症例詳細
Case detail
全体的な虫歯治療 他院で入れたインプラントの続きも
治療症例の内容
- 患者様
- 40代女性
- 治療期間
- 2年
- 治療回数
- 30回以上
- 治療計画
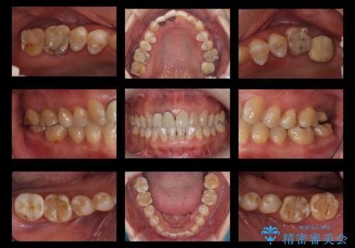
- 前歯のかぶせ物のやりかえと、全体的な治療をご希望して来院。
左上は他院でインプラントを入れたが、クラウンの脱離を繰り返して、仮歯に戻したあともうそれでいいと言われたとのことでした。
仮歯はすっかり劣化、変質しており、上記の写真のように隣の歯が虫歯になっている状態でした。
インプラントの製造会社は当院で使っているものと異なったため、ドライバー等購入し対応しました。
全体的にプラスチックで治療してあり、劣化していたのと、また、右上6番は根の治療がされていましたがプラスチックで埋めてあるだけで中を見たところ残念ながら割れていました。その歯は抜歯し⑤6⑦ブリッジにしています。
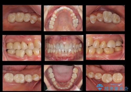
全体的にしっかり治療を行い、メンテナンスにはいることができました。
右下のクラウンレングスニングについては以下に載せています。
https://seimitsushinbi.jp/case/118535/
- 費用(概算)
- 約200万円 費用は治療当時の料金となります
治療について
左上は他院でインプラントを入れたが、クラウンの脱離を繰り返して、仮歯に戻したあともうそれでいいと言われたとのことでした。
仮歯はすっかり劣化、変質しており、上記の写真のように隣の歯が虫歯になっている状態でした。
インプラントの製造会社は当院で使っているものと異なったため、ドライバー等購入し対応しました。
セラミック治療の注意事項(リスク・副作用など)
- 天然歯を削ります
- 硬い素材は天然歯を傷つけてしまう場合があります
- かみ合わせや歯ぎしりが強すぎる方はセラミックが割れてしまう可能性があります
- 自費診療(保険適用外治療)となります
根管治療の注意事項(リスク・副作用など)
- 根管治療により類似の全ての症例の問題が解決するわけではなく、症例はあくまでも一例です
- 根管治療により痛みや腫れがひかない事や、術後に痛みや腫れが生じる事、治療によるファイル破折やパーフォレーションなどの偶発症、術後の歯根破折を生じる可能性もあります
- 自費診療(保険適用外)となります
外科処置の注意事項(リスク・副作用など)
- 外科手術のため、術後に出血、痛みや腫れ、違和感を伴います
- 口腔内の状態によっては適応できないことがあります
当サイトの内容、テキスト、画像等の無断転載、複製、複写、盗用を固く禁じます。







