症例詳細
Case detail
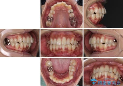
ワイヤー装置の抜歯矯正で横顔の口元の印象をすっきりと
治療症例の内容
- 患者様
- 30代女性
- 矯正装置
- 審美装置
- 治療期間
- 2年5ヶ月
- 治療回数
- 10-30回
- 治療計画
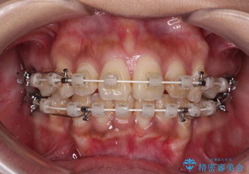
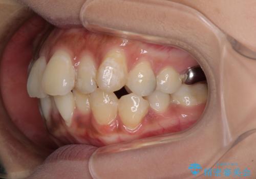
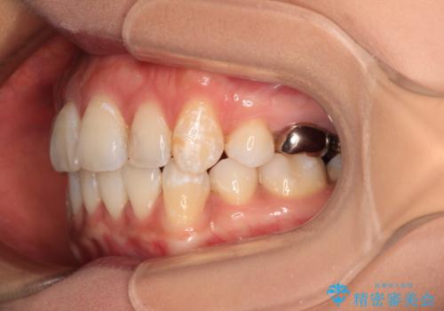
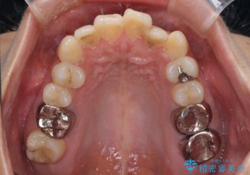
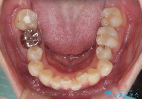
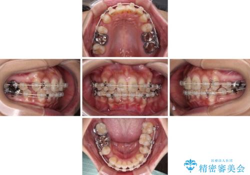
- 口元の閉じにくさを気にして来院された患者様です。
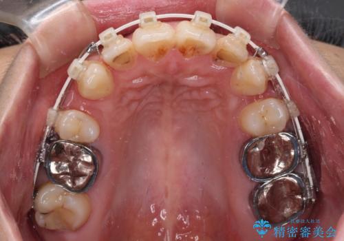
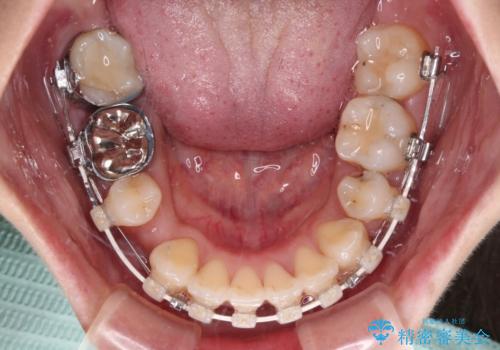
上下ともに歯列が前方に突出していたため、上下左右の第一小臼歯4本を抜去し、ワイヤー装置による矯正治療を行うこととしました。
舌の突出癖による影響もあったため、舌のトレーニングを並行して実施しました。
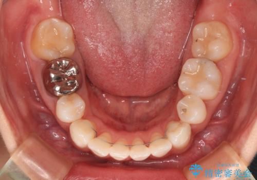
左下奥歯にむし歯が認められるため、矯正治療後にセラミックインレーにて修復治療を行うこととしました。
- 費用(概算)
- 治療費の目安: 115万円(税込)費用は治療当時の料金となります
治療について
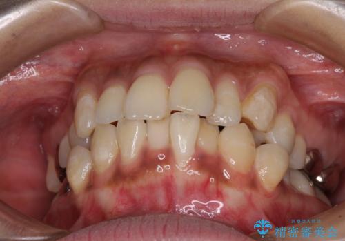
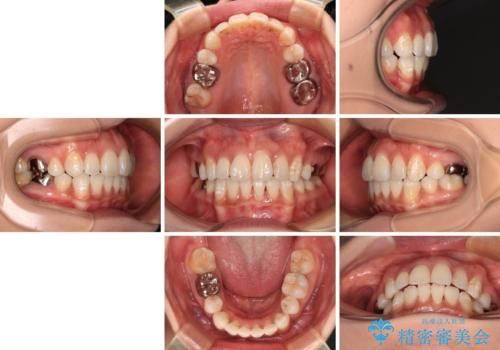
4本の歯を抜歯したことで、飛び出していた口元が引っ込み、横顔が大きく改善されました。
ワイヤー矯正の注意事項(リスク・副作用など)
- 治療中は違和感や痛みが起こることがあります
- 症状により、抜歯が必要な場合があります
- 治療中は歯磨きがしにくくなるため、虫歯や歯周病になりやすくなります
- 矯正治療後の保定が不十分だと後戻り(元の位置に戻ろうとする動き)をします
- 自費診療(保険適用外)となります
セラミック治療の注意事項(リスク・副作用など)
- 天然歯を削ります
- 硬い素材は天然歯を傷つけてしまう場合があります
- かみ合わせや歯ぎしりが強すぎる方はセラミックが割れてしまう可能性があります
- 自費診療(保険適用外治療)となります
当サイトの内容、テキスト、画像等の無断転載、複製、複写、盗用を固く禁じます。


























