症例詳細
Case detail
- 患者様
- 30代男性
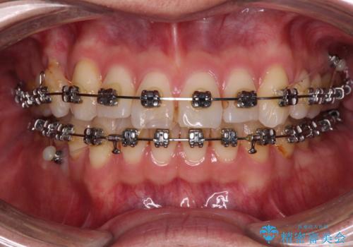
- 矯正装置
- メタルブラケット
- 治療期間
- 2年8ヶ月
- 治療回数
- 10-30回
- 治療計画
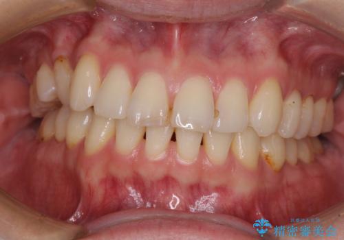
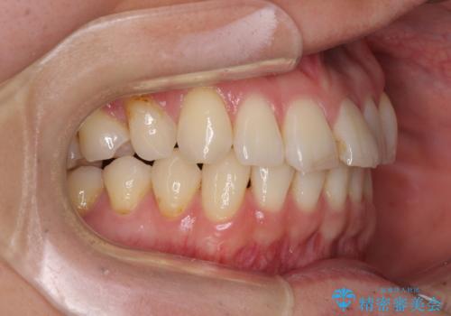
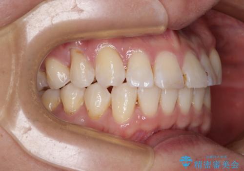
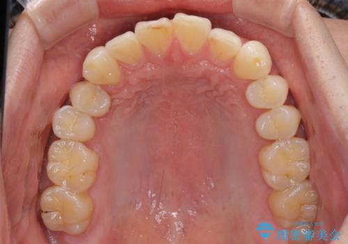
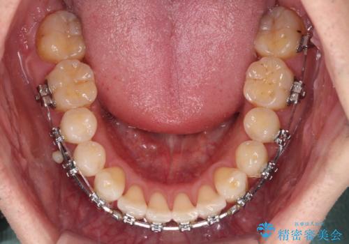
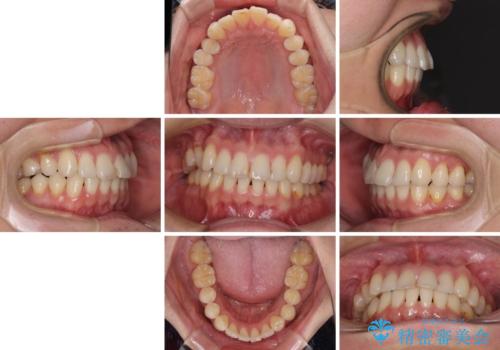
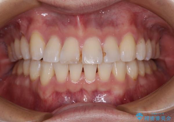
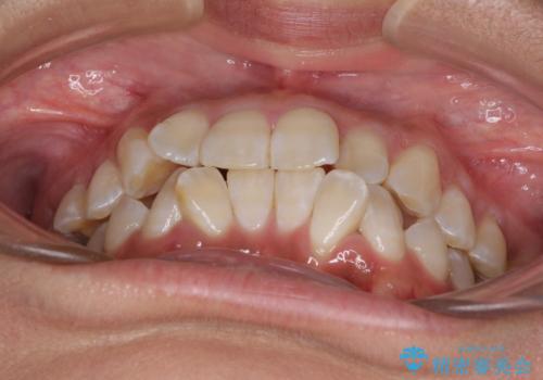
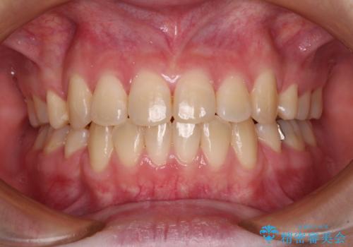
- 以前矯正治療を行ったものの、思い通りの仕上がりではなく、更には後戻りが気になってきたとのことで来院された患者様です。
上顎右側の第一小臼歯が動きにくい歯であり、以前矯正治療を行った際に傾斜した位置のまま終了したことと、それに伴い後戻りで歯列が波打っているようになっていることを大変気にしていらっしゃいました。
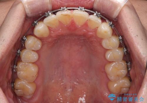
咬合平面改善のため、アンカースクリューを多用し、ワイヤー装置にて矯正治療を行うこととしました。
