症例詳細
Case detail
骨格のずれをカムフラージュ クロスバイトのワイヤー矯正
治療症例の内容
- 診療科目
- 担当医
- 藤巻太一朗(ドクタープロフィール)
- 患者様
- 50代女性
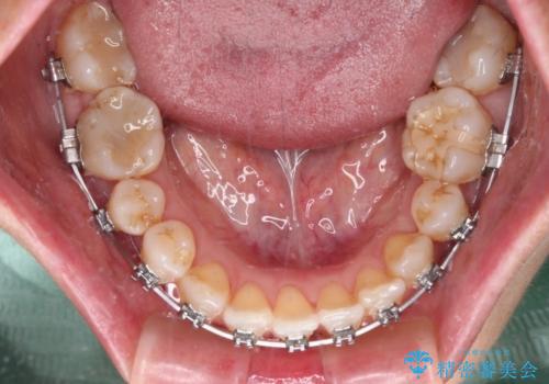
- 矯正装置
- メタルブラケット
- 治療期間
- 1年8ヶ月
- 治療回数
- 10-30回
- 治療計画
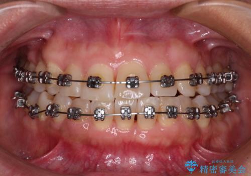
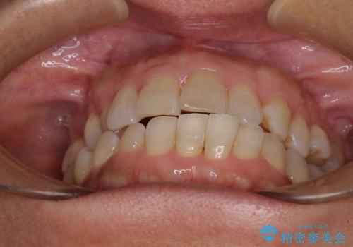
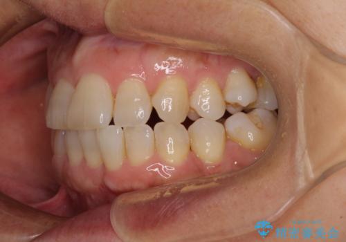
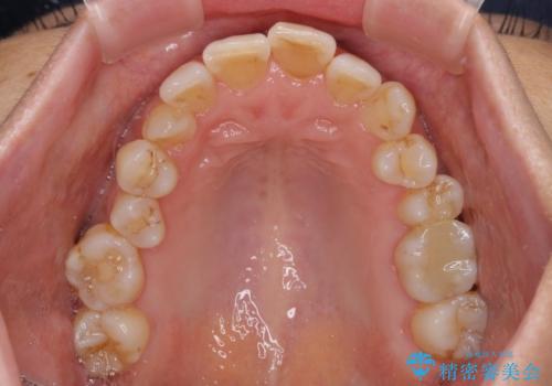
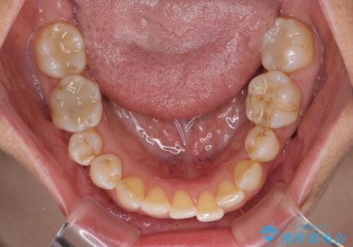
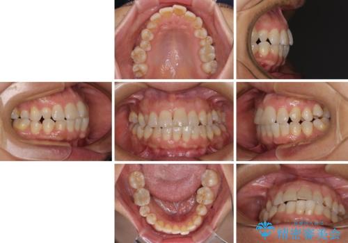
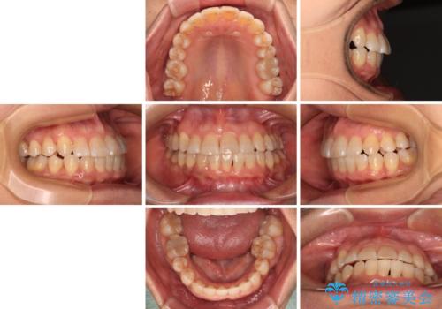
- 骨格的な咬み合わせのズレ、前歯のデコボコとクロスバイトを気にして来院された患者様です。
奥歯の噛みにくさが顕著なためマウスピースではなく、ワイヤー装置による矯正治療を行うこととしました。
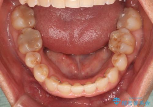
下顎の正中を歯1本分ずらした位置とすることで、外見上の骨格的なずれをカバーするように計画しました。
- 費用(概算)
- 治療費の目安: 80万円(税込)費用は治療当時の料金となります
治療について
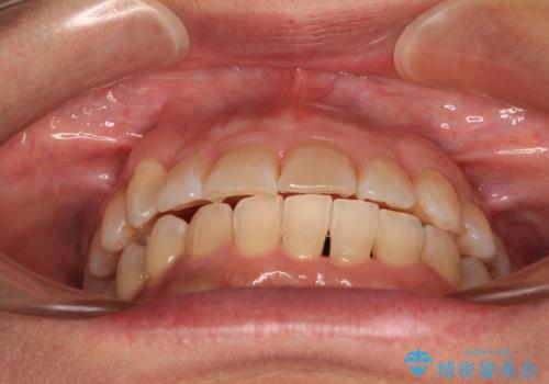
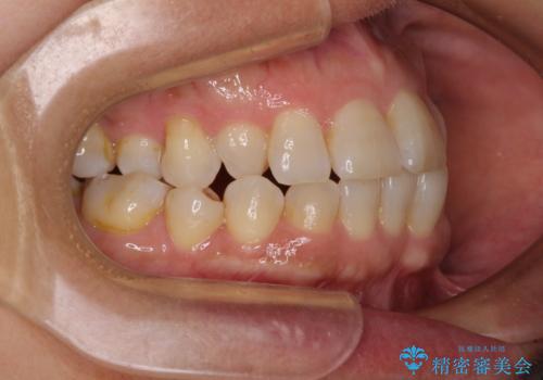
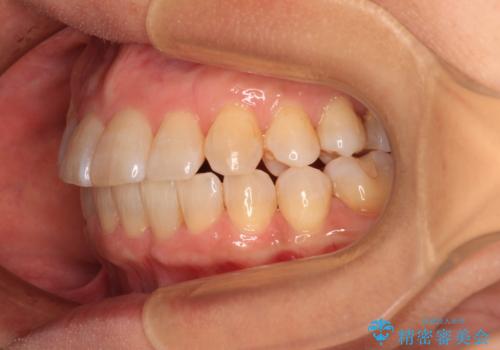
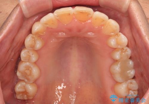
クロスバイトを改善したことで、前歯の負担が軽減し、安定して噛めるようになりました。
ワイヤー矯正の注意事項(リスク・副作用など)
- 治療中は違和感や痛みが起こることがあります
- 症状により、抜歯が必要な場合があります
- 治療中は歯磨きがしにくくなるため、虫歯や歯周病になりやすくなります
- 矯正治療後の保定が不十分だと後戻り(元の位置に戻ろうとする動き)をします
- 自費診療(保険適用外)となります
当サイトの内容、テキスト、画像等の無断転載、複製、複写、盗用を固く禁じます。


























