症例詳細
Case detail
壊れやすいブリッジ インプラント治療で安定した咬み合わせに
治療症例の内容
- 患者様
- 30代女性
- 治療期間
- 6ヶ月
- 治療回数
- 5-10回
- 治療計画
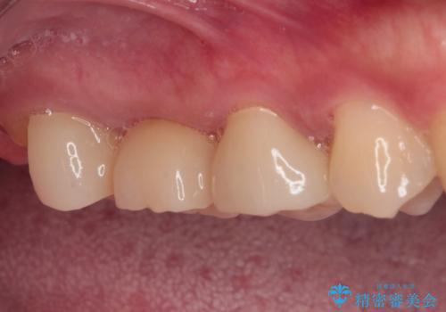
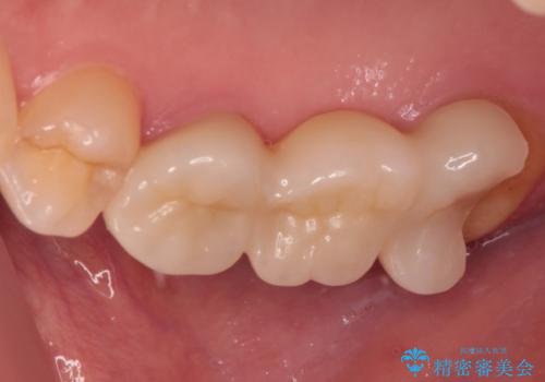
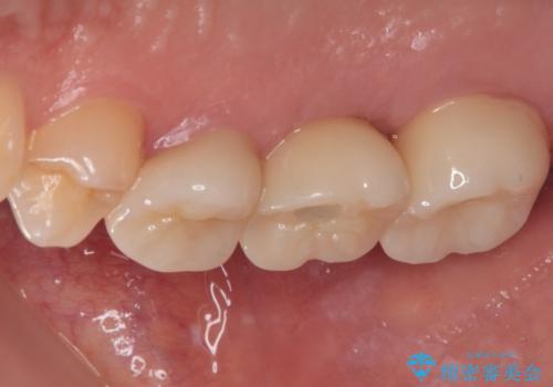
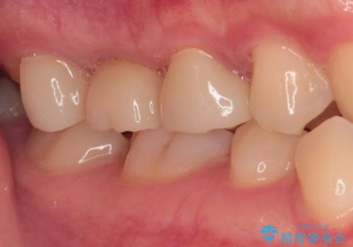
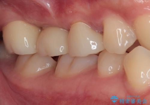
- 頻繁に脱離を繰り返す奥歯のブリッジが欠けてしまったとのことで来院された患者様です。
外科処置を回避するためにブリッジ治療を選択されたそうですが、頻繁に脱離するので、欠けた部分のクラウンの作り替えと、欠損部のインプラント治療を行うこととしました。
最後方歯は、クラウンを維持するための高さが不足していたため、インプラント処置の際に歯冠長を延長する手術を併用し、維持力を増すこととしました。
- 費用(概算)
- 治療費の目安: 55万円(税込)費用は治療当時の料金となります
治療について
上顎洞までの骨高さが低いケースでしたが、ショートインプラントと骨圧縮機能を持つドリルの使用により、上顎洞底挙上を行うことなく、インプラント治療を行うことができました。
インプラント治療の注意事項(リスク・副作用など)
- 外科手術のため、術後に痛みや腫れ、違和感を伴います
- メンテナンスを怠ったり喫煙により、お口の中に大きな悪影響を及ぼすインプラント周囲炎等にかかる可能性があります
- 糖尿病、肝硬変、心臓病等の場合、インプラント治療ができない可能性があります
- 高血圧、貧血・不整脈等の場合、インプラント治療後に治癒不全を招く可能性があります
- 自費診療(保険適用外治療)となります
セラミック治療の注意事項(リスク・副作用など)
- 天然歯を削ります
- 硬い素材は天然歯を傷つけてしまう場合があります
- かみ合わせや歯ぎしりが強すぎる方はセラミックが割れてしまう可能性があります
- 自費診療(保険適用外治療)となります
当サイトの内容、テキスト、画像等の無断転載、複製、複写、盗用を固く禁じます。













