症例詳細
Case detail
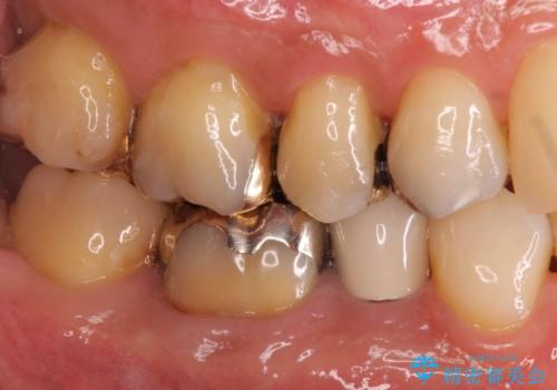
銀歯を白くして見た目を改善したい !
- 患者様
- 30代男性
- 治療期間
- 1年
- 治療回数
- 10-30回
- 治療計画
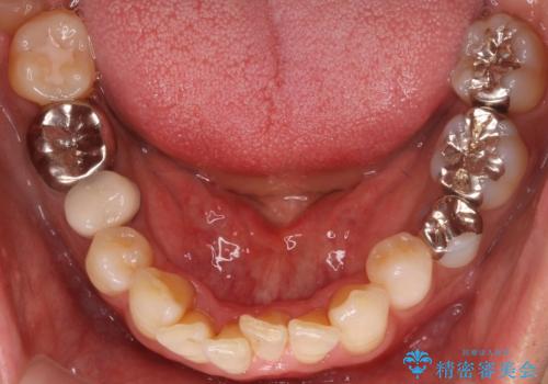
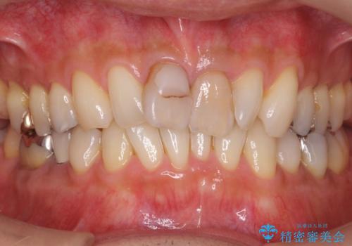
- 銀歯をすべてやり替えたいとのことで来院された患者様です。
再根管治療が必要なところは再根管治療から、そうでないところは補綴物のみをやり替えていくこととなりました。
- 費用(概算)
- 約130万円費用は治療当時の料金となります
治療について
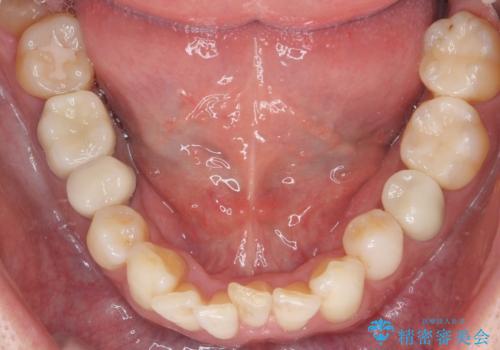
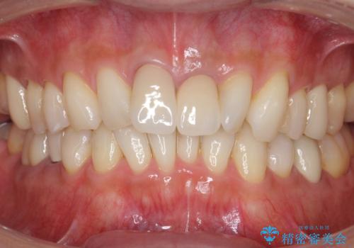
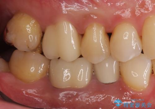
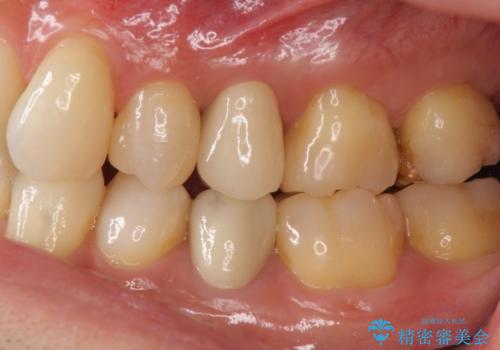
銀歯のやり替えと並行してホワイトニングも行いました。
結果的には銀歯がすべて白くなり、前歯のガタつきもある程度改善され大変喜んでいただけました。
治療終了時からナイトガードを使用していただき、歯ぎしりによる破折を予防しています。
セラミック治療の注意事項(リスク・副作用など)
- 天然歯を削ります
- 硬い素材は天然歯を傷つけてしまう場合があります
- かみ合わせや歯ぎしりが強すぎる方はセラミックが割れてしまう可能性があります
- 自費診療(保険適用外治療)となります
根管治療の注意事項(リスク・副作用など)
- 根管治療により類似の全ての症例の問題が解決するわけではなく、症例はあくまでも一例です
- 根管治療により痛みや腫れがひかない事や、術後に痛みや腫れが生じる事、治療によるファイル破折やパーフォレーションなどの偶発症、術後の歯根破折を生じる可能性もあります
- 自費診療(保険適用外)となります
当サイトの内容、テキスト、画像等の無断転載、複製、複写、盗用を固く禁じます。












