症例詳細
Case detail
気になる歯列不正とむし歯を治療 インビザライン治療と虫歯治療
治療症例の内容
- 患者様
 - 30代女性
 
- 矯正装置
 - インビザライン
 
- 治療期間
 - 1年6ヶ月
 
- 治療回数
 - 10-30回
 
- 治療計画
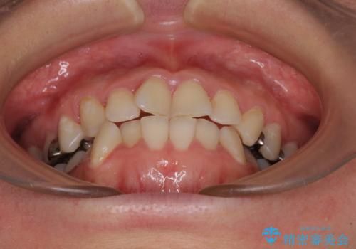
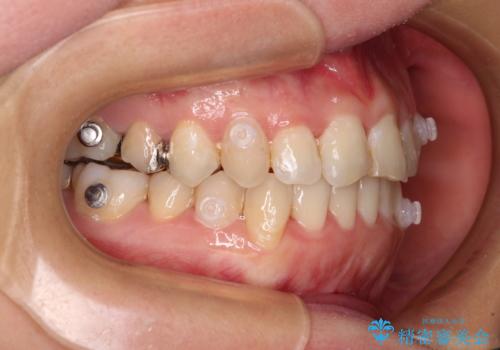
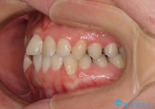
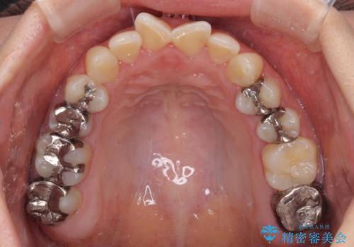
 - 治療途中の奥歯の治療継続と、前歯のデコボコを気にして来院された患者様です。
根管治療まで終了している歯は症状がないため、より良好な咬み合わせを達成するために、矯正治療を行った後に補綴治療を行うこととしました。
下顎犬歯のクロスバイトが認められ、インビザライン矯正ではクロスバイト改善に伴い奥歯が噛みにくくなることが予想されたため、上下顎間ゴムを積極的に使用して咬み合わせの安定を図ることとしました。 
- 費用(概算)
 - 治療費の目安: 115万円(税込)費用は治療当時の料金となります
 
治療について
痛みなどの症状のあった歯は、矯正治療中の咬み合わせの変化により症状が強くなったため、一時的に咬合しないようにし、矯正治療後に症状がないことを確認して修復治療を行いました。
マウスピース矯正の注意事項(リスク・副作用など)
- 口腔内・歯並びの状態によっては対応できない場合があります
 - マウスピース型矯正装置の長時間装着(1日20時間以上)が必須です
 - 治療計画通りに進めるためには、患者様の意志が重要になります
 - 矯正治療後の保定が不十分だと後戻り(元の位置に戻ろうとする動き)をします
 - 薬機法対象外の矯正歯科装置のため医薬品副作用被害救済制度の対象外となる場合があります
 - 自費診療(保険適用外)となります
 
セラミック治療の注意事項(リスク・副作用など)
- 天然歯を削ります
 - 硬い素材は天然歯を傷つけてしまう場合があります
 - かみ合わせや歯ぎしりが強すぎる方はセラミックが割れてしまう可能性があります
 - 自費診療(保険適用外治療)となります
 
PGA(ゴールド)クラウン、インレーの注意事項(リスク・副作用など)
- インレーおよびクラウンは脱離するリスクがあります
 - 形成量はセラミックより少ないですが、歯の形成、修復後に歯に症状が出ることがあります
 - 自費診療(保険適用外治療)となります
 
当サイトの内容、テキスト、画像等の無断転載、複製、複写、盗用を固く禁じます。

                      
                                                          

























