症例詳細
Case detail
インビザラインとワイヤー矯正の併用で綺麗な歯並びに!
治療症例の内容
- 患者様
- 20代女性
- 矯正装置
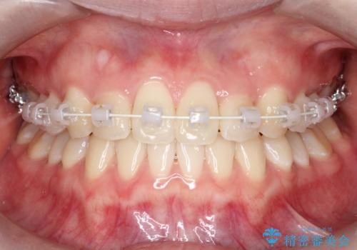
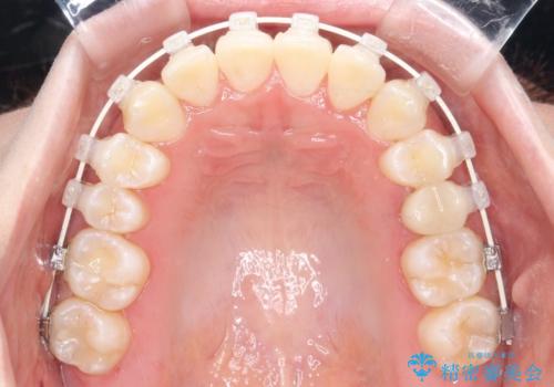
- インビザライン、ワイヤー矯正
- 治療期間
- 2年
- 治療回数
- 10-30回
- 治療計画
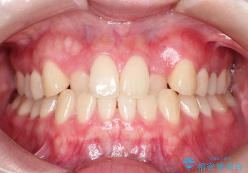
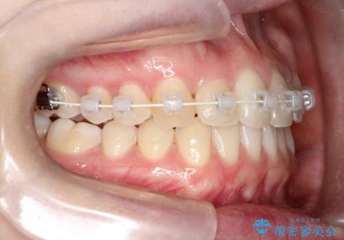
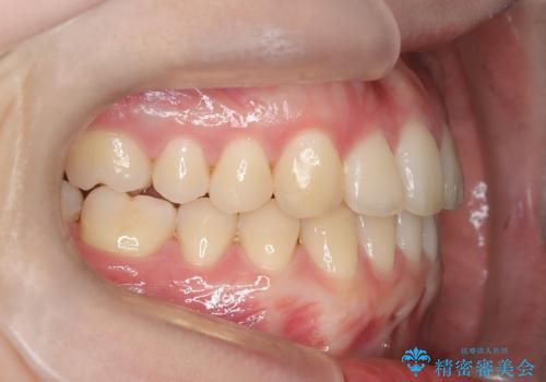
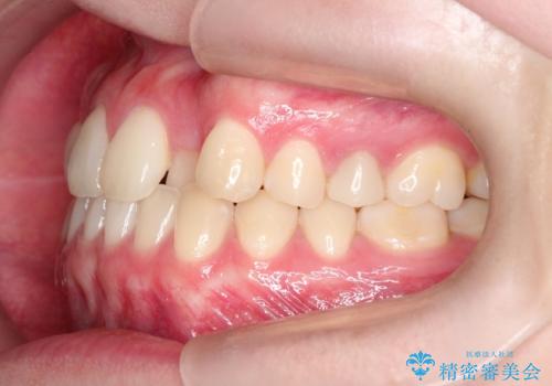
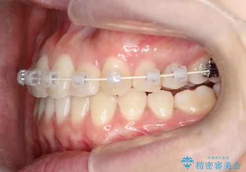
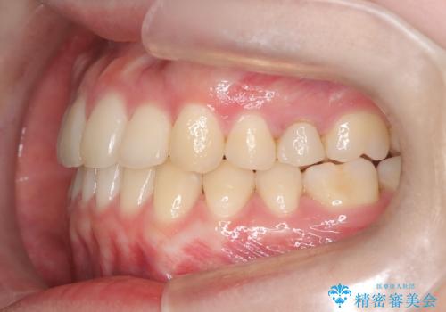
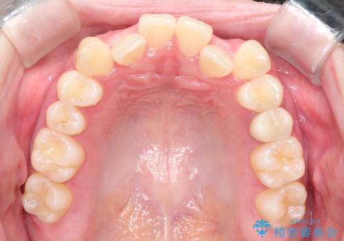
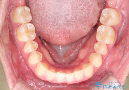
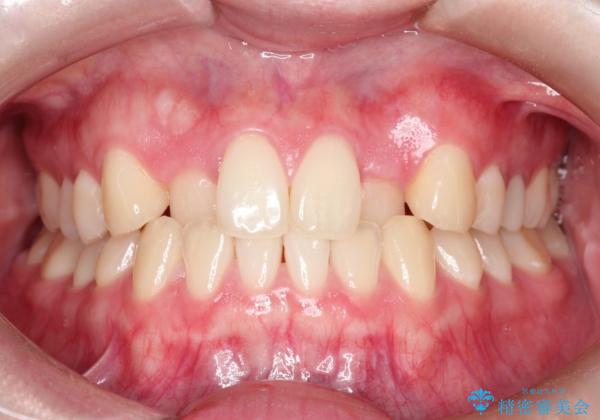
- 前歯のガタツキが気になるとのことで来院されました。
ワイヤー矯正とインビザライン矯正を併用することによって、治療期間の短縮と、より良い仕上がりを目指す治療を選択することとしました。
- 費用(概算)
- 85万円費用は治療当時の料金となります
治療について
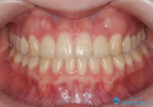
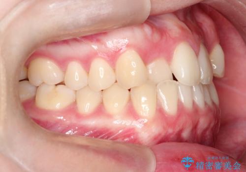
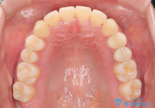
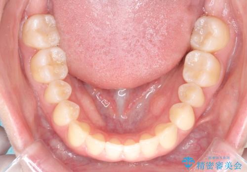
