症例詳細
Case detail
インビザライン矯正 前歯のすきっ歯を治したい
治療症例の内容
- 担当医
- 本間玲奈(ドクタープロフィール)
- 患者様
- 20代女性
- 矯正装置
- インビザライン
- 治療期間
- 9ヶ月
- 治療回数
- 5-10回
- 治療計画
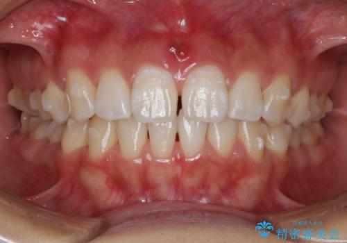
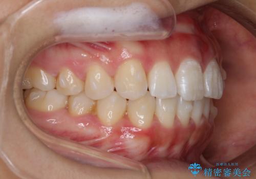
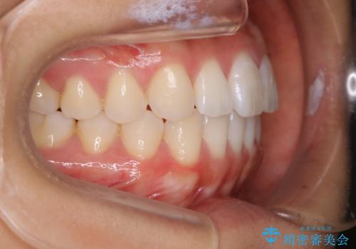
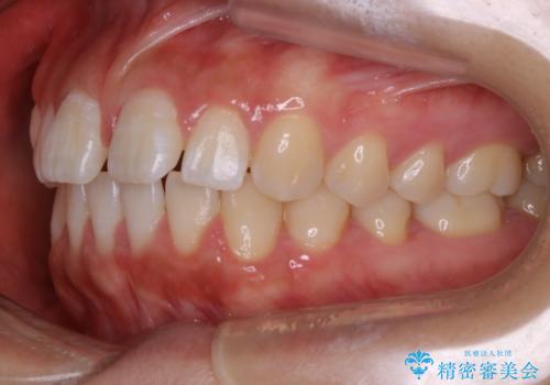
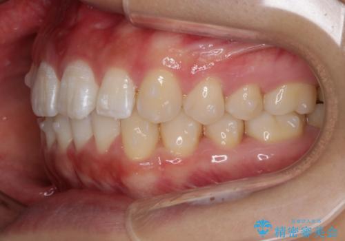
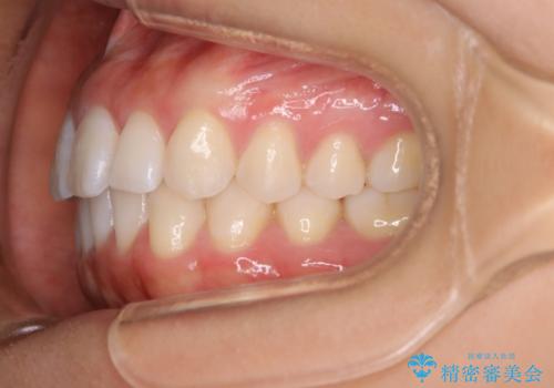
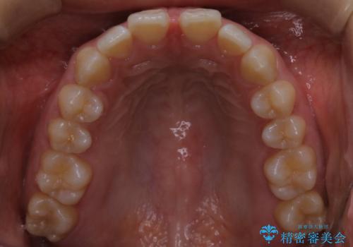
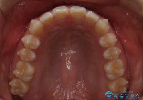
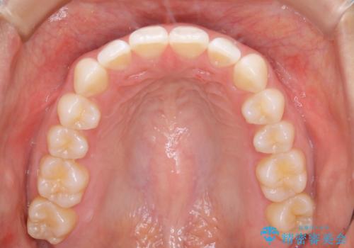
- 上顎の前歯のすきっ歯を治したいとのことで来院されました。
前歯の隙間を閉じる矯正治療の場合、インビザライン適用症例のためインビザラインによる治療をご提案しました。
後戻り防止のため、上唇小帯切除も併用しています。
- 費用(概算)
- 49.5万円費用は治療当時の料金となります
治療について
上唇と歯ぐきを結ぶひも(上唇小帯)が長いと、前歯に隙間が空いてしまうことがあります。今回は隙間を確実に閉じる目的、また矯正後に再び隙間が空かないように、上唇小帯の切除も行っています。
マウスピース矯正の注意事項(リスク・副作用など)
- 口腔内・歯並びの状態によっては対応できない場合があります
- マウスピース型矯正装置の長時間装着(1日20時間以上)が必須です
- 治療計画通りに進めるためには、患者様の意志が重要になります
- 矯正治療後の保定が不十分だと後戻り(元の位置に戻ろうとする動き)をします
- 薬機法対象外の矯正歯科装置のため医薬品副作用被害救済制度の対象外となる場合があります
- 自費診療(保険適用外)となります
外科処置の注意事項(リスク・副作用など)
- 外科手術のため、術後に出血、痛みや腫れ、違和感を伴います
- 口腔内の状態によっては適応できないことがあります
当サイトの内容、テキスト、画像等の無断転載、複製、複写、盗用を固く禁じます。















