症例詳細
Case detail
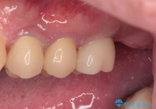
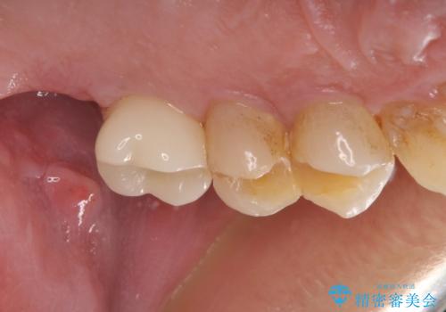
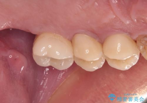
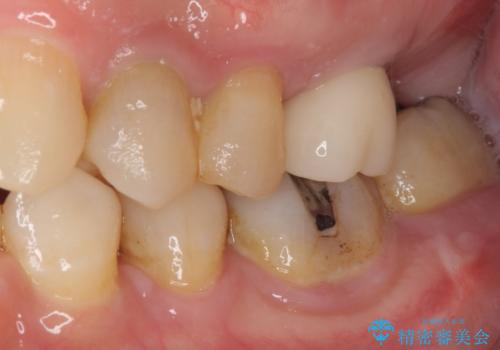
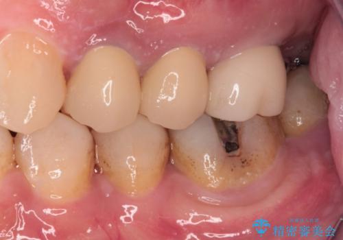
根管治療を行ったままの奥歯 オールセラミッククラウンによる補綴治療
治療症例の内容
- 診療科目
- 治療カテゴリ
- 担当医
- 藤巻太一朗(ドクタープロフィール)
- 患者様
- 40代男性
- 治療期間
- 1ヶ月
- 治療回数
- 2-5回
- 治療計画
- 以前根管治療を行い、クラウンにする必要があると言われたものの、そのままに放置してしまったとのことで来院された患者様です。
根管治療を行った歯には特に症状がないため、速やかにオールセラミッククラウンにて補綴治療を行うこととしました。
- 費用(概算)
- 治療費の目安: 25万円(税込)費用は治療当時の料金となります
治療について
補綴治療前は食後はいつもものが挟まっていたそうですが、補綴治療後はものが挟まる悩みから解放されたとのことでした。
セラミック治療の注意事項(リスク・副作用など)
- 天然歯を削ります
- 硬い素材は天然歯を傷つけてしまう場合があります
- かみ合わせや歯ぎしりが強すぎる方はセラミックが割れてしまう可能性があります
- 自費診療(保険適用外治療)となります
当サイトの内容、テキスト、画像等の無断転載、複製、複写、盗用を固く禁じます。










