症例詳細
Case detail
前歯が2本ない ワイヤー装置での抜歯矯正
治療症例の内容
- 担当医
- 藤巻太一朗(ドクタープロフィール)
- 患者様
- 10代女性(高校生)
- 矯正装置
- クリアブラケット
- 治療期間
- 2年6ヶ月
- 治療回数
- 10-30回
- 治療計画
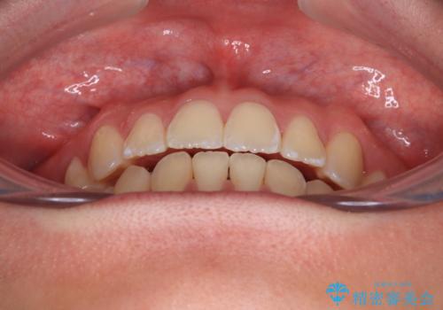
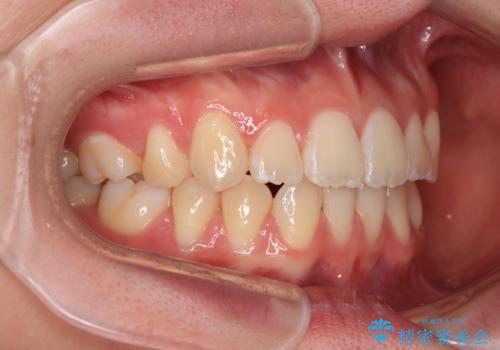
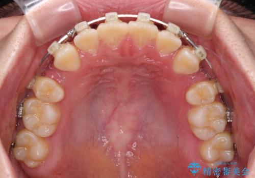
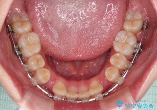
- 下顎前歯欠損による隙間と、上顎前歯の突出感を気にして来院された患者様です。
横顔に出っ歯の印象はありませんでしたが、下顎のスペースと上下前歯の前後位置の大きなズレを改善するために、上顎左右の第一小臼歯2本を抜歯しすることとしました。
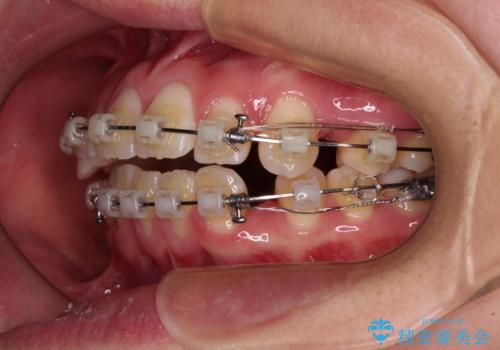
口元が引っ込みすぎないようにするために、上下ともに臼歯を前方に移動させる必要があり、インビザラインでは対応できないため、表側のワイヤー装置にて矯正治療を行うこととしました。
- 費用(概算)
- 治療費の目安: 100万円(税込)費用は治療当時の料金となります
治療について
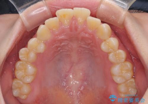
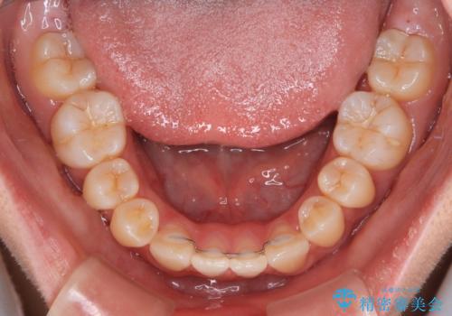
口元が引っ込みすぎることもなく、上下前歯がきれいに接触する位置に仕上げることができました。
ワイヤー矯正の注意事項(リスク・副作用など)
- 治療中は違和感や痛みが起こることがあります
- 症状により、抜歯が必要な場合があります
- 治療中は歯磨きがしにくくなるため、虫歯や歯周病になりやすくなります
- 矯正治療後の保定が不十分だと後戻り(元の位置に戻ろうとする動き)をします
- 自費診療(保険適用外)となります
当サイトの内容、テキスト、画像等の無断転載、複製、複写、盗用を固く禁じます。


























