症例詳細
Case detail
奥歯のむし歯を治したい セラミッククラウンによる補綴治療
治療症例の内容
- 診療科目
- 担当医
- 藤巻太一朗(ドクタープロフィール)
- 患者様
- 30代女性
- 治療期間
- 4ヶ月
- 治療回数
- 2-5回
- 治療計画
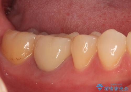
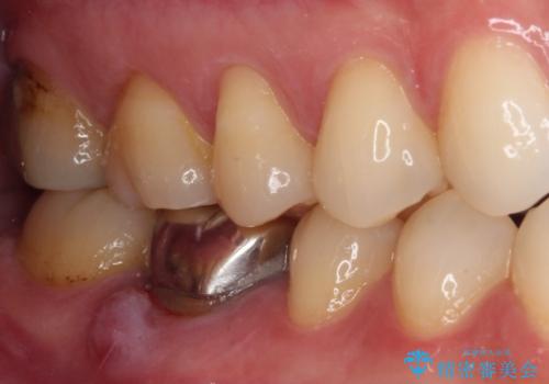
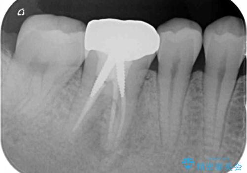
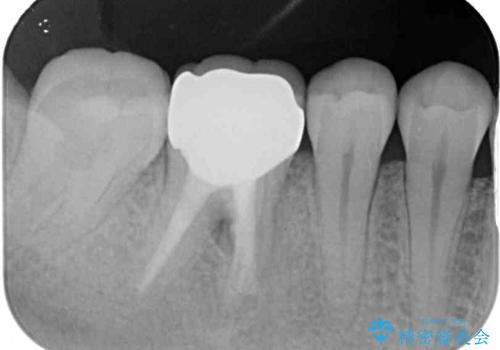
- 右下の奥歯の歯茎が腫れているとのことで来院された患者様です。
銀のクラウンが装着されていた歯は根管治療が必要であり、その奥の歯は大きな詰め物の隙間が虫歯になってしみていました。
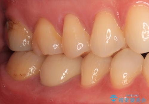
根管治療などを行った後に、オールセラミッククラウンにて補綴することとしました。
- 費用(概算)
- 治療費の目安: 30万円(税込)費用は治療当時の料金となります
治療について
腫れていた歯茎は根管治療後に解消され、適合の良いセラミッククラウンを装着することができました。
セラミック治療の注意事項(リスク・副作用など)
- 天然歯を削ります
- 硬い素材は天然歯を傷つけてしまう場合があります
- かみ合わせや歯ぎしりが強すぎる方はセラミックが割れてしまう可能性があります
- 自費診療(保険適用外治療)となります
当サイトの内容、テキスト、画像等の無断転載、複製、複写、盗用を固く禁じます。










