症例詳細
Case detail
舌突出癖で出っ歯と開咬に 舌のトレーニングを行いながら抜歯矯正
治療症例の内容
- 診療科目
- 担当医
- 藤巻太一朗(ドクタープロフィール)
- 患者様
- 20代女性
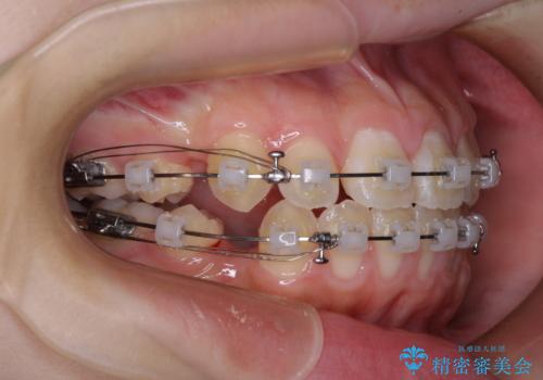
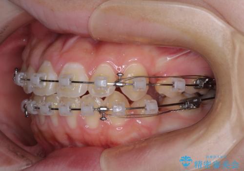
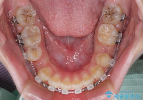
- 矯正装置
- クリアブラケット
- 治療期間
- 1年4ヶ月
- 治療回数
- 10-30回
- 治療計画
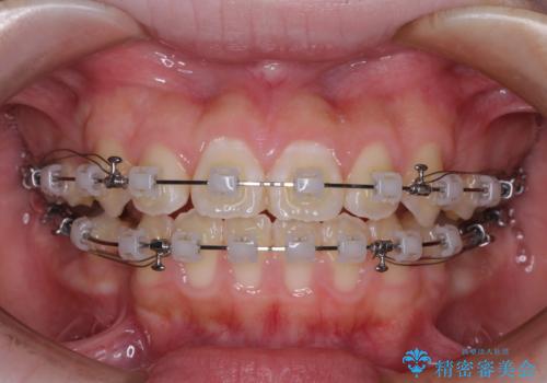
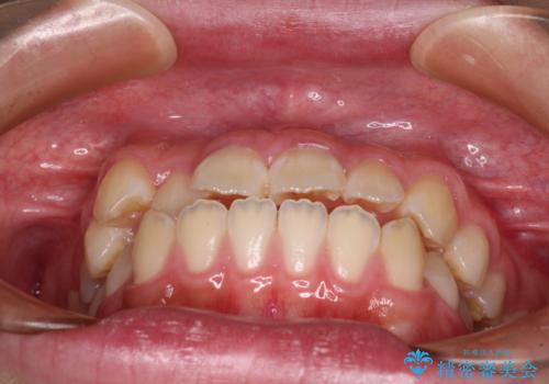
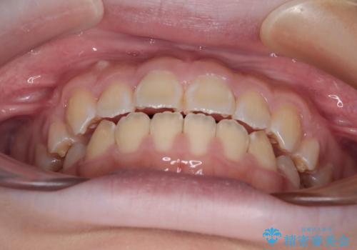
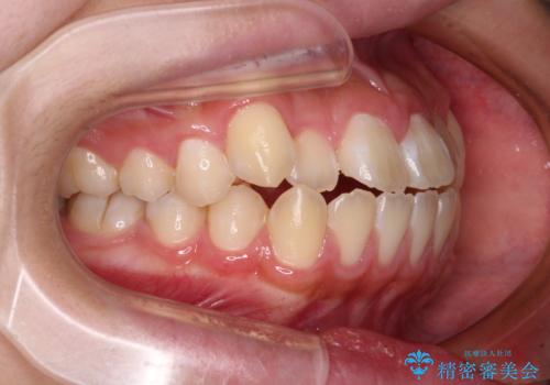
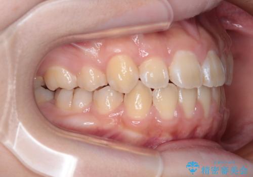
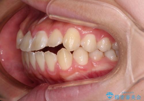
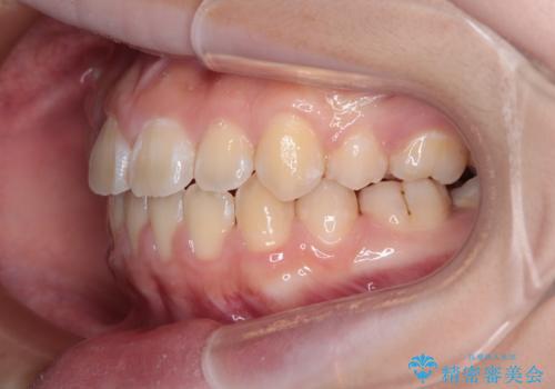
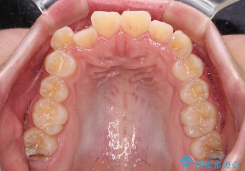
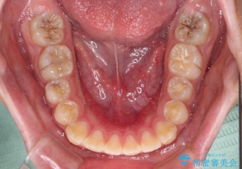
- 前歯が開いて飛び出していることを気にして来院された患者様です。
舌の突出癖により上下前歯は接触できず、更には前方に押し出されて出っ歯になっている状態でした。
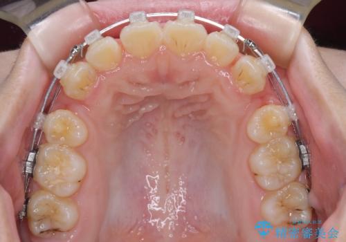
上下左右の第一小臼歯4本を抜歯し、ワイヤー装置での抜歯矯正を行っていくのですが、原因である舌の突出癖を改善しないことには治療がうまく進められないため、舌のトレーニングを徹底するよう指導していくこととしました。
- 費用(概算)
- 治療費の目安: 100万円(税込)費用は治療当時の料金となります
治療について
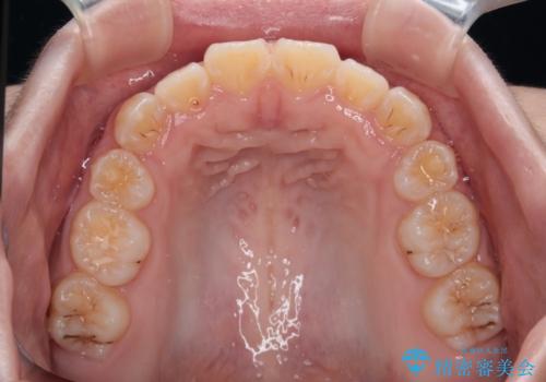
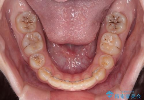
当初は舌のトレーニングがうまくできていなかったのですが、途中から奏効し、非常に短い期間で治療を終えることができました。
ワイヤー矯正の注意事項(リスク・副作用など)
- 治療中は違和感や痛みが起こることがあります
- 症状により、抜歯が必要な場合があります
- 治療中は歯磨きがしにくくなるため、虫歯や歯周病になりやすくなります
- 矯正治療後の保定が不十分だと後戻り(元の位置に戻ろうとする動き)をします
- 自費診療(保険適用外)となります
当サイトの内容、テキスト、画像等の無断転載、複製、複写、盗用を固く禁じます。


























