症例詳細
Case detail
【モニター】ディープバイトを治す ワイヤー装置による矯正治療
治療症例の内容
- 診療科目
- 担当医
- 藤巻太一朗(ドクタープロフィール)
- 患者様
- 20代女性
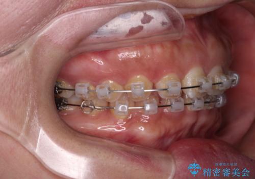
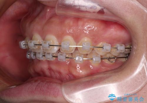
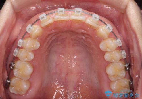
- 矯正装置
- クリアブラケット
- 治療期間
- 2年1ヶ月
- 治療回数
- 10-30回
- 治療計画
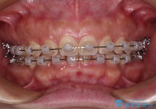
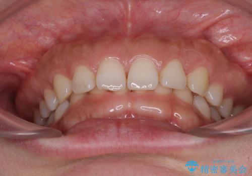
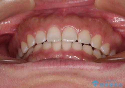
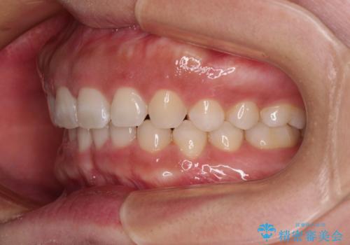
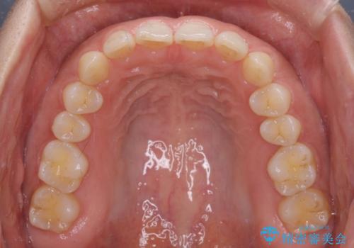
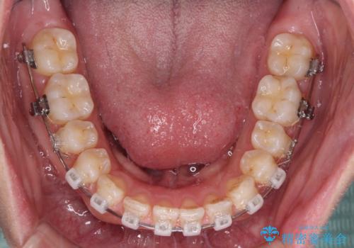
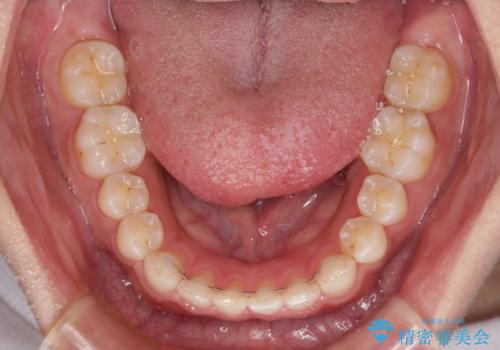
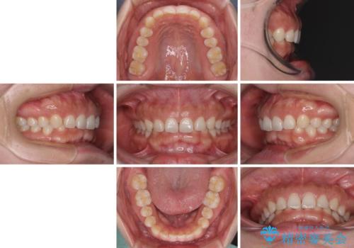
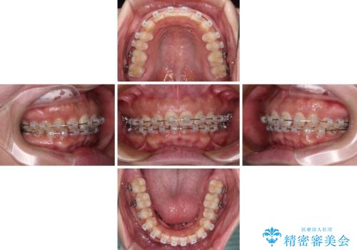
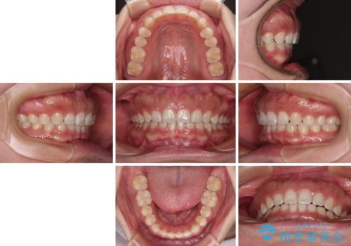
- 顎が疲れるほどのディープバイトを気にして来院された患者様です。
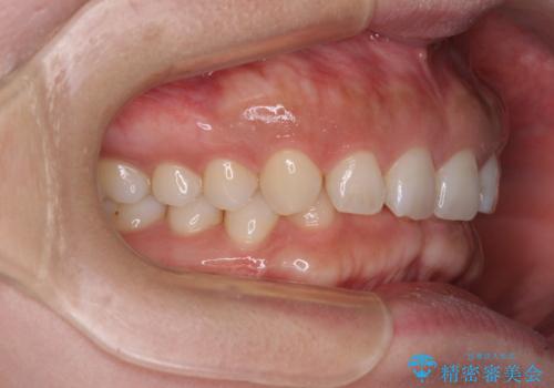
手前に傾斜している奥歯を直立させながら、歯列全体の平面を均一に整えることでディープバイトを改善していくこととしました。
ディープバイトは咬合力が強いことが特徴であり、より良い仕上がりとするために、臼歯部のコントロールを行いやすいワイヤー装置を用いて矯正治療を行うこととしました。
- 費用(概算)
- 治療費の目安: 85万円(税込)費用は治療当時の料金となります
※顔写真掲載にあたり、患者様の了解を得ております
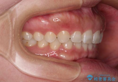
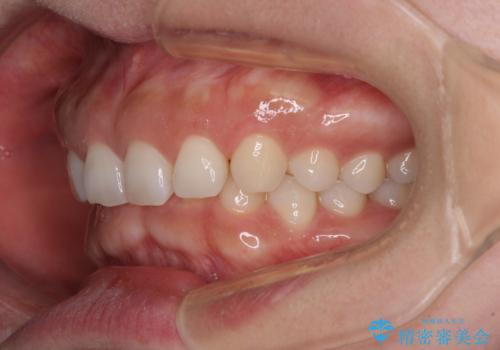
治療について
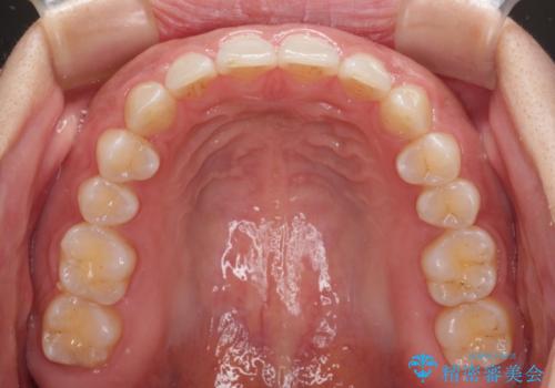
ディープバイトが改善されたことで、食いしばりしかできなかった状態からスムーズな歯ぎしりができるようになりました。
ワイヤー矯正の注意事項(リスク・副作用など)
- 治療中は違和感や痛みが起こることがあります
- 症状により、抜歯が必要な場合があります
- 治療中は歯磨きがしにくくなるため、虫歯や歯周病になりやすくなります
- 矯正治療後の保定が不十分だと後戻り(元の位置に戻ろうとする動き)をします
- 自費診療(保険適用外)となります
当サイトの内容、テキスト、画像等の無断転載、複製、複写、盗用を固く禁じます。
























