症例詳細
Case detail
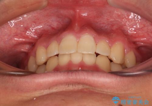
欠損した前歯とディープバイト ワイヤー矯正で短期間で治療
治療症例の内容
- 診療科目
- 担当医
- 藤巻太一朗(ドクタープロフィール)
- 患者様
- 10代男性
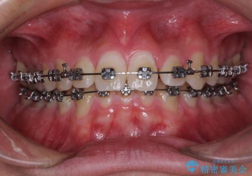
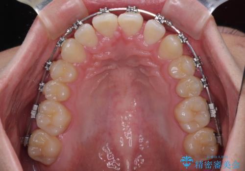
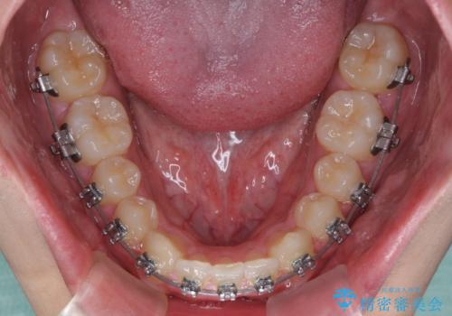
- 矯正装置
- メタルブラケット
- 治療期間
- 1年1ヶ月
- 治療回数
- 10-30回
- 治療計画
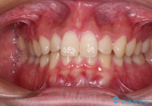
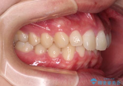
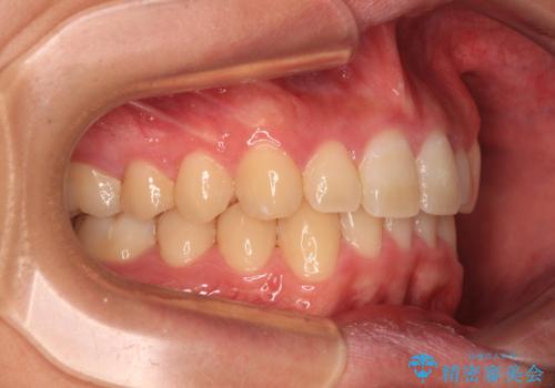
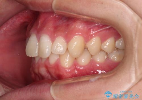
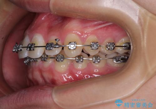
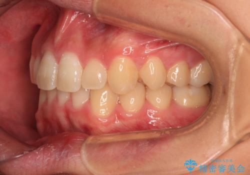
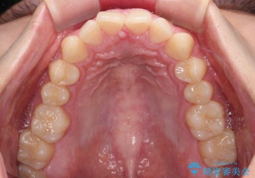
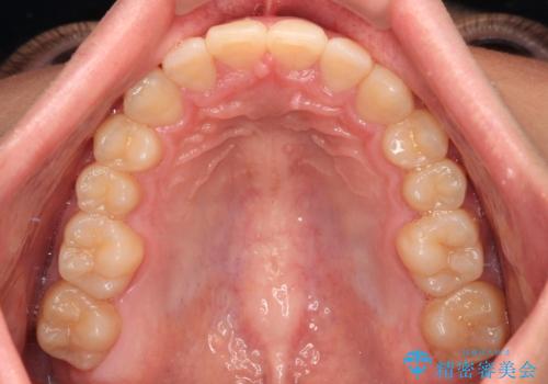
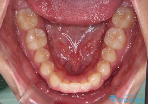
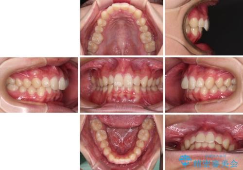
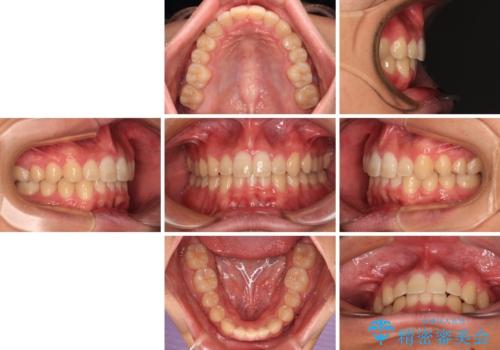
- 上下前歯のデコボコと深い咬み合わせを気にして来院された患者様です。
下顎前歯が一本欠損しており、下顎の歯列が小さいため、ディープバイトになりやすい状態でした。
ワイヤー矯正でもインビザライン矯正でも対応可能でしたが、インビザラインでの自己管理の煩わしさを避けるため、ワイヤー装置にて矯正治療を行うこととしました。
- 費用(概算)
- 治療費の目安: 80万円(税込)費用は治療当時の料金となります
治療について
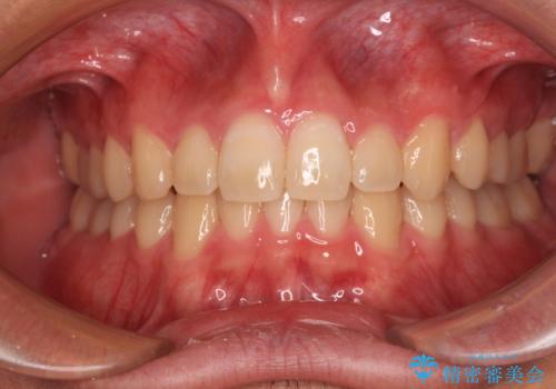
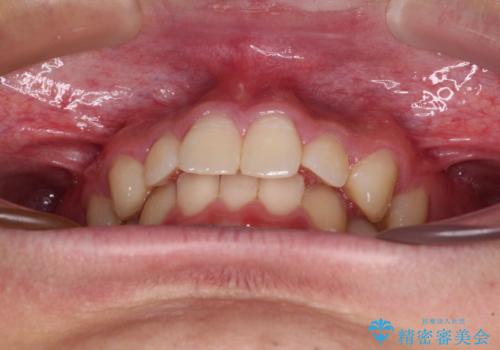
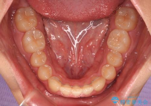
傾斜しいている大臼歯を立ち上げながら、下顎歯列を上顎に対して前方位となるように工夫し、デコボコを解消した上でディープバイトも改善することができました。
ワイヤー矯正の注意事項(リスク・副作用など)
- 治療中は違和感や痛みが起こることがあります
- 症状により、抜歯が必要な場合があります
- 治療中は歯磨きがしにくくなるため、虫歯や歯周病になりやすくなります
- 矯正治療後の保定が不十分だと後戻り(元の位置に戻ろうとする動き)をします
- 自費診療(保険適用外)となります
当サイトの内容、テキスト、画像等の無断転載、複製、複写、盗用を固く禁じます。


























