症例詳細
Case detail
歯茎が薄い方へのインビザライン治療、歯肉退縮予防
- 患者様
- 30代女性
- 矯正装置
- インビザライン
- 治療期間
- 1年6ヶ月
- 治療回数
- 10-30回
- 治療計画
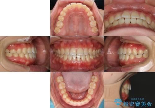
- やや受け口なのと、下の歯の隙間が気になるとのことで来院された患者様です。
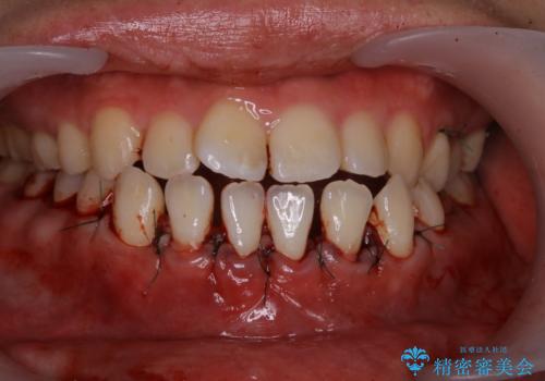
下の前歯の歯茎がとても薄く、このままでは歯茎が下がってしまうリスクがありました。
また、オープンバイト(開咬)もありました。
- 費用(概算)
- 100万円費用は治療当時の料金となります
治療について
下の前歯は根の形がわかるくらい歯茎と骨がうすく、このままでは歯肉退縮のリスクがあります。
そのため、矯正治療の前に歯茎の移植と骨の再生治療を行うことにしました。
矯正治療と歯茎移植、骨の再生治療の組み合わせについて
手術を矯正前にすることで歯が動きやすくなり、より歯茎の退縮のリスクを減らすことができます。また歯が動きやすくなることを利用して加速矯正を行うことも可能になります。
加速矯正治療について
当院では、加速矯正を行うための手段として、
・光加速装置を使用して行う
・加速のための手術を行う
以上の二つを行っております。
マウスピース矯正の注意事項(リスク・副作用など)
- 口腔内・歯並びの状態によっては対応できない場合があります
- マウスピース型矯正装置の長時間装着(1日20時間以上)が必須です
- 治療計画通りに進めるためには、患者様の意志が重要になります
- 矯正治療後の保定が不十分だと後戻り(元の位置に戻ろうとする動き)をします
- 薬機法対象外の矯正歯科装置のため医薬品副作用被害救済制度の対象外となる場合があります
- 自費診療(保険適用外)となります
外科処置の注意事項(リスク・副作用など)
- 外科手術のため、術後に出血、痛みや腫れ、違和感を伴います
- 口腔内の状態によっては適応できないことがあります
当サイトの内容、テキスト、画像等の無断転載、複製、複写、盗用を固く禁じます。










