症例詳細
Case detail
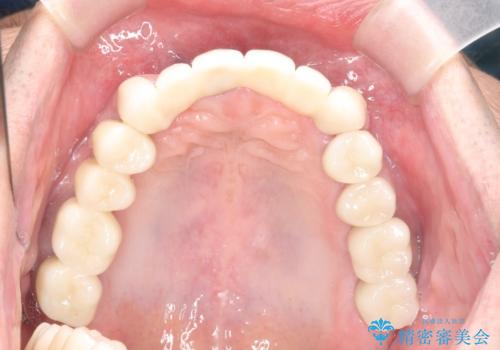
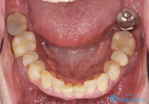
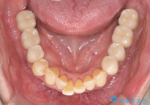
インプラント・ブリッジ補綴を含む、歯周病全顎治療
- 患者様
- 50代男性
- 治療期間
- 3年
- 治療回数
- 10-30回
- 治療計画
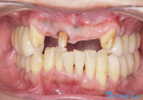
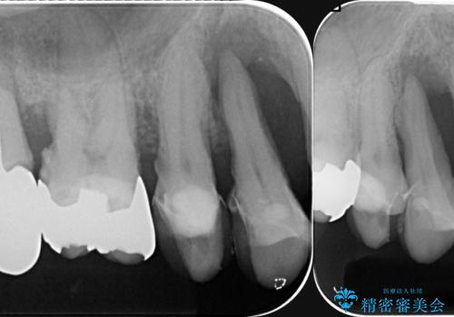
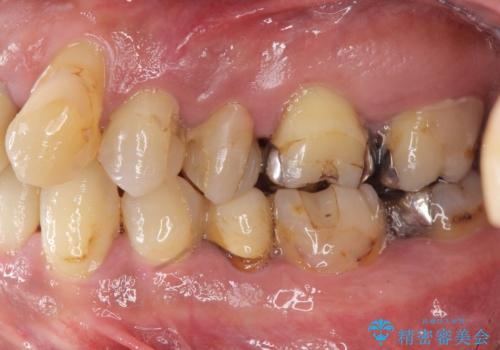
- 歯が全体的に揺れ始め、恐怖を感じ他院に相談に行ったところ、全体的な歯周病の問題・抜歯の必要性・入れ歯の提案を受け、入れ歯以外の選択肢を希望され来院されました。
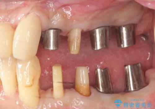
全体的な歯周病検査を行い、多数の残すことのできない抜歯の必要な歯を認めたため、残せる歯に対しての徹底的な歯周病治療、失った歯に対しブリッジ・インプラント治療を全顎的に行っていくこととしました。
- 費用(概算)
- 550万円費用は治療当時の料金となります
治療について
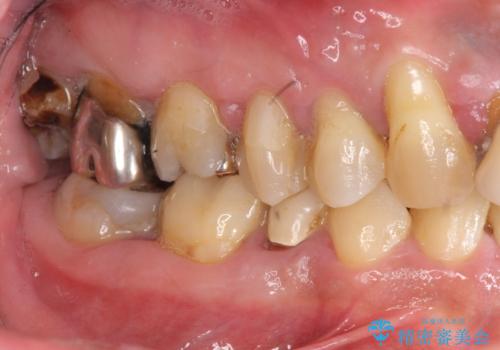
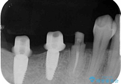
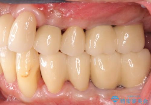
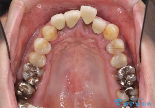
長期間にわたる治療後、歯に対する意識も大きく変わりプラークコントロールも非常に良くなりました。
数ヶ月に一度のチェックをしっかりと行い、ブリッジ・インプラントが長期間使用できるようメンテンスを行っていきます。
歯周病治療の注意事項(リスク・副作用など)
- 外科手術のため、術後に痛みや腫れ、違和感を伴います
- 歯周組織再生治療は患者様の状態によって術後の経過が異なります(見た目が改善しない場合もあります)
- 歯周組織再生治療は自費診療(保険適用外)となります
インプラント治療の注意事項(リスク・副作用など)
- 外科手術のため、術後に痛みや腫れ、違和感を伴います
- メンテナンスを怠ったり喫煙により、お口の中に大きな悪影響を及ぼすインプラント周囲炎等にかかる可能性があります
- 糖尿病、肝硬変、心臓病等の場合、インプラント治療ができない可能性があります
- 高血圧、貧血・不整脈等の場合、インプラント治療後に治癒不全を招く可能性があります
- 自費診療(保険適用外治療)となります
静脈内鎮静法の注意事項(リスク・副作用など)
- 回復後も多少眠気が残る可能性があります
- 治療中の記憶が残る場合があります
- 意識が完全になくなることはないため、2時間程度の治療で適応となります
- 静脈穿刺時に痛みがあります
- 治療当日は乗り物の運転は控える必要があります
- 自費診療(保険適用外)となります
当サイトの内容、テキスト、画像等の無断転載、複製、複写、盗用を固く禁じます。





























