症例詳細
Case detail
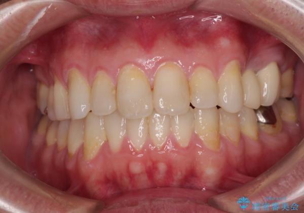
内側に転位した歯とボロボロのむし歯 インビザラインによる矯正治療とむし歯治療
治療症例の内容
- 患者様
- 30代男性
- 矯正装置
- インビザライン
- 治療期間
- 4年
- 治療回数
- 10-30回
- 治療計画
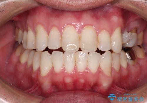
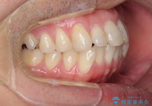
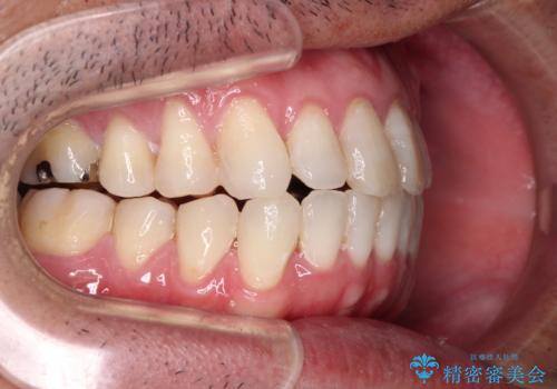
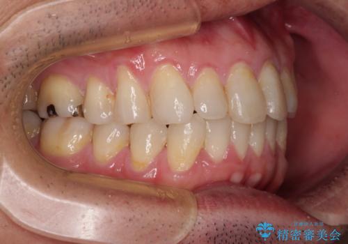
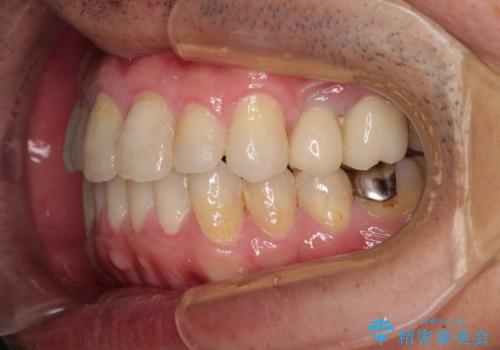
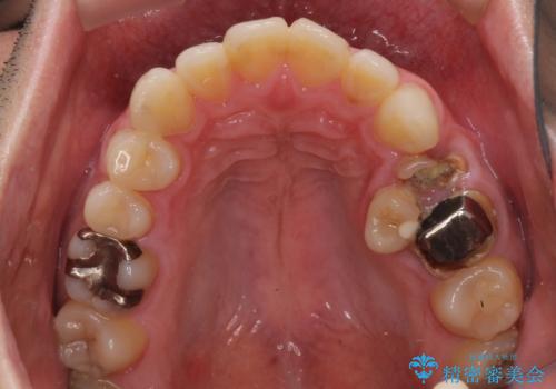
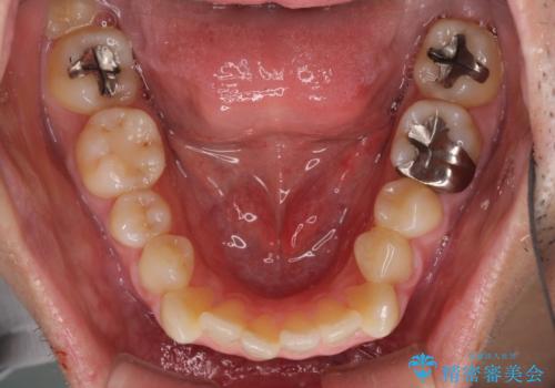
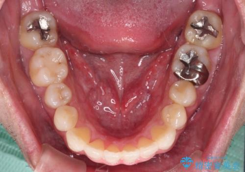
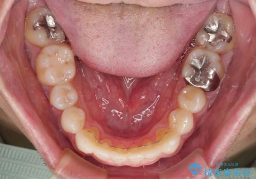
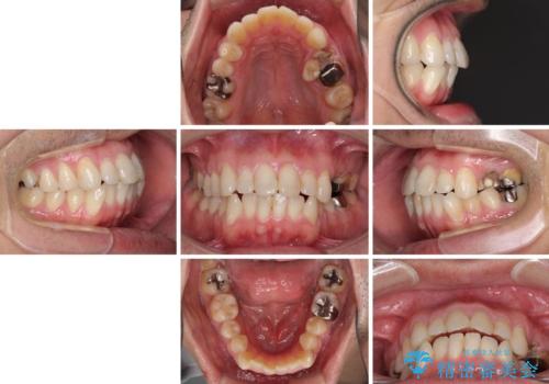
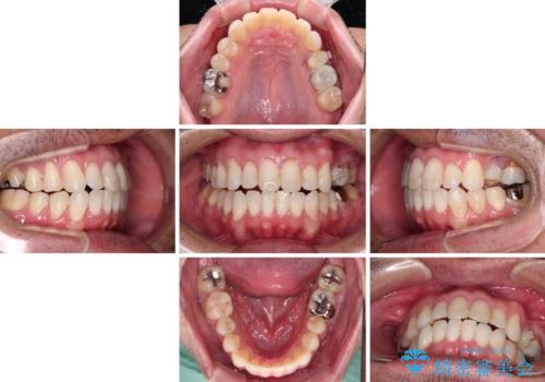
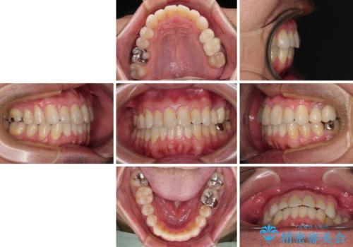
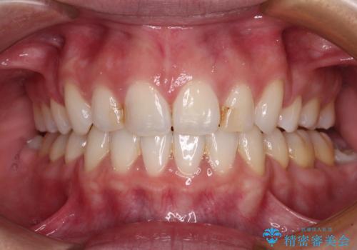
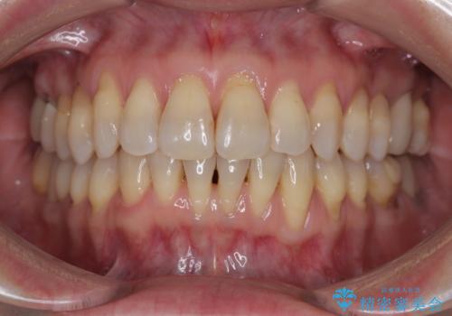
- ボロボロのむし歯とデコボコの歯列を気にして来院された患者様です。
ボロボロとなっていた歯は抜歯が必要な状態でしたが、舌側転位している歯を移動させることで抜歯スペースを埋めることができるため、矯正治療により歯列を整えることとしました。