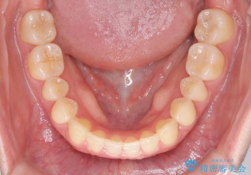
インビザライン(アライナー)矯正とワイヤー矯正のそれぞれの利点を生かした治療を行い、綺麗な歯並びになりました。
歯並びの状態により、最適な矯正方法が異なります。当院では、インビザライン矯正とワイヤー矯正の両方を提供しており、患者様一人ひとりのニーズに合わせた適切な矯正プランをご提案しています。
歯の並びに不安やお悩みを抱えている方は、ぜひご相談ください。インビザライン矯正は透明なマウスピースを使用し、目立たず快適な治療が可能です。一方で、ワイヤー矯正はしっかりと歯を引っ張り、効果的な矯正を行います。
どちらの方法が最適かは、患者様の歯の状態やご希望によって異なります。専門の歯科医師が患者様のお口の状態を丁寧に診断し、適切なアドバイスをさせていただきますので、お気軽にご相談ください。美しい歯並びを実現するために、最適な矯正方法を共に考えましょう。
ワイヤー矯正の注意事項(リスク・副作用など)
- 治療中は違和感や痛みが起こることがあります
- 症状により、抜歯が必要な場合があります
- 治療中は歯磨きがしにくくなるため、虫歯や歯周病になりやすくなります
- 矯正治療後の保定が不十分だと後戻り(元の位置に戻ろうとする動き)をします
- 自費診療(保険適用外)となります
マウスピース矯正の注意事項(リスク・副作用など)
- 口腔内・歯並びの状態によっては対応できない場合があります
- マウスピース型矯正装置の長時間装着(1日20時間以上)が必須です
- 治療計画通りに進めるためには、患者様の意志が重要になります
- 矯正治療後の保定が不十分だと後戻り(元の位置に戻ろうとする動き)をします
- 薬機法対象外の矯正歯科装置のため医薬品副作用被害救済制度の対象外となる場合があります
- 自費診療(保険適用外)となります
当サイトの内容、テキスト、画像等の無断転載、複製、複写、盗用を固く禁じます。















