症例詳細
Case detail
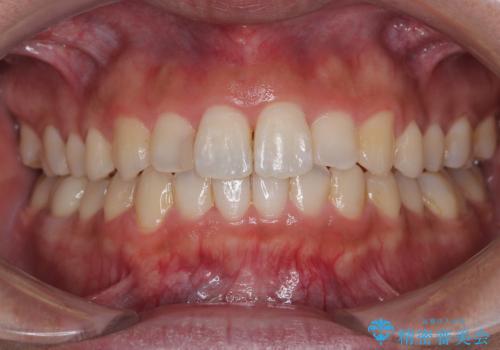
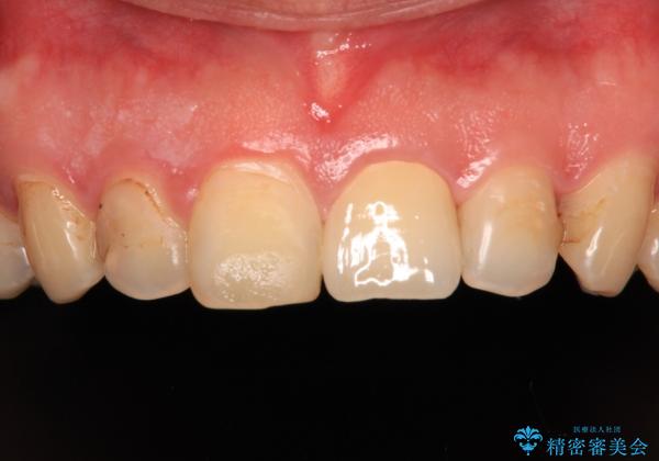
つぎはぎだらけの前歯をオールセラミッククラウンで自然な前歯に
治療症例の内容
- 診療科目
- 担当医
- 藤巻太一朗(ドクタープロフィール)
- 患者様
- 20代男性
- 治療期間
- 4ヶ月
- 治療回数
- 2-5回
- 治療計画
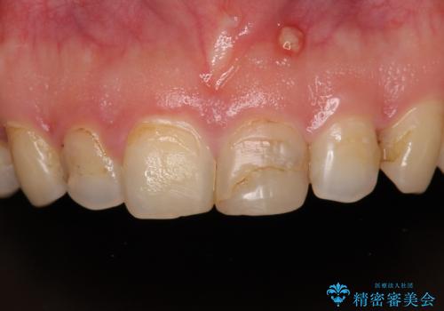
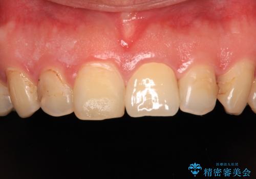
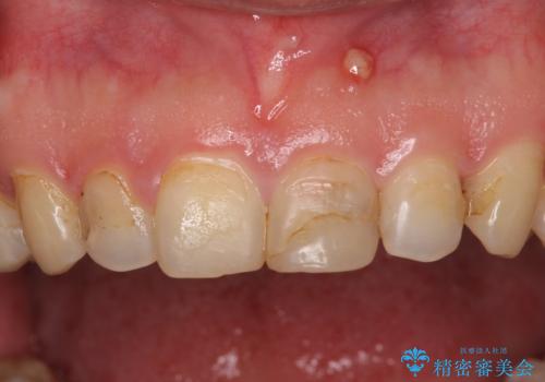
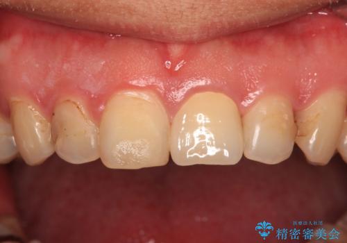
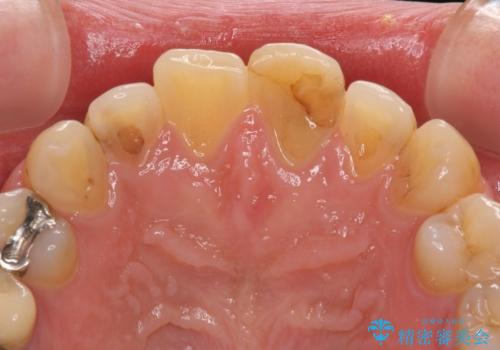
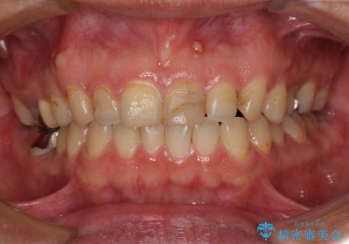
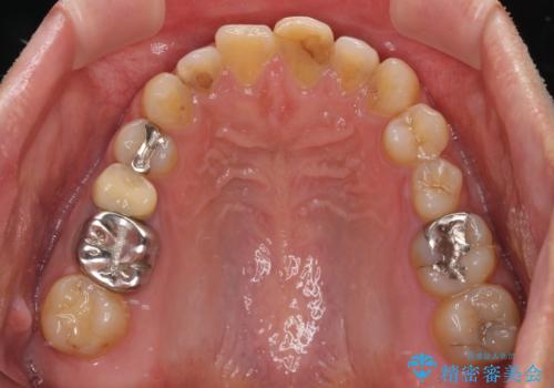
- 前歯の色を気にして来院された患者様です。
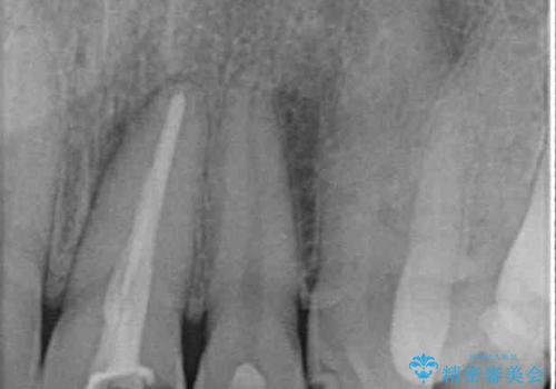
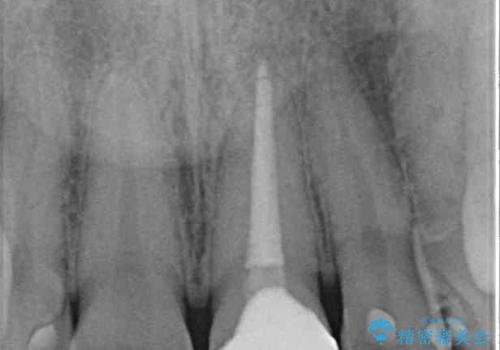
むし歯で神経が取り除かれており、歯の変色と充填材の変色などにより、つぎはぎのような前歯となっていました。
