症例詳細
Case detail
インビザラインは使える自信がない ワイヤー装置にて矯正治療
治療症例の内容
- 診療科目
- 治療カテゴリ
- 担当医
- 藤巻太一朗(ドクタープロフィール)
- 患者様
- 10代女性(高校生)
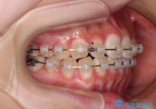
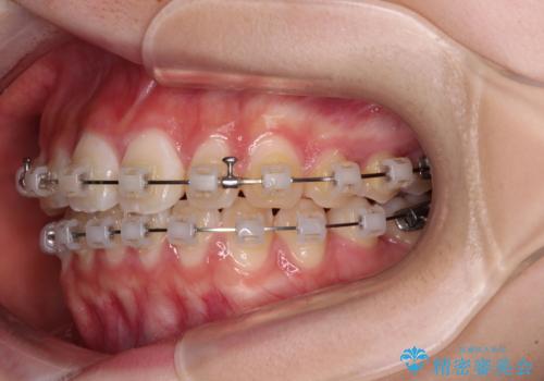
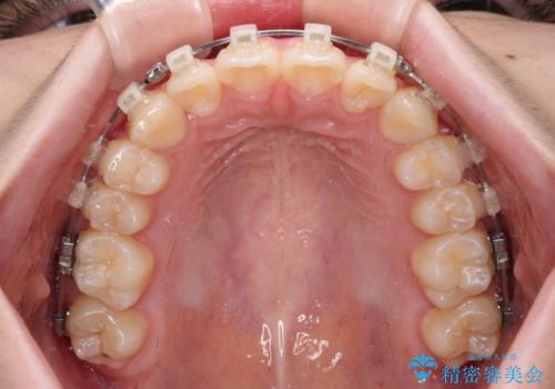
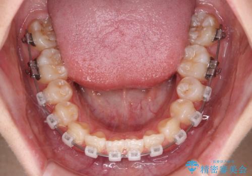
- 矯正装置
- クリアブラケット
- 治療期間
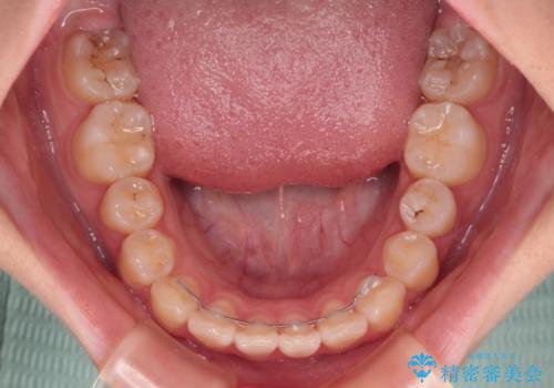
- 11ヶ月
- 治療回数
- 10-30回
- 治療計画
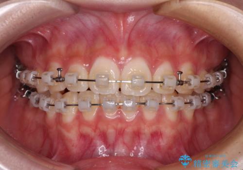
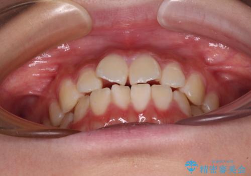
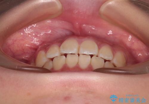
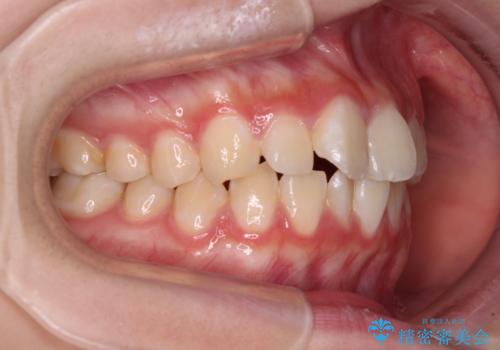
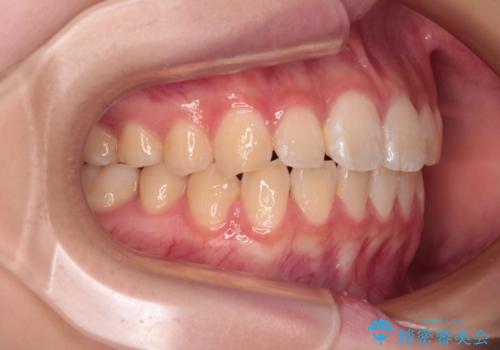
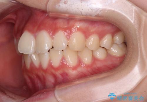
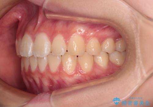
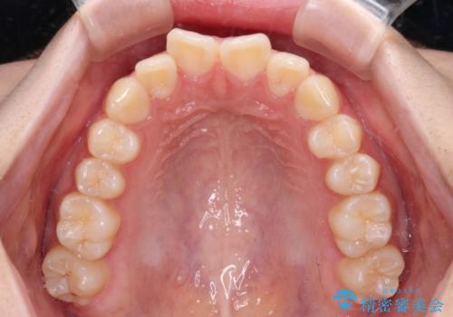
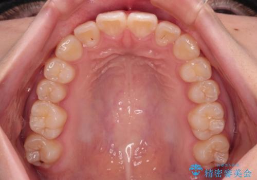
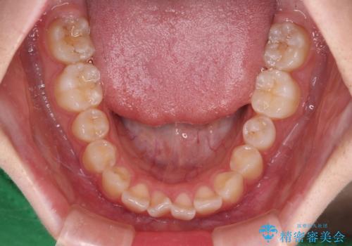
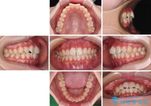
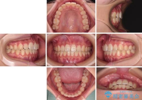
- 上下前歯のねじれを気にして来院された患者様です。
ワイヤー矯正でもマウスピース矯正でも対応可能でしたが、マウスピース矯正の自己管理が面倒であること、上顎前歯の捻転が著しいことから、ワイヤー矯正での治療を希望されました。
- 費用(概算)
- 治療費の目安: 90万円(税込)費用は治療当時の料金となります
治療について
インビザライン治療が継続できない性別と年齢が世界的に調査されているそうですが、ほとんどの国で女子高生が最も多いとのことです。
ワイヤー矯正の注意事項(リスク・副作用など)
- 治療中は違和感や痛みが起こることがあります
- 症状により、抜歯が必要な場合があります
- 治療中は歯磨きがしにくくなるため、虫歯や歯周病になりやすくなります
- 矯正治療後の保定が不十分だと後戻り(元の位置に戻ろうとする動き)をします
- 自費診療(保険適用外)となります
当サイトの内容、テキスト、画像等の無断転載、複製、複写、盗用を固く禁じます。


























