症例詳細
Case detail
変色している歯をとにかく白く 全顎セラミック治療
治療症例の内容
- 診療科目
- 担当医
- 藤巻太一朗(ドクタープロフィール)
- 患者様
- 30代女性
- 治療期間
- 3ヶ月
- 治療回数
- 2-5回
- 治療計画
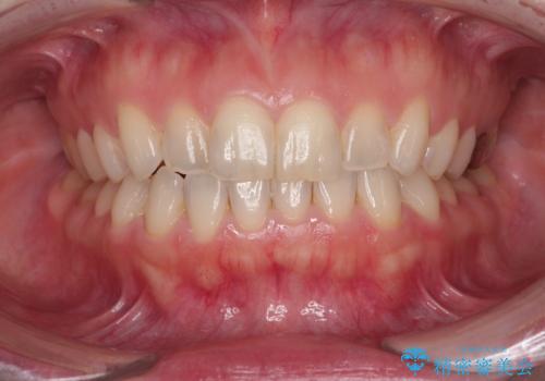
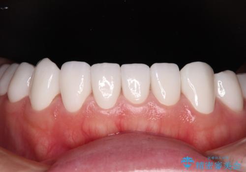
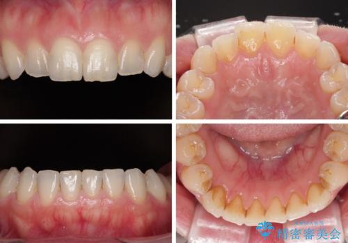
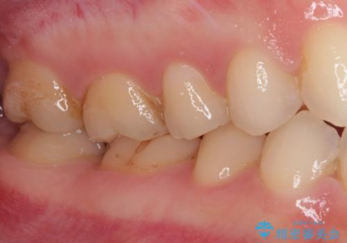
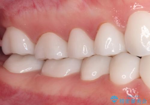
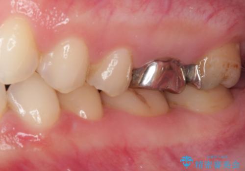
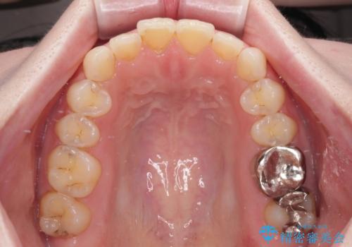
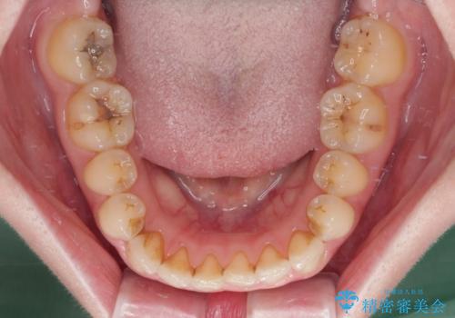
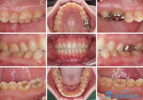
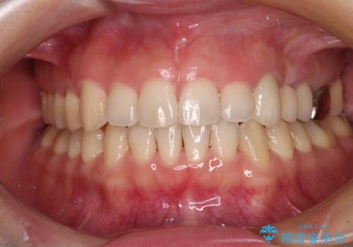
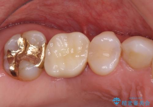
- 奥歯の銀歯をセラミックにしたいとのことで来院された患者様です。
当初は奥歯のみの治療をご希望でしたが、話を進めていくうちに、軽度ではあるものの、幼少期の薬の影響で歯が変色していることがコンプレックスであるということが分かりました。
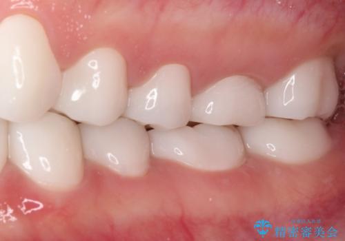
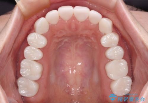
長年歯の色が塞ぎ込んでいた部分があるとのことで、これを機会に全ての歯を真っ白にするために、オールセラミッククラウンにて補綴治療を行うこととしました。
- 費用(概算)
- 治療費の目安: 280万円(税込)費用は治療当時の料金となります
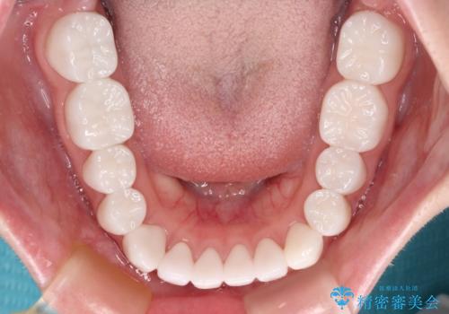
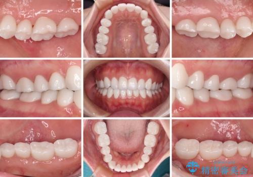
治療について
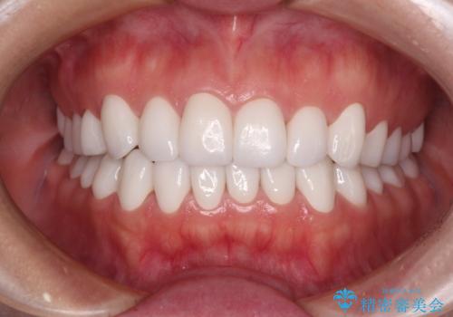
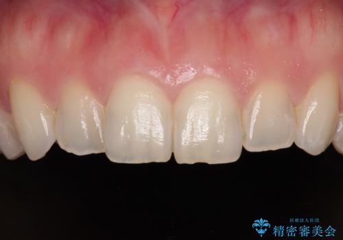
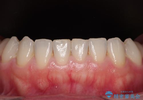
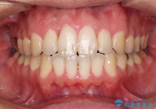
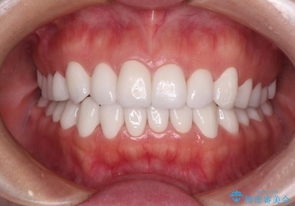
より白さが目立つように、自然な仕上がりではなく、作り物の雰囲気があるフルジルコニアクラウンにて補綴治療を行いました。
セラミック治療の注意事項(リスク・副作用など)
- 天然歯を削ります
- 硬い素材は天然歯を傷つけてしまう場合があります
- かみ合わせや歯ぎしりが強すぎる方はセラミックが割れてしまう可能性があります
- 自費診療(保険適用外治療)となります
当サイトの内容、テキスト、画像等の無断転載、複製、複写、盗用を固く禁じます。






