膿の出口も認められたため、まずは根管治療を実施し、オールセラミッククラウンにて補綴治療を行うこととしました。
- 費用(概算)
- 治療費の目安: 30万円(税込)費用は治療当時の料金となります
治療について
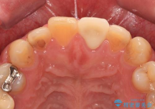
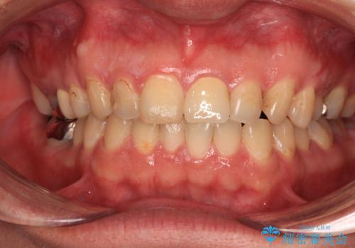
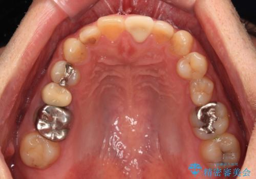
汚れがつきやすい状態のため、今後も継続してクリーニングを行っていく必要があります。
セラミック治療の注意事項(リスク・副作用など)
- 天然歯を削ります
- 硬い素材は天然歯を傷つけてしまう場合があります
- かみ合わせや歯ぎしりが強すぎる方はセラミックが割れてしまう可能性があります
- 自費診療(保険適用外治療)となります
根管治療の注意事項(リスク・副作用など)
- 根管治療により類似の全ての症例の問題が解決するわけではなく、症例はあくまでも一例です
- 根管治療により痛みや腫れがひかない事や、術後に痛みや腫れが生じる事、治療によるファイル破折やパーフォレーションなどの偶発症、術後の歯根破折を生じる可能性もあります
- 自費診療(保険適用外)となります
当サイトの内容、テキスト、画像等の無断転載、複製、複写、盗用を固く禁じます。












