症例詳細
Case detail
歯槽堤保存を行ったブリッジ治療
治療症例の内容
- 診療科目
- 治療カテゴリ
- 担当医
- 大元洋佑(ドクタープロフィール)
- 患者様
- 40代女性
- 治療期間
- 6ヶ月
- 治療回数
- 2-5回
- 治療計画
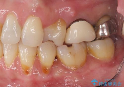
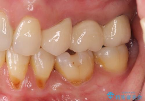
- 左上奥歯の違和感の改善を求めて来院されました。
詳しく診査したところ、歯の破折が認められたため抜歯が必要な状態です。
抜歯時に骨移植材を填入することで、抜歯後に大きく歯ぐきのボリュームが失われることを防ぎます。
歯ぐきのボリュームが保たれることで、清掃性の高いブリッジ治療を行うことが可能になります。
- 費用(概算)
- 50.6万円(ジルコニアクラウン×3・仮歯×3・歯槽堤保存術)費用は治療当時の料金となります
治療について
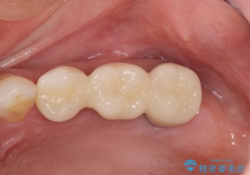
自然な仕上がりのブリッジ治療を達成することができ満足いただくことができました。
セラミック治療の注意事項(リスク・副作用など)
- 天然歯を削ります
- 硬い素材は天然歯を傷つけてしまう場合があります
- かみ合わせや歯ぎしりが強すぎる方はセラミックが割れてしまう可能性があります
- 自費診療(保険適用外治療)となります
当サイトの内容、テキスト、画像等の無断転載、複製、複写、盗用を固く禁じます。












