症例詳細
Case detail
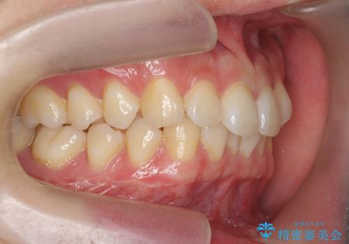
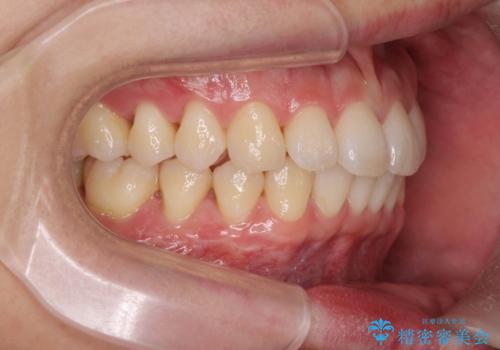
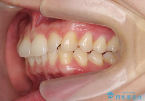
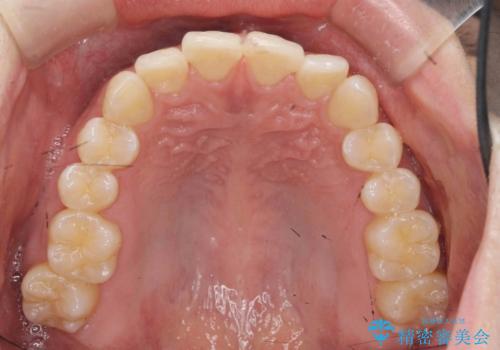
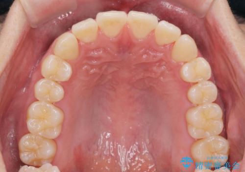
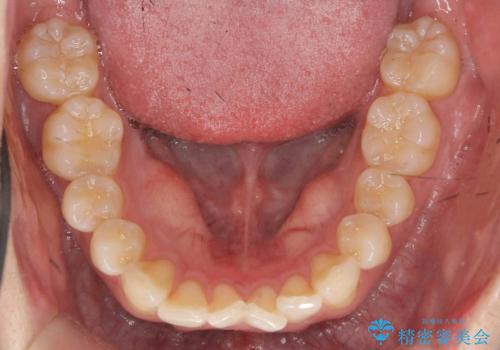
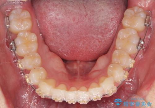
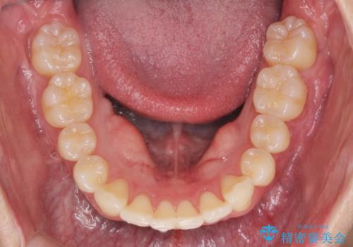
ワイヤー矯正がしたい
治療症例の内容
- 診療科目
- 担当医
- 大元洋佑(ドクタープロフィール)
- 患者様
- 20代男性
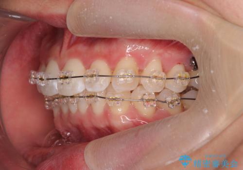
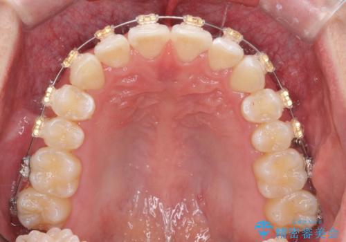
- 矯正装置
- ワイヤー
- 治療期間
- 10ヶ月
- 治療回数
- 10-30回
- 治療計画
- 取り外しの必要なマウスピース矯正ではなくワイヤー矯正を希望され来院されました。
マウスピース矯正、ワイヤー矯正どちらの方法でも治療は可能ですが、ご要望の通りワイヤー矯正で歯の排列を行っていきます。
- 費用(概算)
- 77万円費用は治療当時の料金となります
治療について
当院ではワイヤー、マウスピース矯正ともに取り扱いがあり、ライフスタイルや希望に応じて最適な治療方法を提案できるよう努めております。
ワイヤー矯正の注意事項(リスク・副作用など)
- 治療中は違和感や痛みが起こることがあります
- 症状により、抜歯が必要な場合があります
- 治療中は歯磨きがしにくくなるため、虫歯や歯周病になりやすくなります
- 矯正治療後の保定が不十分だと後戻り(元の位置に戻ろうとする動き)をします
- 自費診療(保険適用外)となります
当サイトの内容、テキスト、画像等の無断転載、複製、複写、盗用を固く禁じます。















