症例詳細
Case detail
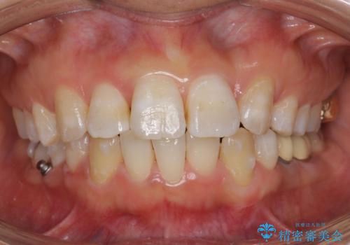
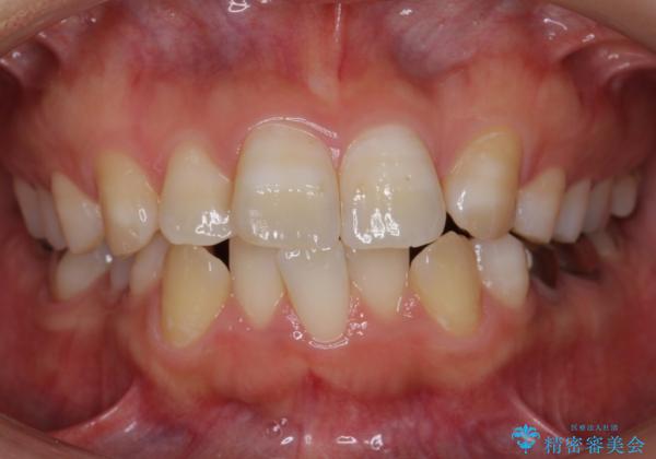
歯のがたつき インビザラインで矯正
- 患者様
- 30代女性
- 矯正装置
- インビザライン
- 治療期間
- 2年
- 治療回数
- 10-30回
- 治療計画
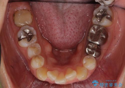
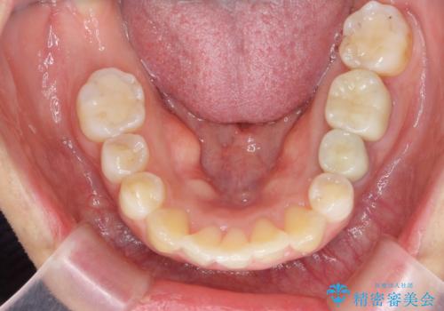
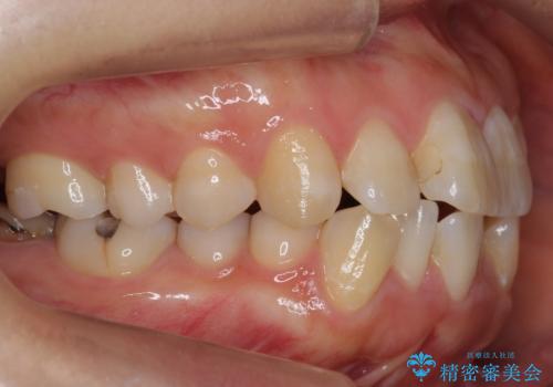
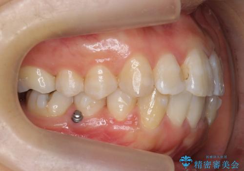
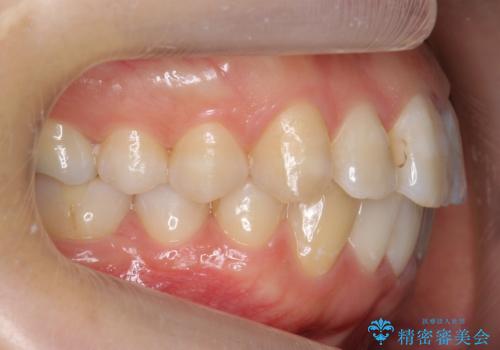
- 歯並びを主訴に来院。
左上2番は以前抜歯したとのこと。
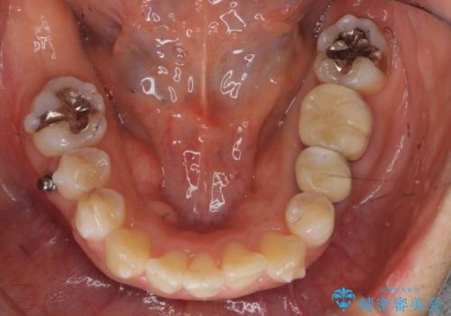
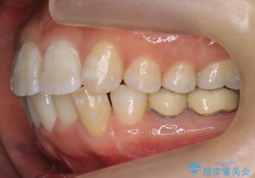
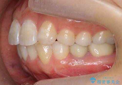
奥歯を後ろに下げて、前歯を並べています。
マウスピースと矯正用のミニスクリューを使用して治療しています。
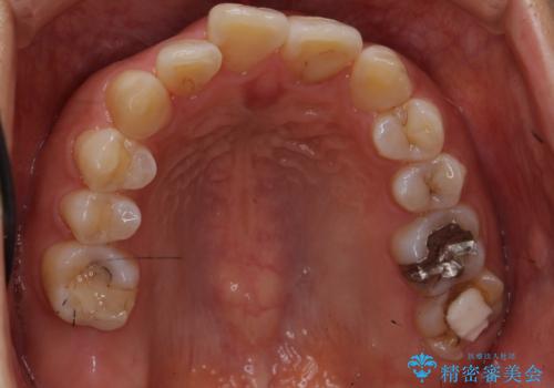
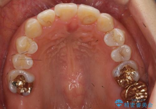
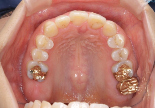
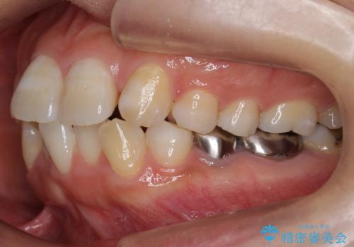
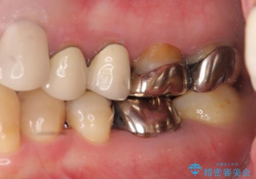
銀歯も白くということでしたので虫歯治療も一緒に行っています。
左上7の根の治療や左下56銀歯の治療なども行いました。
虫歯治療については以下のリンクをご覧ください。
https://seimitsushinbi.jp/case/115776/
- 費用(概算)
- 104.5万円(矯正費用のみ)費用は治療当時の料金となります
治療について
右下7は根管治療をおすすめしましたが、患者様のご希望により抜歯となり、そのスペースを利用して下の前歯をならべています。
マウスピース矯正の注意事項(リスク・副作用など)
- 口腔内・歯並びの状態によっては対応できない場合があります
- マウスピース型矯正装置の長時間装着(1日20時間以上)が必須です
- 治療計画通りに進めるためには、患者様の意志が重要になります
- 矯正治療後の保定が不十分だと後戻り(元の位置に戻ろうとする動き)をします
- 薬機法対象外の矯正歯科装置のため医薬品副作用被害救済制度の対象外となる場合があります
- 自費診療(保険適用外)となります
当サイトの内容、テキスト、画像等の無断転載、複製、複写、盗用を固く禁じます。















