症例詳細
Case detail
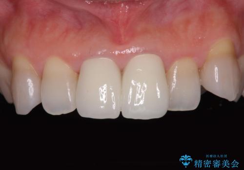
事故で抜けかけた歯 歯が溶けてしまった方のブリッジ治療
治療症例の内容
- 患者様
- 20代女性
- 治療期間
- 1年
- 治療回数
- 5-10回
- 治療計画
- 10年以上前に事故で抜け落ち、戻していた歯が溶けてきているとのことで来院された患者様です。
レントゲン写真でも分かるとおり、前歯3本が溶けてくる「外部吸収」を起こしていました。
残せない3本は抜歯をし、骨造成や歯肉移植によって歯肉の高さや幅を整え、オールセラミックブリッジにて治療することとしました。
- 費用(概算)
- 治療費の目安: 120万円費用は治療当時の料金となります
治療を終えて
前歯3本分と、比較的広範囲の手術が何度も必要となったため、患者様にはお休みを調整していただくこととなり、ご迷惑をおかけしました。
しかし、そのおかげもあって、歯肉の幅や厚みを確保した審美的なブリッジを装着することができ、患者様には大変満足していただきました。
リスクについて
外科処置は術後に痛みを伴います。
セラミックは破折などにより修復や再製作が必要となることがあります。
セラミック治療の注意事項(リスク・副作用など)
- 天然歯を削ります
- 硬い素材は天然歯を傷つけてしまう場合があります
- かみ合わせや歯ぎしりが強すぎる方はセラミックが割れてしまう可能性があります
- 自費診療(保険適用外治療)となります
当サイトの内容、テキスト、画像等の無断転載、複製、複写、盗用を固く禁じます。















