症例詳細
Case detail
深い咬み合わせと前歯の隙間 ハーフリンガルによる矯正治療
治療症例の内容
- 担当医
- 藤巻太一朗(ドクタープロフィール)
- 患者様
- 30代男性
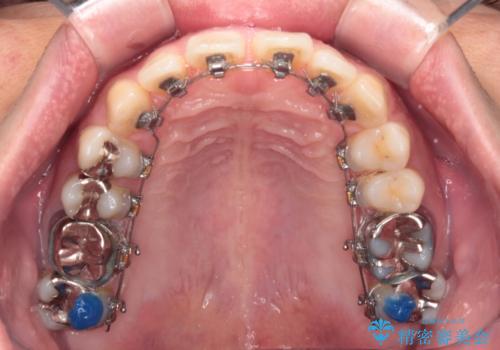
- 矯正装置
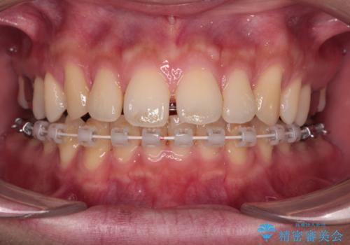
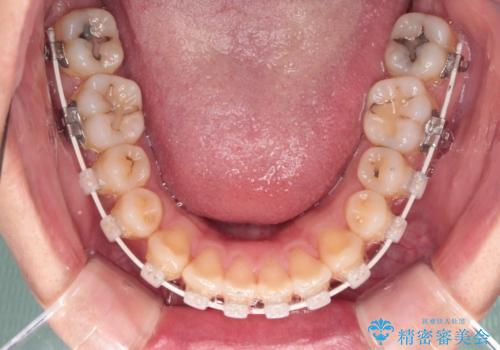
- ハーフリンガル
- 治療期間
- 1年
- 治療回数
- 10-30回
- 治療計画
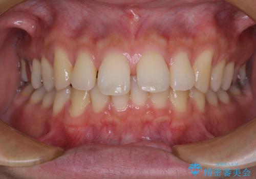
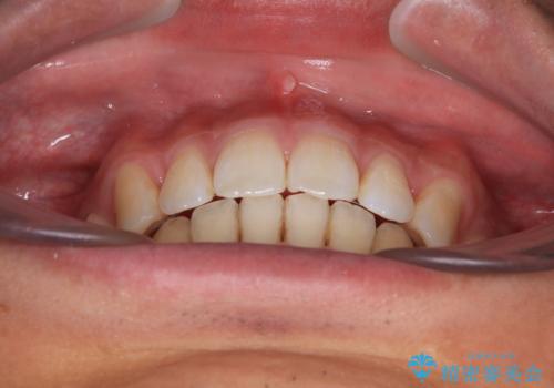
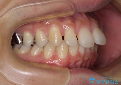
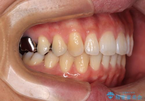
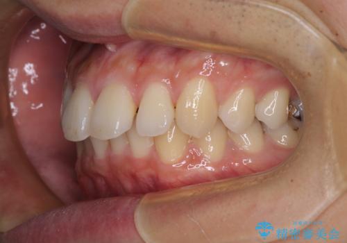
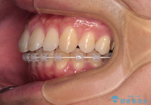
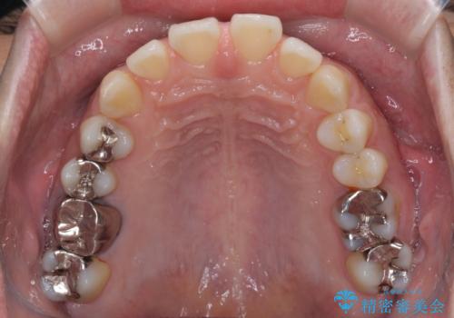
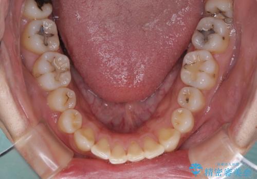
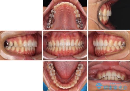
- 咬み合わせにより上顎正中に隙間ができているとのことで来院された患者様です。
インビザラインは自己管理が煩わしく、表側のワイヤー装置は目立つので避けたいとのことで、上顎だけが裏側装置のハーフリンガルにて矯正治療を行うこととしました。
- 費用(概算)
- 治療費の目安: 110万円(税込)費用は治療当時の料金となります
治療について
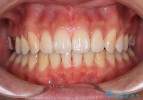
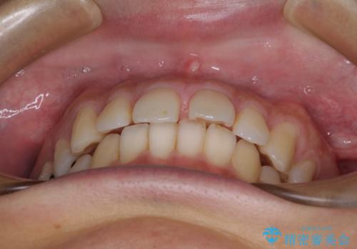
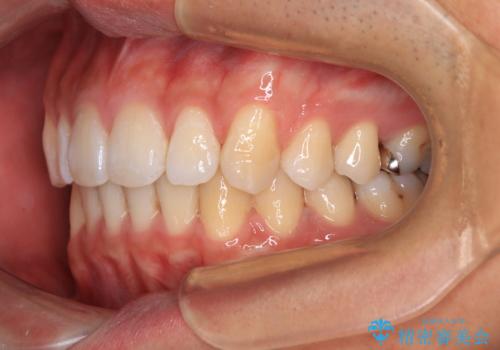
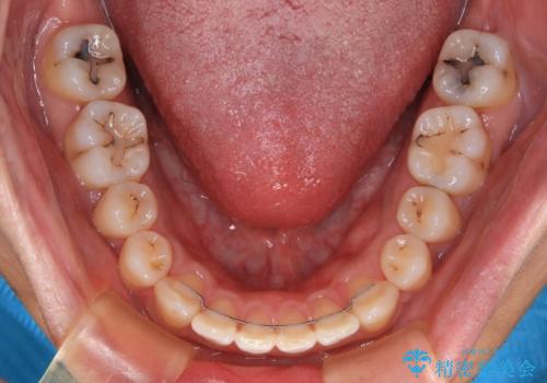
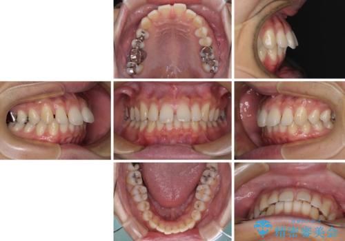
矯正治療中に結婚式があったそうですが、隙間も改善しており、一部装置を外すことなく挙式できたとのことでした。
ワイヤー矯正の注意事項(リスク・副作用など)
- 治療中は違和感や痛みが起こることがあります
- 症状により、抜歯が必要な場合があります
- 治療中は歯磨きがしにくくなるため、虫歯や歯周病になりやすくなります
- 矯正治療後の保定が不十分だと後戻り(元の位置に戻ろうとする動き)をします
- 自費診療(保険適用外)となります
当サイトの内容、テキスト、画像等の無断転載、複製、複写、盗用を固く禁じます。


























