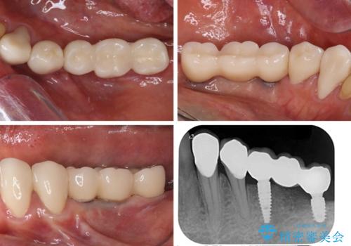
入れ歯の支台となっていたコーヌスのゴールドも除去し、インプラント部と合わせてオールセラミッククラウンにて補綴治療を行うこととしました。
- 費用(概算)
- 治療費の目安: 130万円(税込)費用は治療当時の料金となります
治療について
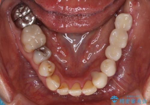
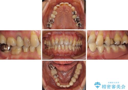
インプラント埋入後、必要以上に傷口に歯ブラシを当てすぎてしまったことで歯肉の炎症が続き、それに伴いインプラント周辺の骨が若干吸収してしまいました。それでも術後の経過は良好で、違和感や不具合なく使用できています。
インプラント治療の注意事項(リスク・副作用など)
- 外科手術のため、術後に痛みや腫れ、違和感を伴います
- メンテナンスを怠ったり喫煙により、お口の中に大きな悪影響を及ぼすインプラント周囲炎等にかかる可能性があります
- 糖尿病、肝硬変、心臓病等の場合、インプラント治療ができない可能性があります
- 高血圧、貧血・不整脈等の場合、インプラント治療後に治癒不全を招く可能性があります
- 自費診療(保険適用外治療)となります
セラミック治療の注意事項(リスク・副作用など)
- 天然歯を削ります
- 硬い素材は天然歯を傷つけてしまう場合があります
- かみ合わせや歯ぎしりが強すぎる方はセラミックが割れてしまう可能性があります
- 自費診療(保険適用外治療)となります
当サイトの内容、テキスト、画像等の無断転載、複製、複写、盗用を固く禁じます。
















