症例詳細
Case detail
大学病院での治療に不満 仮歯はもっと綺麗にして欲しい
治療症例の内容
- 担当医
- 藤巻太一朗(ドクタープロフィール)
- 患者様
- 40代女性
- 治療期間
- 1年4ヶ月
- 治療回数
- 2-5回
- 治療計画
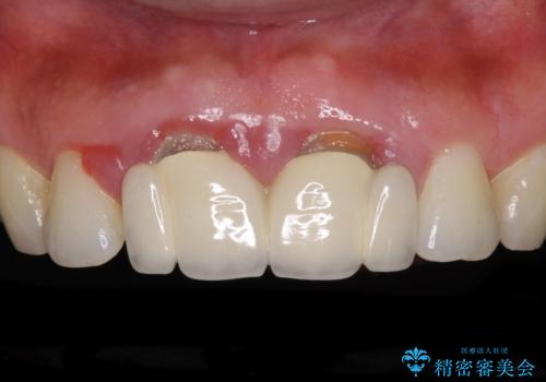
- 大学病院で治療を行っているものの、思うような結果が得られる気がしないとのことで来院された患者様です。
前歯や大臼歯を中心に、オールセラミッククラウンにて補綴することとしました。
- 費用(概算)
- 治療費の目安: 50万円(前歯)費用は治療当時の料金となります
治療を終えて
初診時にはまだ大学病院での治療を継続されており、根管治療の不備などが多く、再治療を行う必要がありました。
大変特徴のある前歯の色彩であり、周囲との調和は困難と思われましたが、完成してみるととても自然な口元となり、患者様には大変満足していただきました。
リスクについて
セラミックは破折などにより修復や再製作が必要となることがあります。
セラミック治療の注意事項(リスク・副作用など)
- 天然歯を削ります
- 硬い素材は天然歯を傷つけてしまう場合があります
- かみ合わせや歯ぎしりが強すぎる方はセラミックが割れてしまう可能性があります
- 自費診療(保険適用外治療)となります
当サイトの内容、テキスト、画像等の無断転載、複製、複写、盗用を固く禁じます。