- 費用(概算)
- 治療費の目安: 80万円(税込)費用は治療当時の料金となります
※顔写真掲載にあたり、患者様の了解を得ております
治療について
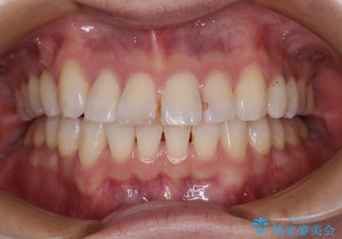
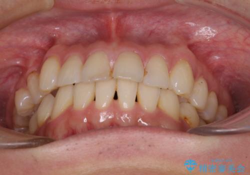
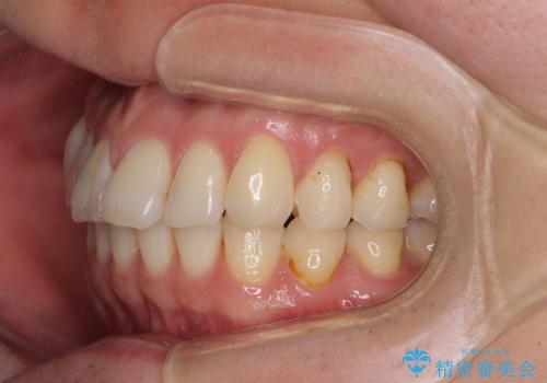
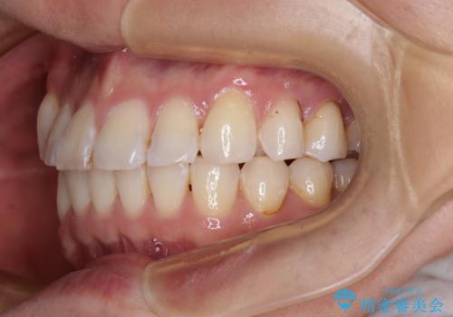
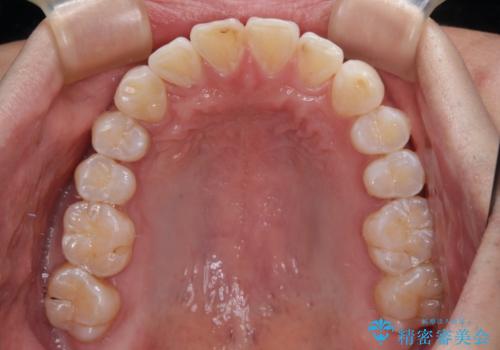
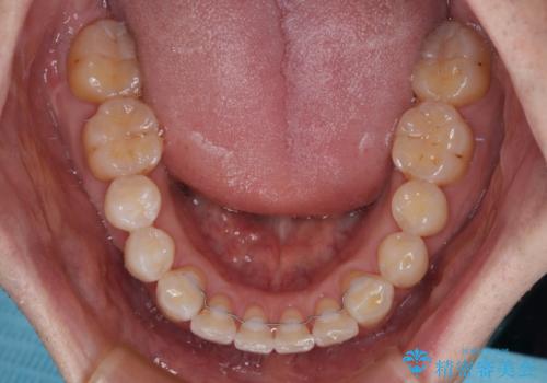
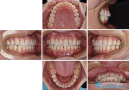
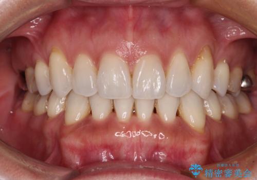
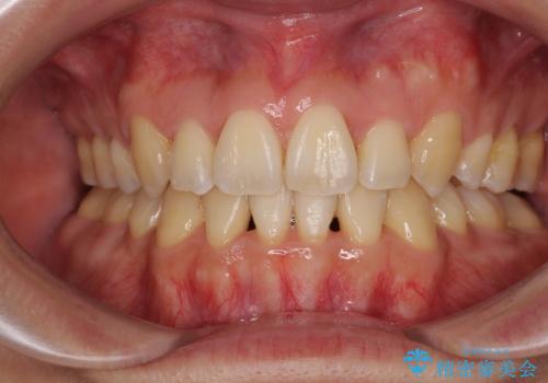
動きにくい歯はやはり動きにくく、咬み合わせ改善に時間を要しましたが、患者様には大変満足していただけました。
ワイヤー矯正の注意事項(リスク・副作用など)
- 治療中は違和感や痛みが起こることがあります
- 症状により、抜歯が必要な場合があります
- 治療中は歯磨きがしにくくなるため、虫歯や歯周病になりやすくなります
- 矯正治療後の保定が不十分だと後戻り(元の位置に戻ろうとする動き)をします
- 自費診療(保険適用外)となります
当サイトの内容、テキスト、画像等の無断転載、複製、複写、盗用を固く禁じます。


























