症例詳細
Case detail
【審美装置】前歯の凸凹、抜歯矯正
治療症例の内容
- 担当医
 - 河口智英(ドクタープロフィール)
 
- 患者様
 - 20代女性
 
- 治療期間
 - 2年1ヶ月
 
- 治療回数
 - 10-30回
 
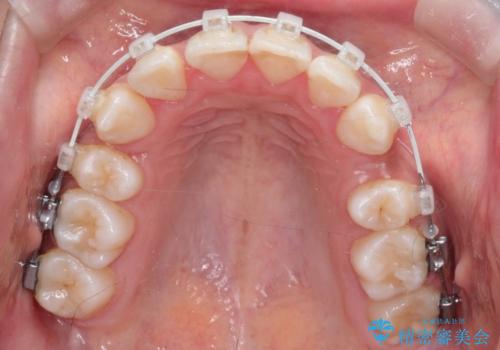
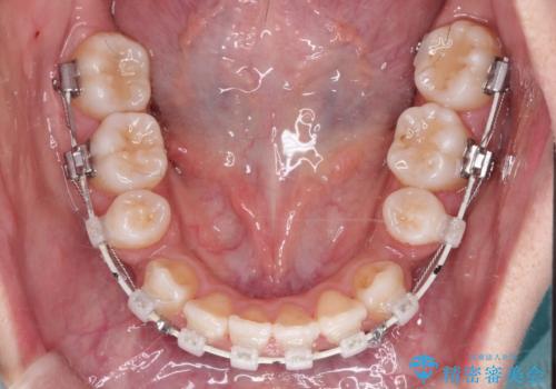
- 治療計画
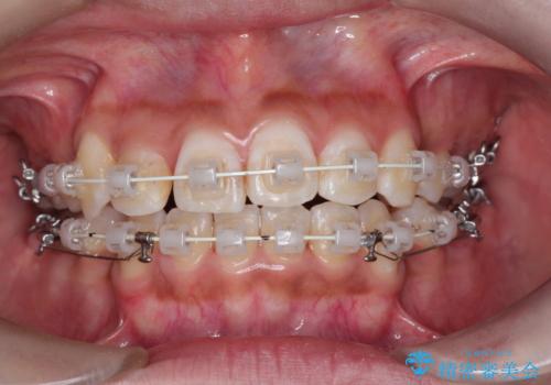
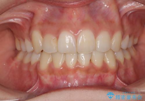
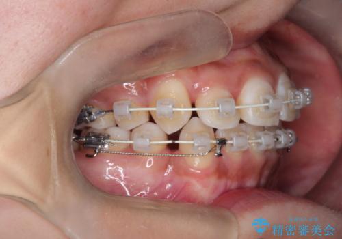
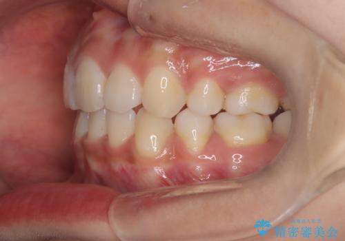
 - 前歯の凸凹を主訴に来院されました。
上下左右の小臼歯を抜歯する必要があったため、一番適した装置としてワイヤー装置を用いて治療を行いました。 
- 費用(概算)
 - 100万円費用は治療当時の料金となります
 
治療について
矯正後、口元も少し下がり患者様には満足していただけました。
ワイヤー矯正の注意事項(リスク・副作用など)
- 治療中は違和感や痛みが起こることがあります
 - 症状により、抜歯が必要な場合があります
 - 治療中は歯磨きがしにくくなるため、虫歯や歯周病になりやすくなります
 - 矯正治療後の保定が不十分だと後戻り(元の位置に戻ろうとする動き)をします
 - 自費診療(保険適用外)となります
 
当サイトの内容、テキスト、画像等の無断転載、複製、複写、盗用を固く禁じます。

                      
                                                          













