症例詳細
Case detail
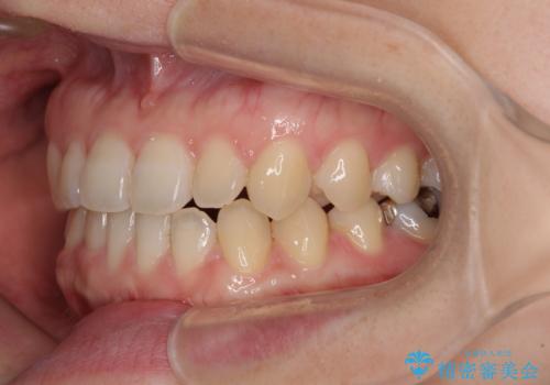
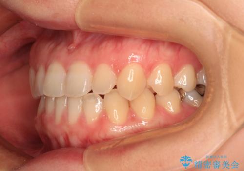
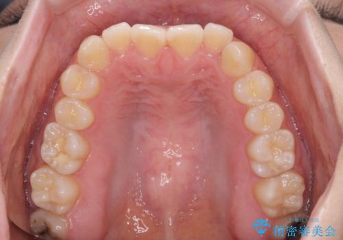
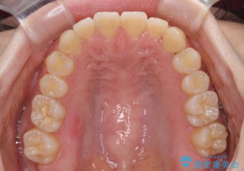
前歯のクロスバイト インビザラインによる矯正治療
治療症例の内容
- 担当医
- 藤巻太一朗(ドクタープロフィール)
- 患者様
- 30代女性
- 矯正装置
- インビザライン
- 治療期間
- 3年
- 治療回数
- 10-30回
- 治療計画
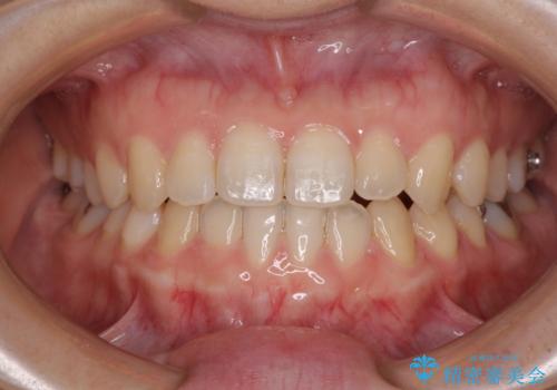
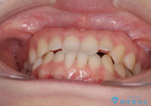
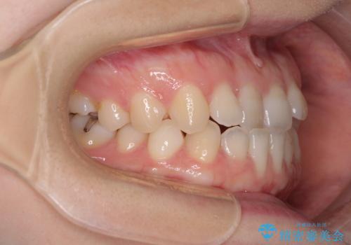
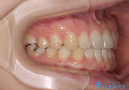
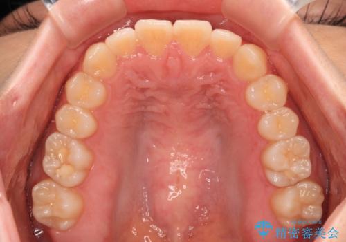
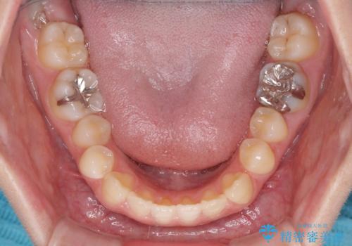
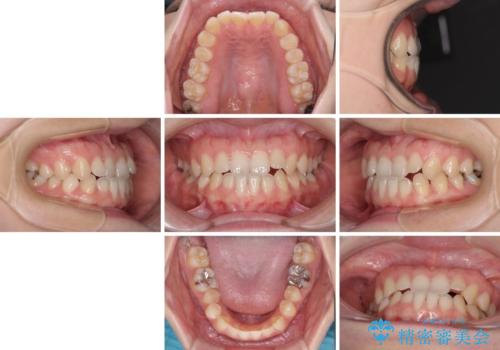
- 前歯のクロスバイトとデコボコを気にして来院された患者様です。
骨格的に下顎前突傾向であるため、自己管理が煩わしくないようであれば、インビザラインによる矯正治療がお勧めとなります。
インビザラインを用い、下顎歯列を後方に移動させながら全市の被蓋を改善し、歯並びを整えていくこととしました。
- 費用(概算)
- 治療費の目安: 90万円(税込)費用は治療当時の料金となります
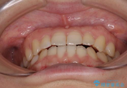
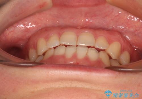
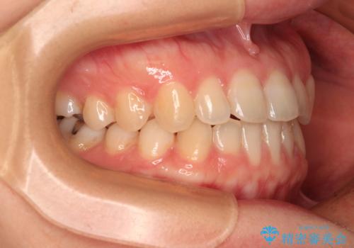
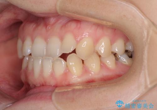
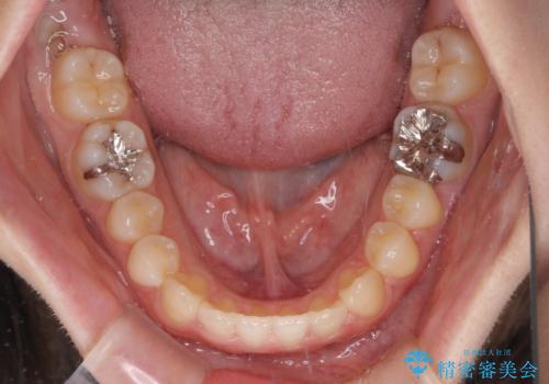
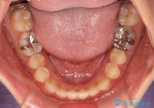
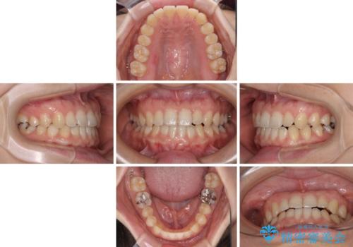
治療について
途中マウスピースが使用できず、来院されない期間があり、治療期間は長くかかりましたが、無事に治療を終えることができました。
マウスピース矯正の注意事項(リスク・副作用など)
- 口腔内・歯並びの状態によっては対応できない場合があります
- マウスピース型矯正装置の長時間装着(1日20時間以上)が必須です
- 治療計画通りに進めるためには、患者様の意志が重要になります
- 矯正治療後の保定が不十分だと後戻り(元の位置に戻ろうとする動き)をします
- 薬機法対象外の矯正歯科装置のため医薬品副作用被害救済制度の対象外となる場合があります
- 自費診療(保険適用外)となります
当サイトの内容、テキスト、画像等の無断転載、複製、複写、盗用を固く禁じます。



























