症例詳細
Case detail
【非抜歯】下の前歯が1本少ない場合の矯正治療
治療症例の内容
- 患者様
- 20代 女性
- 矯正装置
- マウスピース(インビザライン)
- 治療期間
- 11ヶ月
- 治療回数
- 10-30回
- 治療計画
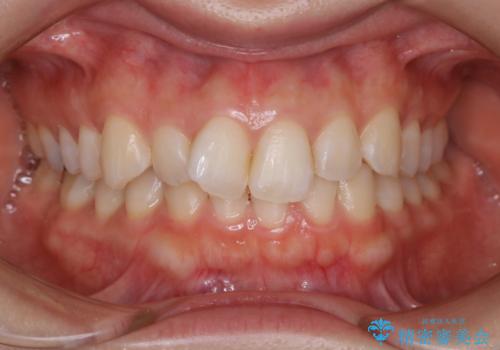
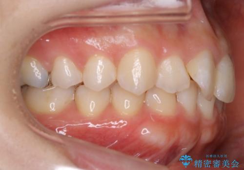
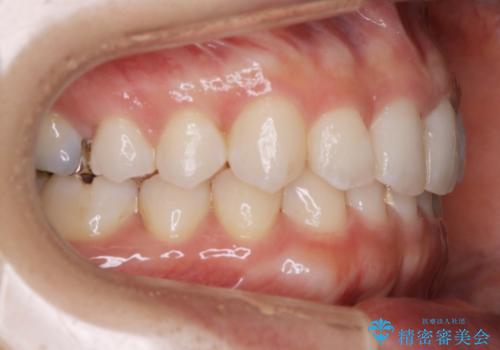
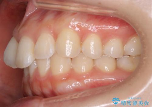
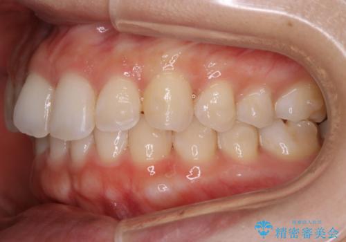
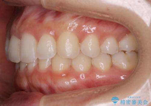
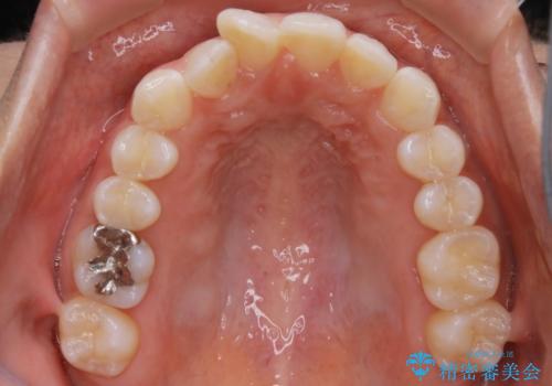
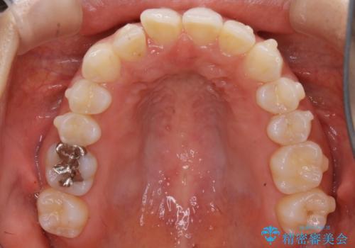
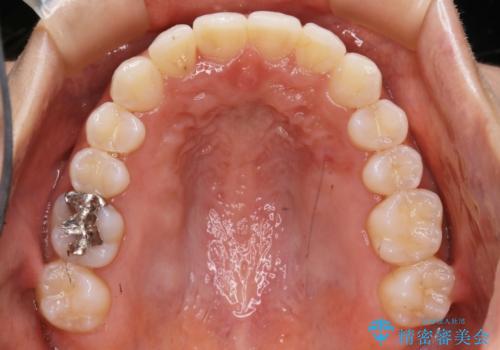
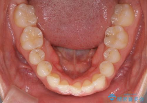
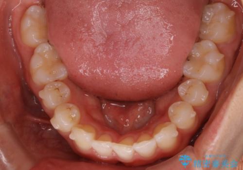
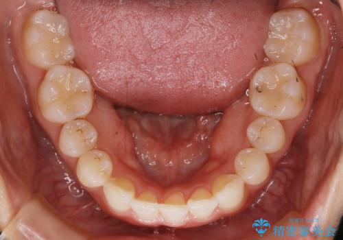
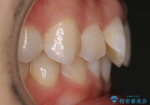
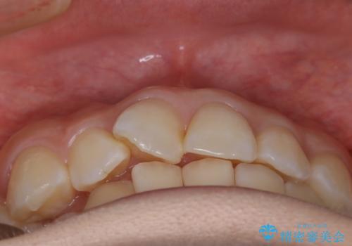
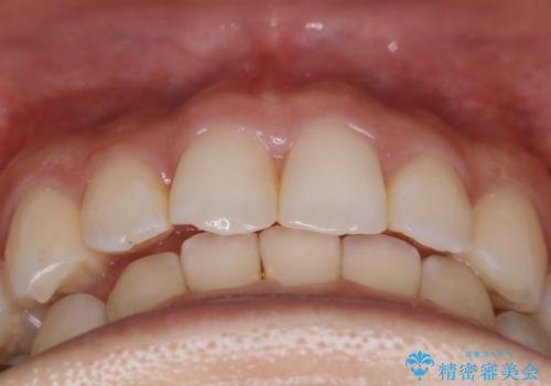
- 前歯のガタつきを主訴に来院されました。
生まれつき下の前歯が1本少なく、その分のスペースを上の前歯がガタつくことで埋めているという状況でした。
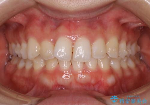
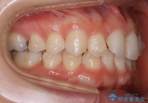
上下それぞれのガタつきをとっていく過程で、歯1本分のスペースの差を、上顎の前歯のIPRで調整して並べる方法をご提案させていただきました。
- 費用(概算)
- 税込 ¥880,000- (インビザライン コンプリヘンシブパッケージ)費用は治療当時の料金となります
先天欠如
稀に、乳歯が抜けてもその後に永久歯が生えてこないことがあります。生まれつき歯の元となる「歯胚」というものが欠如していることが原因で本数が少なくなることを「先天欠如」といいます。
こういったケースの治療では欠損している歯の本数分反対の顎の歯(上顎に欠損がある場合は下顎の歯)を抜歯してスペースの調整をする場合や、欠損歯の幅分のIPRを反対の顎の歯に設定することでスペースのコントロールをするという方法、欠損している歯の分のスペースを残して矯正を終了し最後にブリッジ治療やインプラントで歯の本数を増やすという方法があり、状況や患者さんの希望により選択をしていきます。
マウスピース矯正の注意事項(リスク・副作用など)
- 口腔内・歯並びの状態によっては対応できない場合があります
- マウスピース型矯正装置の長時間装着(1日20時間以上)が必須です
- 治療計画通りに進めるためには、患者様の意志が重要になります
- 矯正治療後の保定が不十分だと後戻り(元の位置に戻ろうとする動き)をします
- 薬機法対象外の矯正歯科装置のため医薬品副作用被害救済制度の対象外となる場合があります
- 自費診療(保険適用外)となります
当サイトの内容、テキスト、画像等の無断転載、複製、複写、盗用を固く禁じます。





















