症例詳細
Case detail
デコボコで磨きにくい歯列 ワイヤー装置での抜歯矯正で歯磨きをしやすく
治療症例の内容
- 担当医
- 藤巻太一朗(ドクタープロフィール)
- 患者様
- 20代女性
- 矯正装置
- 審美装置
- 治療期間
- 2年2ヶ月
- 治療回数
- 10-30回
- 治療計画
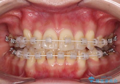
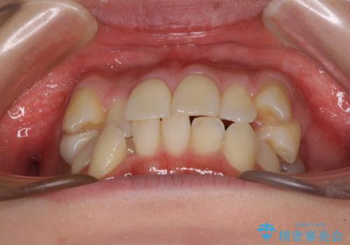
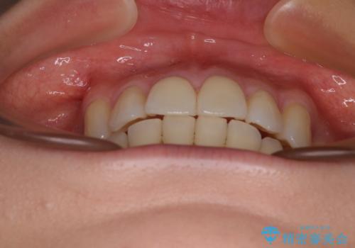
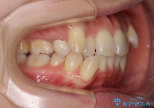
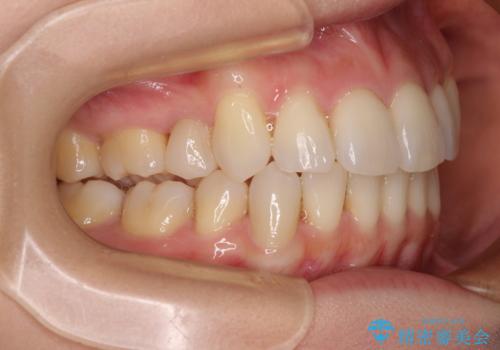
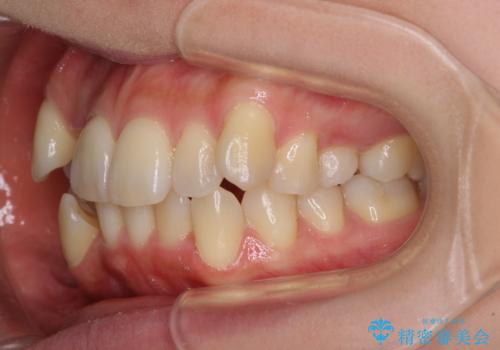
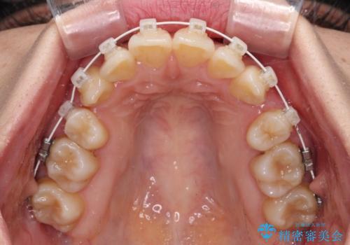
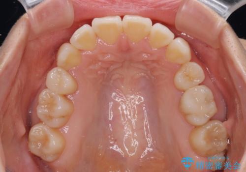
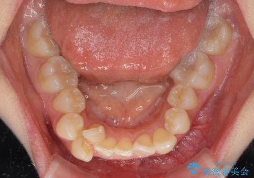
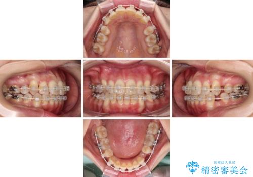
- デコボコの歯列で歯磨きがしにくいことを気にして来院された患者様です。
右側の上下は歯が重なり合って、内側に移動してしまうほどであり、それに伴って正中の位置が右側にずれている状態でした。
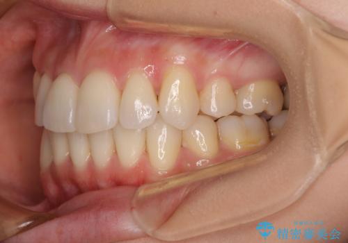
上下左右の第一小臼歯4本を抜歯して行うことになりますが、それだけでは咬み合わせの改善や正中位置の改善が困難であると判断されたため、アンカースクリューを用いた補助装置を併用することで、スムーズかつより良い仕上がりを目指すこととしました。
- 費用(概算)
- 治療費の目安: 145万円(税込)費用は治療当時の料金となります
治療について
途中むし歯が見つかり、矯正治療を行いながら迅速に対応し、何とか神経組織を保存して治療を終えることができました。
ワイヤー矯正の注意事項(リスク・副作用など)
- 治療中は違和感や痛みが起こることがあります
- 症状により、抜歯が必要な場合があります
- 治療中は歯磨きがしにくくなるため、虫歯や歯周病になりやすくなります
- 矯正治療後の保定が不十分だと後戻り(元の位置に戻ろうとする動き)をします
- 自費診療(保険適用外)となります
セラミック治療の注意事項(リスク・副作用など)
- 天然歯を削ります
- 硬い素材は天然歯を傷つけてしまう場合があります
- かみ合わせや歯ぎしりが強すぎる方はセラミックが割れてしまう可能性があります
- 自費診療(保険適用外治療)となります
当サイトの内容、テキスト、画像等の無断転載、複製、複写、盗用を固く禁じます。



























