症例詳細
Case detail
気がつくと唇が開く 口元を下げる抜歯矯正
治療症例の内容
- 診療科目
- 担当医
- 藤巻太一朗(ドクタープロフィール)
- 患者様
- 20代女性
- 矯正装置
- メタルブラケット
- 治療期間
- 3年1ヶ月
- 治療回数
- 30回以上
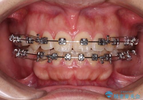
- 治療計画
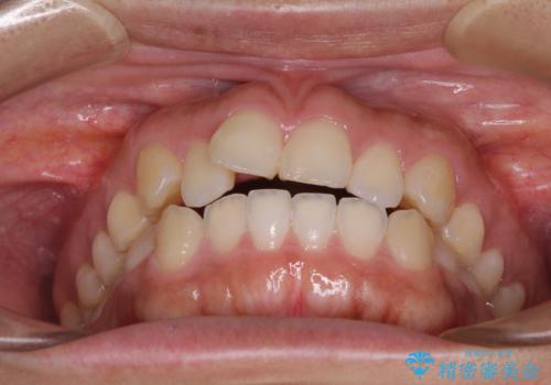
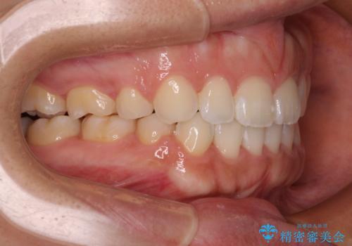
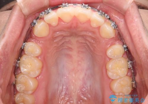
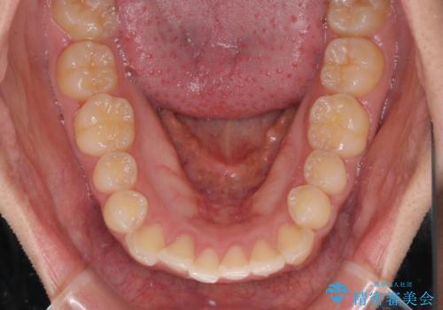
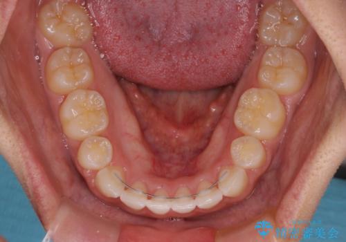
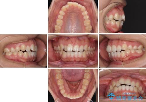
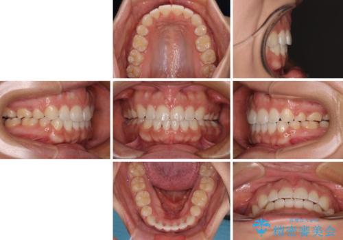
- 口が閉じにくさを気にして来院された患者様です。
上下の前歯が前方に突出していたため、上下左右の第一小臼歯4本を抜歯し、ワイヤー装置にて抜歯矯正を行うこととしました。
- 費用(概算)
- 治療費の目安: 90万円(税込)費用は治療当時の料金となります
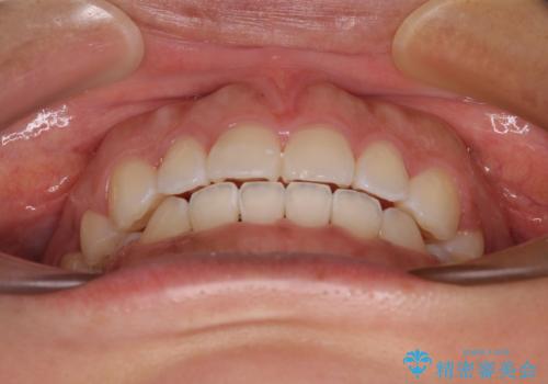
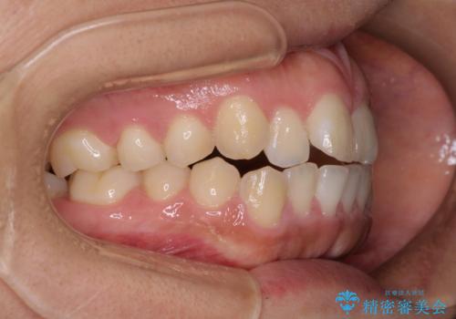
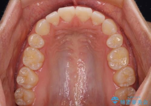
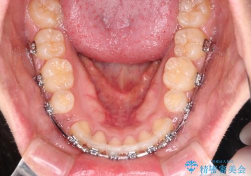
治療について
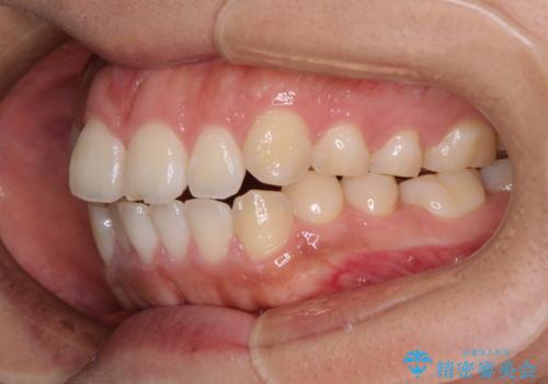
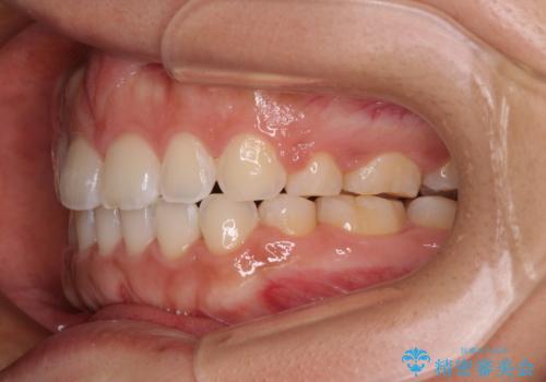
上下前歯部の被蓋関係を改善するの時間がかかり、3年間を要することとなりましたが、スッキリとした口元に仕上がりました。
ワイヤー矯正の注意事項(リスク・副作用など)
- 治療中は違和感や痛みが起こることがあります
- 症状により、抜歯が必要な場合があります
- 治療中は歯磨きがしにくくなるため、虫歯や歯周病になりやすくなります
- 矯正治療後の保定が不十分だと後戻り(元の位置に戻ろうとする動き)をします
- 自費診療(保険適用外)となります
当サイトの内容、テキスト、画像等の無断転載、複製、複写、盗用を固く禁じます。


























