症例詳細
Case detail
抜歯と言われた前歯 牽引してセラミッククラウンで保存する
治療症例の内容
- 診療科目
- 治療カテゴリ
- 担当医
- 藤巻太一朗(ドクタープロフィール)
- 患者様
- 20代男性
- 治療期間
- 4ヶ月
- 治療回数
- 5-10回
- 治療計画
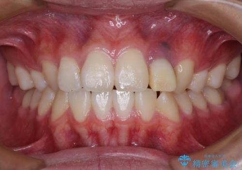
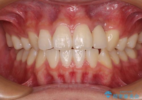
- 他院で前歯の抜歯が必要と言われたとのことで来院された患者様です。
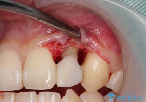
過去にぶつけたことで神経組織が壊死してしまったようで、その後むし歯が進行して歯肉深いところにまで進んでいる状態でした。
まずは部分矯正により歯を牽引し、歯肉や歯槽骨の位置を調整するために歯周外科処置を行い、治癒を待ってオールセラミッククラウンにて補綴治療を行うこととしました。
- 費用(概算)
- 治療費の目安: 26万円(税込)費用は治療当時の料金となります
治療について
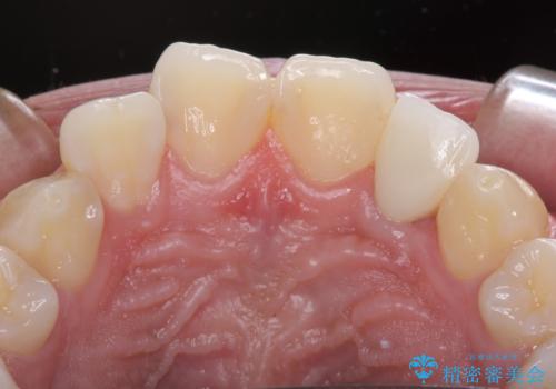
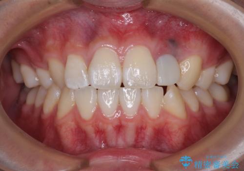
しっかりとむし歯を牽引したことで、クラウンの周りの腫れが引き、自然な口元に仕上げることができました。
セラミック治療の注意事項(リスク・副作用など)
- 天然歯を削ります
- 硬い素材は天然歯を傷つけてしまう場合があります
- かみ合わせや歯ぎしりが強すぎる方はセラミックが割れてしまう可能性があります
- 自費診療(保険適用外治療)となります
外科処置の注意事項(リスク・副作用など)
- 外科手術のため、術後に出血、痛みや腫れ、違和感を伴います
- 口腔内の状態によっては適応できないことがあります
当サイトの内容、テキスト、画像等の無断転載、複製、複写、盗用を固く禁じます。











