症例詳細
Case detail
【抜歯】歯の先天欠如 歯の本数が上下で違う場合の治療
治療症例の内容
- 患者様
- 20代 女性
- 矯正装置
- マウスピース(インビザライン)
- 治療期間
- 1年3ヶ月
- 治療回数
- 10-30回
- 治療計画
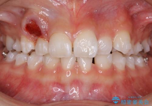
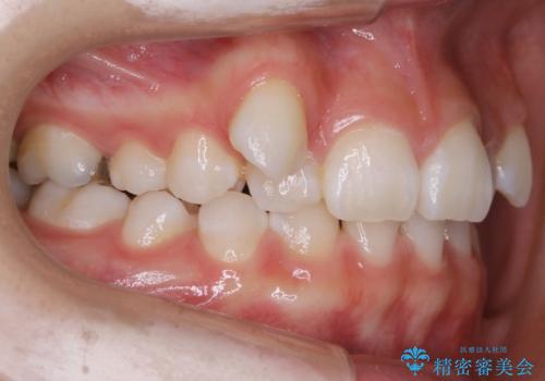
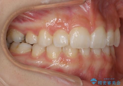
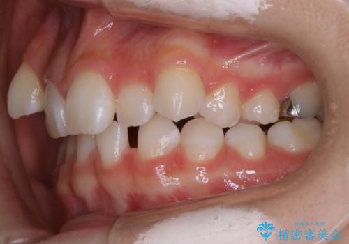
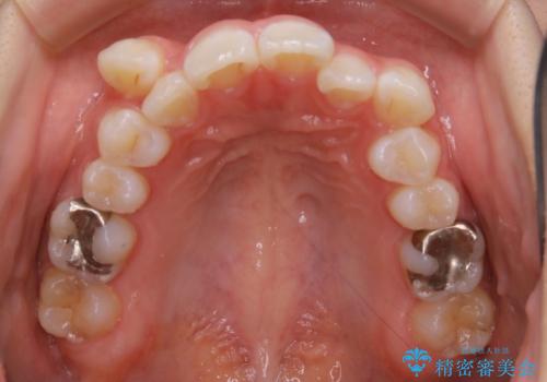
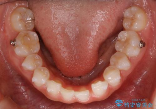
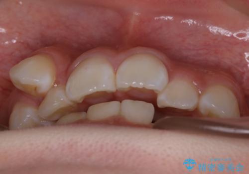
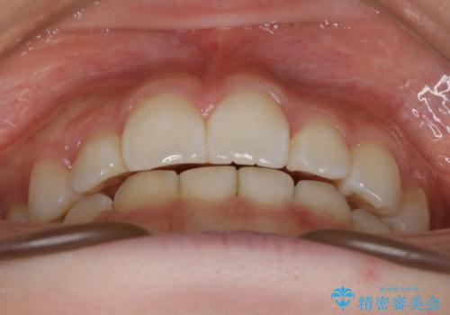
- 歯のガタつきを主訴にご来院されました。
ガタつきがあるだけでなく、元々永久歯が欠損している「先天欠如」で歯の本数が少なく噛み合わせ等も治療する必要がありました。
かなり特殊な状況からの矯正治療になるため抜歯する本数や位置、並んだあとのスペースのコントロールを慎重に計画し、マウスピース装置のインビザラインで治療を開始しました。
- 費用(概算)
- 税込 ¥880,000- (インビザライン コンプリヘンシブパッケージ)費用は治療当時の料金となります
先天欠如
稀に、乳歯が抜けてもその後に永久歯が生えてこないことがあります。生まれつき歯の元となる「歯胚」というものが欠如していることが原因で本数が少なることを「先天欠如」といいます。
こういったケースの治療では欠損している歯の本数分反対の顎の歯(上顎に欠損がある場合は下顎の歯)を抜歯してスペースの調整をする場合や、欠損歯の幅分のIPRを反対の顎の歯に設定することでスペースのコントロールをするという方法、欠損している歯の分のスペースを残して矯正を終了し最後にブリッジ治療やインプラントで歯の本数を増やすという方法があり、状況や患者さんの希望により選択をしていきます。
マウスピース矯正の注意事項(リスク・副作用など)
- 口腔内・歯並びの状態によっては対応できない場合があります
- マウスピース型矯正装置の長時間装着(1日20時間以上)が必須です
- 治療計画通りに進めるためには、患者様の意志が重要になります
- 矯正治療後の保定が不十分だと後戻り(元の位置に戻ろうとする動き)をします
- 薬機法対象外の矯正歯科装置のため医薬品副作用被害救済制度の対象外となる場合があります
- 自費診療(保険適用外)となります
当サイトの内容、テキスト、画像等の無断転載、複製、複写、盗用を固く禁じます。





















