症例詳細
Case detail
深い咬み合わせとデコボコの歯列をワイヤー矯正で改善
治療症例の内容
- 担当医
- 藤巻太一朗(ドクタープロフィール)
- 患者様
- 20代女性
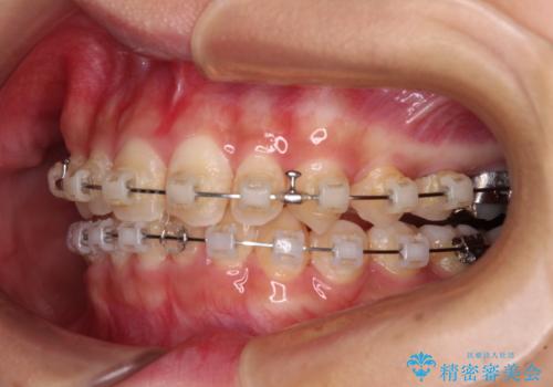
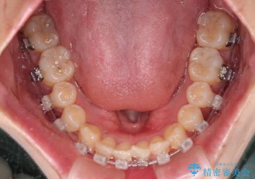
- 矯正装置
- クリアブラケット
- 治療期間
- 2年1ヶ月
- 治療回数
- 10-30回
- 治療計画
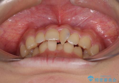
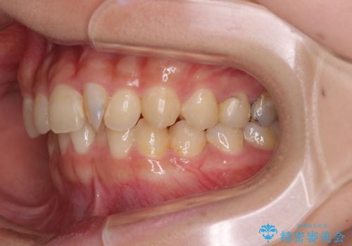
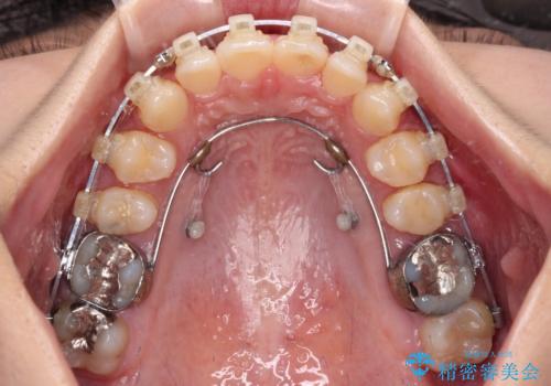
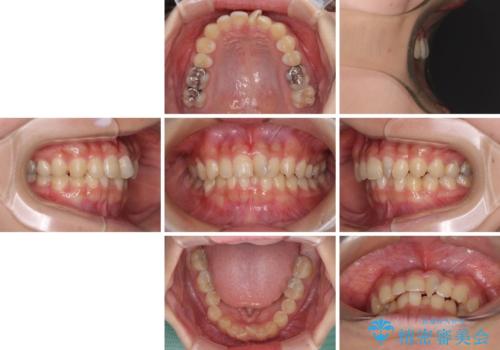
- 前歯のデコボコと深い咬み合わせを改善したいとのことで来院された患者様です。
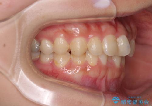
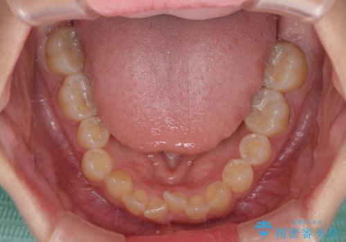
奥歯の咬み合わせは上顎に対して下顎が後方位にあり、上顎前歯で下顎前歯が隠れるような典型的な過蓋咬合です。
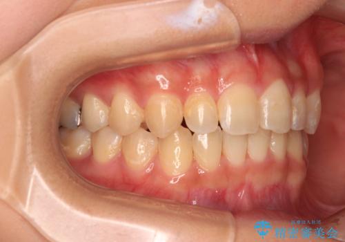
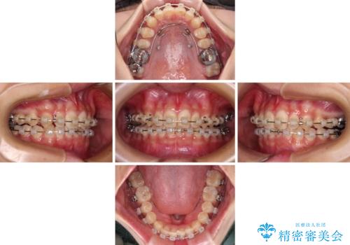
補助装置を用いて上顎大臼歯を後方に移動させながら、ワイヤー装置で歯列を整えて深い咬み合わせを挙上することとしました。
- 費用(概算)
- 治療費の目安: 100万円(税込)費用は治療当時の料金となります
治療について
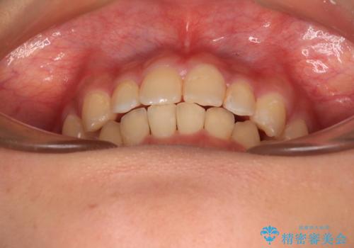
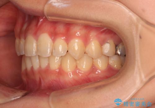
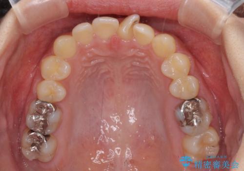
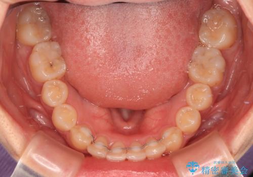
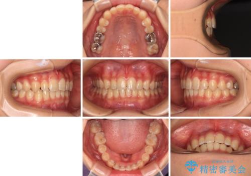
下顎の装置が頻繁に脱落し、治療は難航しましたが、当初予定の2年間で無事に治療を終えることができました。
ワイヤー矯正の注意事項(リスク・副作用など)
- 治療中は違和感や痛みが起こることがあります
- 症状により、抜歯が必要な場合があります
- 治療中は歯磨きがしにくくなるため、虫歯や歯周病になりやすくなります
- 矯正治療後の保定が不十分だと後戻り(元の位置に戻ろうとする動き)をします
- 自費診療(保険適用外)となります
当サイトの内容、テキスト、画像等の無断転載、複製、複写、盗用を固く禁じます。


























