症例詳細
Case detail
[ 歯並びと虫歯治療 ] 矯正治療とセラミック治療の包括治療
治療症例の内容
- 患者様
- 20代女性
- 矯正装置
- インビザライン
- 治療期間
- 2年
- 治療回数
- 10-30回
- 治療計画
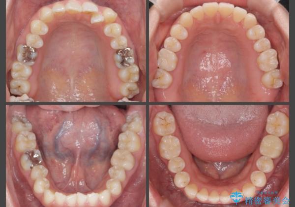
- 矯正治療と銀歯を外してのセラミック治療を当院で行いたいと希望され来院されました。
歯並びの改善に対しマウスピース矯正インビザラインシステムを、矯正治療後に銀歯を除去し精密なセラミックインレー治療を行い審美面の改善も含めた治療を計画します。
- 費用(概算)
- 88万円 (矯正治療) 23.1万円(セラミックインレー×3)費用は治療当時の料金となります
治療について
歯並びも虫歯治療を含めたセラミック治療も、医院を行き来することなく、1つの医院で包括的に効率的に進めることができます。
マウスピース矯正の注意事項(リスク・副作用など)
- 口腔内・歯並びの状態によっては対応できない場合があります
- マウスピース型矯正装置の長時間装着(1日20時間以上)が必須です
- 治療計画通りに進めるためには、患者様の意志が重要になります
- 矯正治療後の保定が不十分だと後戻り(元の位置に戻ろうとする動き)をします
- 薬機法対象外の矯正歯科装置のため医薬品副作用被害救済制度の対象外となる場合があります
- 自費診療(保険適用外)となります
セラミック治療の注意事項(リスク・副作用など)
- 天然歯を削ります
- 硬い素材は天然歯を傷つけてしまう場合があります
- かみ合わせや歯ぎしりが強すぎる方はセラミックが割れてしまう可能性があります
- 自費診療(保険適用外治療)となります
当サイトの内容、テキスト、画像等の無断転載、複製、複写、盗用を固く禁じます。

![[ 歯並びと虫歯治療 ] 矯正治療とセラミック治療の包括治療の治療前](https://seimitsushinbi.jp/wp/wp-content/uploads/2023/12/IMG_1093-500x350.jpg?v=1703058764)
![[ 歯並びと虫歯治療 ] 矯正治療とセラミック治療の包括治療の治療中](https://seimitsushinbi.jp/wp/wp-content/uploads/2023/12/IMG_8887-500x350.jpg?v=1703058831)
![[ 歯並びと虫歯治療 ] 矯正治療とセラミック治療の包括治療の治療後](https://seimitsushinbi.jp/wp/wp-content/uploads/2023/12/d2649953cbde2ed7237dd47483ac69db-1-500x350.jpg?v=1703058723)
![[ 歯並びと虫歯治療 ] 矯正治療とセラミック治療の包括治療の治療前](https://seimitsushinbi.jp/wp/wp-content/uploads/2023/12/IMG_1095-500x350.jpg?v=1703058766)
![[ 歯並びと虫歯治療 ] 矯正治療とセラミック治療の包括治療の治療中](https://seimitsushinbi.jp/wp/wp-content/uploads/2023/12/IMG_8888-500x350.jpg?v=1703058836)
![[ 歯並びと虫歯治療 ] 矯正治療とセラミック治療の包括治療の治療後](https://seimitsushinbi.jp/wp/wp-content/uploads/2023/12/a9d8b6cbf4d6c0cc279f35d52e0d989c-1-500x350.jpg?v=1703058725)
![[ 歯並びと虫歯治療 ] 矯正治療とセラミック治療の包括治療の治療前](https://seimitsushinbi.jp/wp/wp-content/uploads/2023/12/31378c96134d5d3151b41a394785292a-500x350.jpg?v=1703058719)
![[ 歯並びと虫歯治療 ] 矯正治療とセラミック治療の包括治療の治療後](https://seimitsushinbi.jp/wp/wp-content/uploads/2023/12/b59f659d04ed54d43c92ffc1ab4b30b4-500x350.jpg?v=1703058721)