舌側転位の改善にインビザラインを用いるのはやや難易度が高くなりますが、前歯部のデコボコは軽度であったため、インビザラインによる矯正治療を行うこととしました。
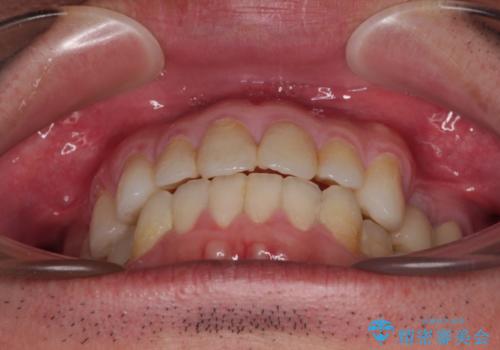
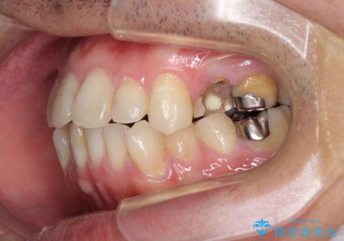
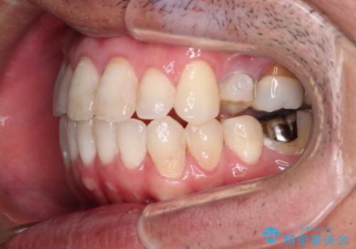
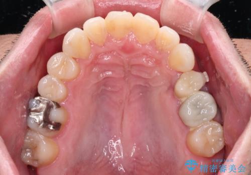
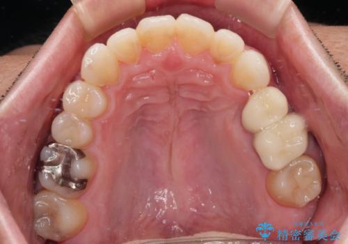
矯正治療後には抜歯が必要な歯に隣接してむし歯となっていた歯をオールセラミッククラウンにて補綴治療を行うこととしました。
- 費用(概算)
- 治療費の目安: 140万円(税込)費用は治療当時の料金となります
治療について
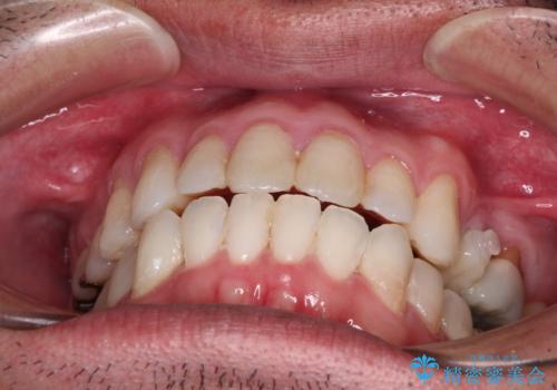
矯正治療開始時に、インビザライン矯正の加速装置を購入されましたが、インビザライン自体をあまりしっかりと使用できず、4年間の治療期間となりました。
セラミック治療の注意事項(リスク・副作用など)
- 天然歯を削ります
- 硬い素材は天然歯を傷つけてしまう場合があります
- かみ合わせや歯ぎしりが強すぎる方はセラミックが割れてしまう可能性があります
- 自費診療(保険適用外治療)となります
マウスピース矯正の注意事項(リスク・副作用など)
- 口腔内・歯並びの状態によっては対応できない場合があります
- マウスピース型矯正装置の長時間装着(1日20時間以上)が必須です
- 治療計画通りに進めるためには、患者様の意志が重要になります
- 矯正治療後の保定が不十分だと後戻り(元の位置に戻ろうとする動き)をします
- 薬機法対象外の矯正歯科装置のため医薬品副作用被害救済制度の対象外となる場合があります
- 自費診療(保険適用外)となります
当サイトの内容、テキスト、画像等の無断転載、複製、複写、盗用を固く禁じます。



























